-
DE
Airway: Zahnmedizin ist mehr als Zähne gerade stellen | 25. - 26.09.2026 | Köln
Bildergalerie überspringen
Dr. Christian Leonhardt
Airway: Zahnmedizin ist mehr als Zähne gerade stellen | 25. - 26.09.2026 | Köln
Artikelnr.:
E108-2601-7070
KURSINHALT
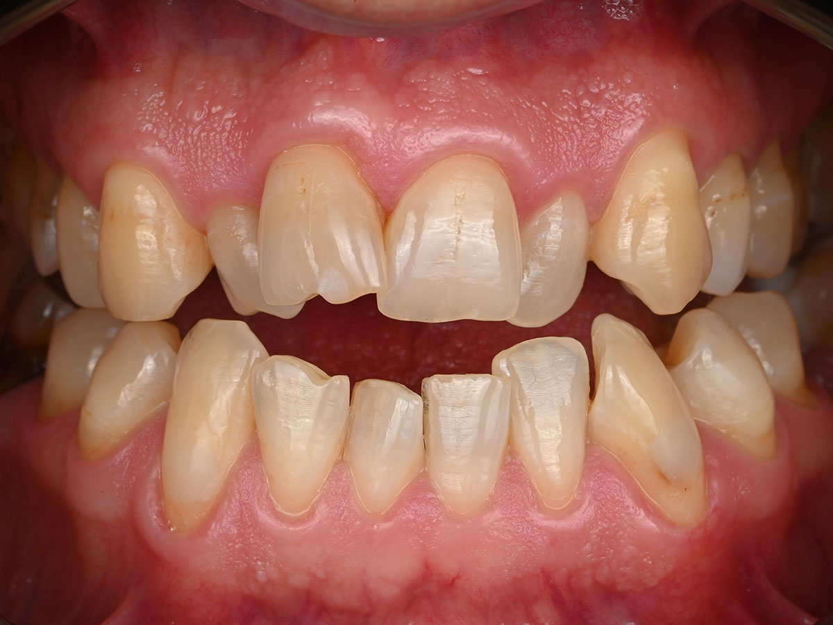
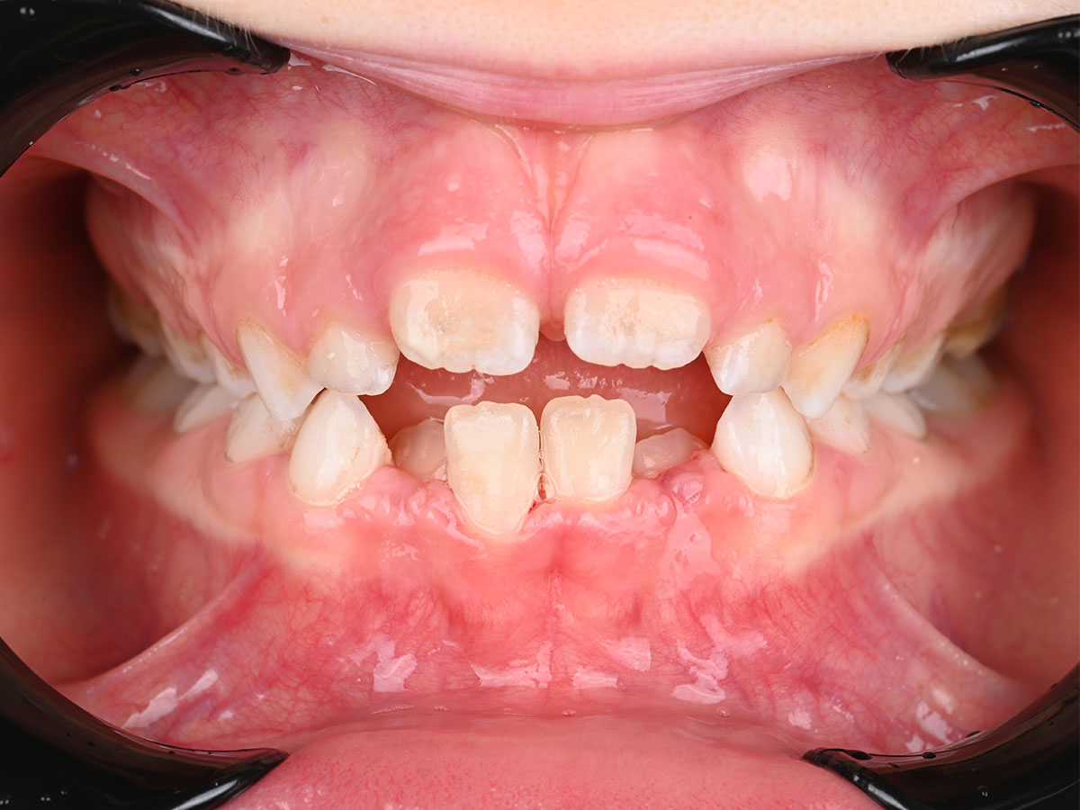
Nicht evidenzbasiert. Nicht indiziert. Overtreatment.
So tönt es seit Jahren aus den Reihen der konservativen Zahnmedizin.
Doch die Realität unserer Patienten lässt sich nicht wegerklären. Atemwegsprobleme sind kein Nebenschauplatz – sie sind ein medizinischer Brennpunkt. Wer so tut, als hätten sie nichts mit Zahnmedizin zu tun, verschließt die Augen vor den schwerwiegenden Folgen.
Es geht nicht um Übertherapie. Es geht darum, Schlimmeres zu verhindern.
Es geht darum, dass Zahnmedizin endlich das wird, was sie sein kann: Medizin.
LERNZIEL
Wir zeigen Ihnen, wie Sie wegkommen von einer rein strukturellen Sichtweise – und lernen, Struktur, Funktion und Verhalten als Einheit zu begreifen.
· Assessment: systematisch erfassen, was übersehen wird – Anomalien, Kompensationen, Risikofaktoren.
· Risikomanagement: Sicherheit gewinnen in Diagnostik und Planung.
· Therapieoptionen: von KFO und Prothetik bis zur Zusammenarbeit mit anderen Fachdisziplinen.
· Funktionelle Perspektive: verstehen, wie Adaptation wirkt – und wann sie kippt.
ZIELGRUPPE
Für Zahnärztinnen und Zahnärzte, die den Mut haben, über den Tellerrand hinauszusehen – für jene, die Komplexität nicht scheuen, sondern sie nutzen wollen, um Patienten wirklich ganzheitlich zu helfen. Machen Sie Schluss mit Stillstand. Werden Sie Teil einer Zahnmedizin, die nicht nur behandelt, sondern Leben verändert.
HANDS-ON
Alle Materialien und Instrumente werden zur Verfügung gestellt.
KURSZEITEN
Freitag:14:00-19:00 Uhr
Samstag: 09:00-17:00 Uhr
15 Punkte BZÄK DGZMK
Punktebewertung entsprechend der Empfehlung
Kaffeepausen und Mittagessen sind in der Kursgebühr enthalten.
Nicht evidenzbasiert. Nicht indiziert. Overtreatment.
So tönt es seit Jahren aus den Reihen der konservativen Zahnmedizin.
Doch die Realität unserer Patienten lässt sich nicht wegerklären. Atemwegsprobleme sind kein Nebenschauplatz – sie sind ein medizinischer Brennpunkt. Wer so tut, als hätten sie nichts mit Zahnmedizin zu tun, verschließt die Augen vor den schwerwiegenden Folgen.
Es geht nicht um Übertherapie. Es geht darum, Schlimmeres zu verhindern.
Es geht darum, dass Zahnmedizin endlich das wird, was sie sein kann: Medizin.
LERNZIEL
Wir zeigen Ihnen, wie Sie wegkommen von einer rein strukturellen Sichtweise – und lernen, Struktur, Funktion und Verhalten als Einheit zu begreifen.
· Assessment: systematisch erfassen, was übersehen wird – Anomalien, Kompensationen, Risikofaktoren.
· Risikomanagement: Sicherheit gewinnen in Diagnostik und Planung.
· Therapieoptionen: von KFO und Prothetik bis zur Zusammenarbeit mit anderen Fachdisziplinen.
· Funktionelle Perspektive: verstehen, wie Adaptation wirkt – und wann sie kippt.
ZIELGRUPPE
Für Zahnärztinnen und Zahnärzte, die den Mut haben, über den Tellerrand hinauszusehen – für jene, die Komplexität nicht scheuen, sondern sie nutzen wollen, um Patienten wirklich ganzheitlich zu helfen. Machen Sie Schluss mit Stillstand. Werden Sie Teil einer Zahnmedizin, die nicht nur behandelt, sondern Leben verändert.
HANDS-ON
Alle Materialien und Instrumente werden zur Verfügung gestellt.
KURSZEITEN
Freitag:14:00-19:00 Uhr
Samstag: 09:00-17:00 Uhr
15 Punkte BZÄK DGZMK
Punktebewertung entsprechend der Empfehlung
Kaffeepausen und Mittagessen sind in der Kursgebühr enthalten.