Zum Hauptinhalt springen Zur Suche springen Zur Hauptnavigation springen

Hinweis: Unser Sortiment richtet sich ausschließlich an Zahnarztpraxen, Zahnlabore und Unternehmen der Dentalbranche. Ein Verkauf an Privatpersonen ist ausgeschlossen.

Willkommen bei ADS. American Dental Systems. Gemeinsam verbessern wir die Zahnmedizin.

Hochästhetisches, nichtinvasives Komposit-Veneering | 15 - 16.05.2026 | München

Porträt Dr. Hanni Lohmar
Dr. Hanni Lohmar
KURSINHALT
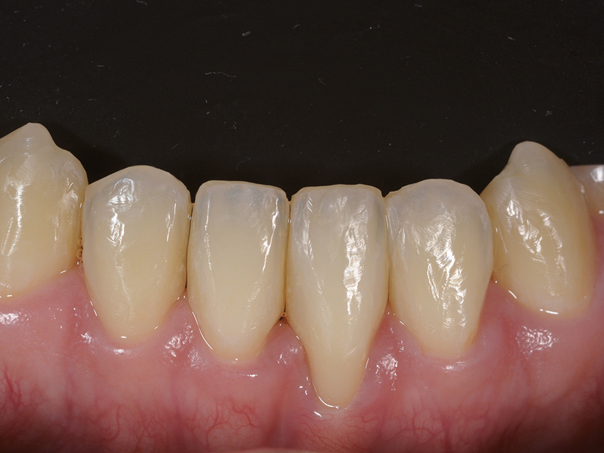
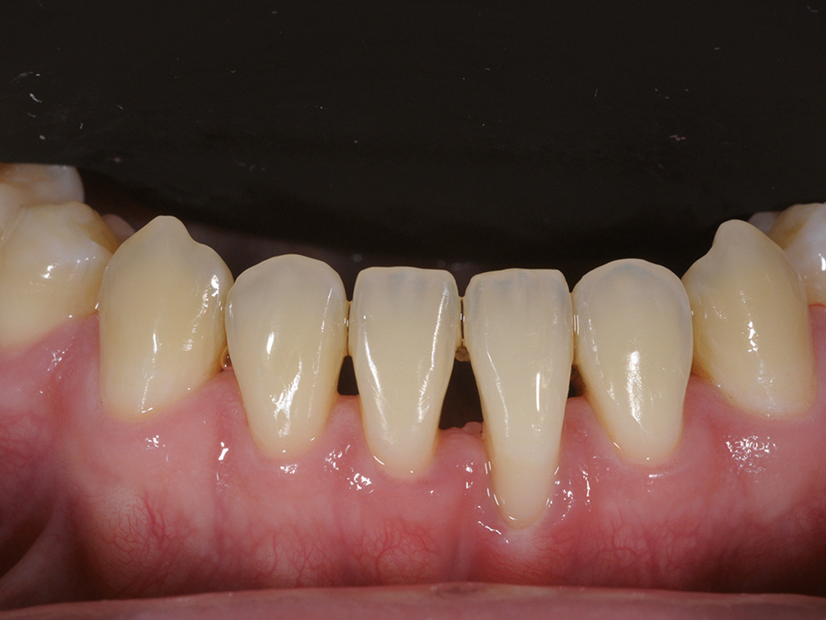
Minimalinvasivität ist edel. Die Steigerung davon ist die noninvasive Behandlungsmethode. Wenn wir bedenken, dass wir heute im Schnitt länger leben, sollten wir alles dafür tun, um auch die Lebensdauer der Zähne deutlich zu verlängern. Die Wahl unserer Versorgungen hat großen Einfluss darauf: Je später der Zeitpunkt einer invasiveren Behandlungsmethode gewählt wird, desto besser ist die langfristige Prognose des jeweiligen Zahnes. Tauchen wir gemeinsam in die Welt des Komposit-Veneerings ein. Der Einsatz der heutigen Hightech-Komposite geht längst über die klassische Füllungstherapie hinaus: Schließen von Zahnlücken, Schmelzlifting, optische Begradigungund ihr Nutzen in der Präprothetik sind einige gewinnbringende Einsatzgebiete. Besonderes Augenmerk gilt dem Schließen schwarzer Dreiecke beim PA-Patienten – hochästhetisch und noninvasiv.

Der Kursinhalt im Überblick:
• Indikationsgebiete bei direktem Komposit-Veneering
• Die Tricks der optischen Täuschung
• Die Simulationssitzung – Schlüssel zum Erfolg
• Material-, Instrumenten- und Farbauswahl
• Matrizentechnik step-by-step
• Anwärmen des Komposits und Injection Molding
• Der einfache Weg zur glänzenden Politur

HANDS-ON
Die Teilnehmer trainieren den Verschluss schwarzer Dreiecke und das Komposit-Veneering an Spezialmodellen. Darüberhinaus setzen sie mit den Bioclear Matrizen die Injection-Molding- Technik um. Auch die Komposit-Vorwärmung wird geübt.

Materialien und Instrumente werden gestellt.



KURSZEITEN
Freitag: 14:00 - 19:00 Uhr
Samstag: 09:00-17:00 Uhr

15 Punkte BZÄK DGZMK
Punktebewertung entsprechend der Empfehlung

Kaffeepausen und Mittagessen sind in der Kursgebühr enthalten.