-
DE
Effizient & ästhetisch: Komposit-Restaurationen mit vorgeformten Matrizen und der Injection-Molding-Technik | 12.-13.12.2025 | München
Bildergalerie überspringen
Dr. Arthur R. Volker
Effizient & ästhetisch: Komposit-Restaurationen mit vorgeformten Matrizen und der Injection-Molding-Technik | 12.-13.12.2025 | München
1.190,00 €
Artikelnr.:
E101-2501-7000
In englischer Sprache.
KURSINHALT
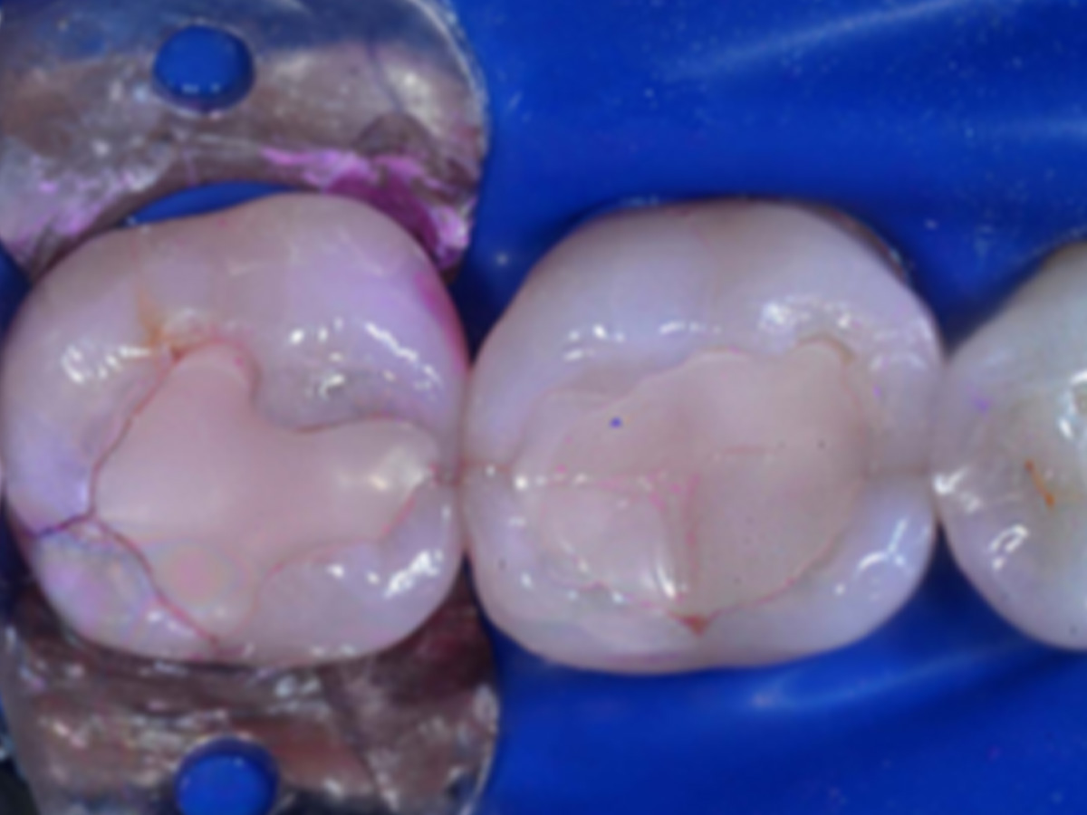
Die Herausforderungen in der direkten Kompositversorgung: Wie gelingt eine reproduzierbar perfekte Interdentalform ohne mühsame Nachbearbeitung? Wie lässt sich die Ästhetik im Frontzahnbereich mit minimalem Aufwand auf ein neues Niveau heben? In diesem praxisorientierten Kursformat lernen Sie die Injection-Molding-Technik kennen – eine effiziente Technik zur Umsetzung ästhetischer Frontzahn-Direktveneers und funktioneller Seitenzahnfüllungen mit minimalinvasivem Ansatz. Die speziell vorgeformten Matrizen überzeugen durch ihre hohe Passgenauigkeit sowie durch eine vielfältige Auswahl an Formen und Größen für die Front- und Seitenzahnbereiche. Die vollständig transluzenten Matrizen ermöglichen eine sauerstofffreie Aushärtung des Komposits – ohne Inhibitionsschicht, dafür mit einer perfekt glatten Oberfläche direkt nach der Polymerisation.
Vorteil:Eine zeitintensive Nachbearbeitung mit Schleifkörpern oder Polieren entfällt – das spart wertvolle Zeit und erhöht die Präzision und Qualität Ihrer restaurativen Versorgung.
HANDS-ON
Praktische Übungen am Modell:
· 5 Säulen der Injection-Molding-Technik
· Matrizen-Techniken praxisnah anwenden
· Smile Design: Ästhetik gezielt planen und umsetzen.
· Sichere Kontaktpunkte: die 7 entscheidenden Faktoren
· Aufhellung durch Komposit-Veneering
· Frontzahnrekonstruktion und Stellungskorrekturen
Materialien und Instrumente werden gestellt.
KURSZEITEN
Freitag: 14:00-19:00 Uhr
Samstag: 09:00-17:00 Uhr
15 Punkte BZÄK DGZMK
Punktebewertung entsprechend der Empfehlung
Kaffeepausen und Mittagessen sind in der Kursgebühr enthalten.
KURSINHALT
Die Herausforderungen in der direkten Kompositversorgung: Wie gelingt eine reproduzierbar perfekte Interdentalform ohne mühsame Nachbearbeitung? Wie lässt sich die Ästhetik im Frontzahnbereich mit minimalem Aufwand auf ein neues Niveau heben? In diesem praxisorientierten Kursformat lernen Sie die Injection-Molding-Technik kennen – eine effiziente Technik zur Umsetzung ästhetischer Frontzahn-Direktveneers und funktioneller Seitenzahnfüllungen mit minimalinvasivem Ansatz. Die speziell vorgeformten Matrizen überzeugen durch ihre hohe Passgenauigkeit sowie durch eine vielfältige Auswahl an Formen und Größen für die Front- und Seitenzahnbereiche. Die vollständig transluzenten Matrizen ermöglichen eine sauerstofffreie Aushärtung des Komposits – ohne Inhibitionsschicht, dafür mit einer perfekt glatten Oberfläche direkt nach der Polymerisation.
Vorteil:Eine zeitintensive Nachbearbeitung mit Schleifkörpern oder Polieren entfällt – das spart wertvolle Zeit und erhöht die Präzision und Qualität Ihrer restaurativen Versorgung.
HANDS-ON
Praktische Übungen am Modell:
· 5 Säulen der Injection-Molding-Technik
· Matrizen-Techniken praxisnah anwenden
· Smile Design: Ästhetik gezielt planen und umsetzen.
· Sichere Kontaktpunkte: die 7 entscheidenden Faktoren
· Aufhellung durch Komposit-Veneering
· Frontzahnrekonstruktion und Stellungskorrekturen
Materialien und Instrumente werden gestellt.
KURSZEITEN
Freitag: 14:00-19:00 Uhr
Samstag: 09:00-17:00 Uhr
15 Punkte BZÄK DGZMK
Punktebewertung entsprechend der Empfehlung
Kaffeepausen und Mittagessen sind in der Kursgebühr enthalten.