-
DE
Parodontitis und ihre Wechselwirkungen | 25.04.2026 | München
Bildergalerie überspringen
Sonja Steinert, DH
Yvonne Gebhardt, DH
Parodontitis und ihre Wechselwirkungen | 25.04.2026 | München
Artikelnr.:
E103-2601-7170
WEITERE OPTION
Parodontitis und ihre Wechselwirkungen | 10.10.2026 | Köln
KURSINHALT
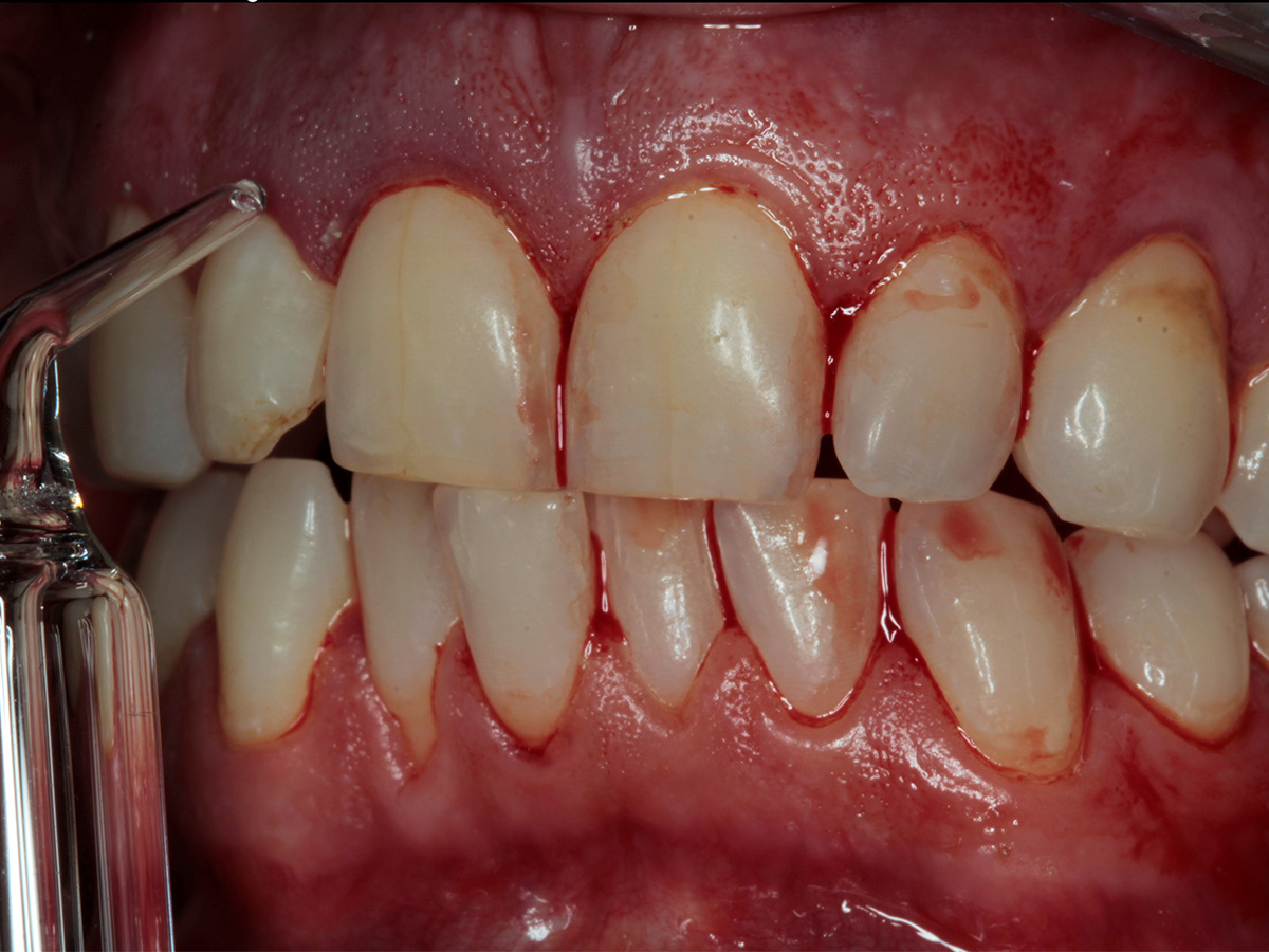
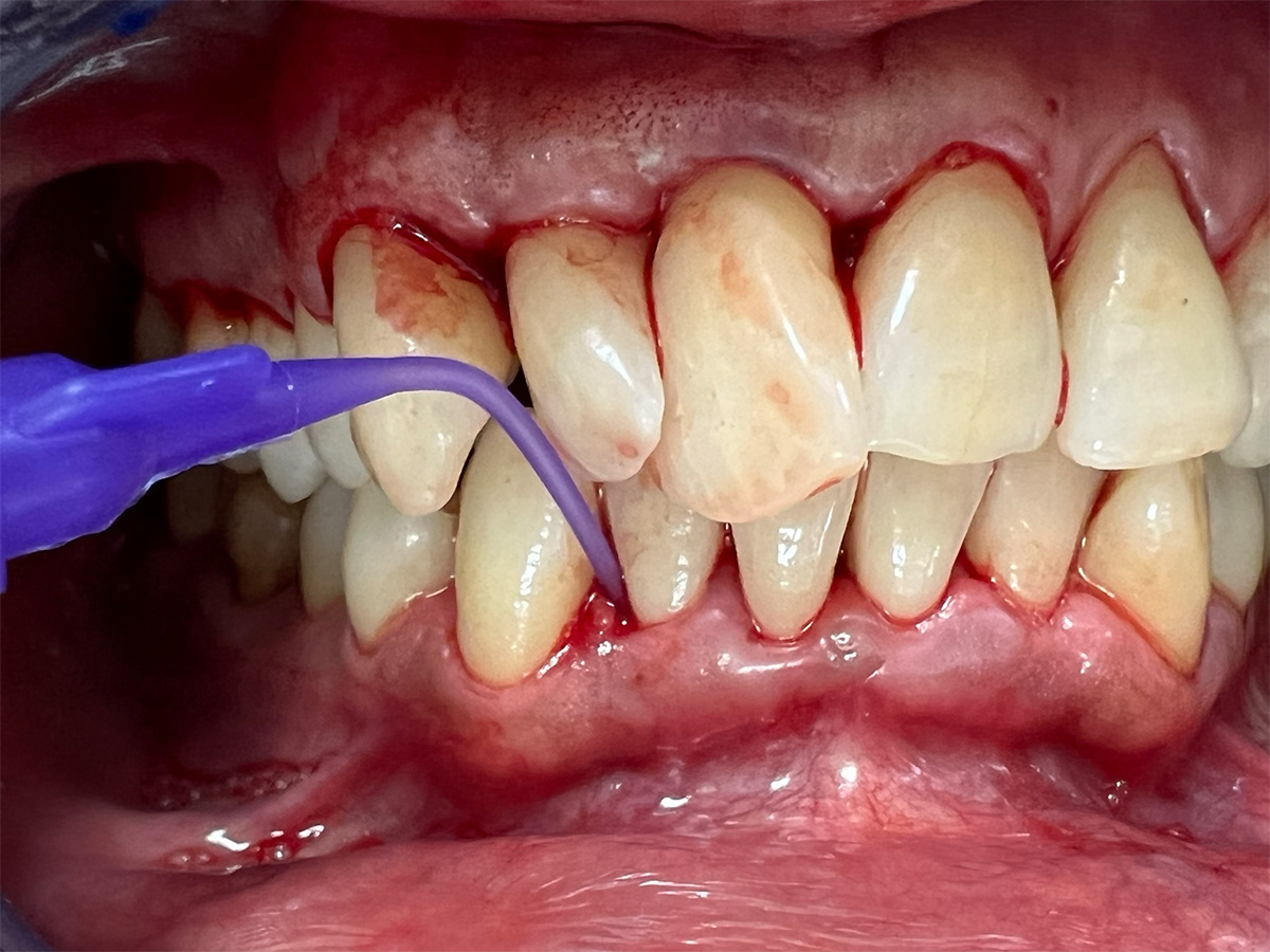
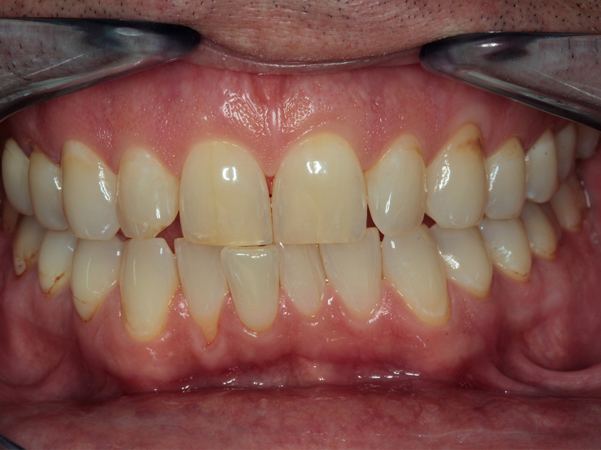
In diesem Workshop erhalten Sie umfassendes Wissen für die Behandlung von Parodontitis-Patientenen. Zunächst führt Sie Yvonne Gebhardt durch moderne subgingivale Behandlungskonzepte – das Herzstück der PA-Therapie. Anschließend erklärt Ihnen Sonja Steinert die faszinierenden Zusammenhänge des Knochenstoffwechsels: Wie Entzündungen den Knochenabbau fördern und wie Sie mit gezielter Therapie und Vitamin D gegensteuern können.
Vormittag
• Subgingivales Behandlungskonzept
• PA-(Vor)behandlung & Reevaluation
• Anamnese & Befundaufnahme
• Parodontale Krankheitsbilder erkennen
• Weiterführende Resttaschen-Therapie
• Systemische vs. lokale Antibiose
• Pocket-X Gel & Co.
• Vitamin-D-Testung beim PA-Patienten – wann macht es Sinn?
• Anwendung von Pulverstrahl-/Ultraschallgeräten
Nachmittag
• Vitamin D in der PA-Therapie
• Wie gehe ich bei der Vitamin-D3-Messung in der Praxis vor?
• Laborwerte lesen
• Der Wirkungspfad von Vitamin D3
• Vitamin-D3-Mangel-Symptome
• Vitamin D3 in der Zahnmedizin
• Messfaktoren von Vitamin D3 in der Praxis
• Über- und Unterversorgung D3 und Folgen
• D3 steigt trotz Supplementation nicht?
• Was ist der VDR?
• Was ist die D3-Ratio?
• VDR-Störungen
• Freies Vitamin D3
• Supplementempfehlungen und die verschiedenen Verbindungen
HANDS-ON
Praktische Übungen am Phantomkopf / Modelle / Schweinekiefer
Materialien und Instrumente werden gestellt.
KURSZEITEN
Samstag: 09:00 - 16:00 Uhr
8 Punkte BZÄK DGZMK
Punktebewertung entsprechend der Empfehlung
Kaffeepausen und Mittagessen sind in der Kursgebühr enthalten.
In diesem Workshop erhalten Sie umfassendes Wissen für die Behandlung von Parodontitis-Patientenen. Zunächst führt Sie Yvonne Gebhardt durch moderne subgingivale Behandlungskonzepte – das Herzstück der PA-Therapie. Anschließend erklärt Ihnen Sonja Steinert die faszinierenden Zusammenhänge des Knochenstoffwechsels: Wie Entzündungen den Knochenabbau fördern und wie Sie mit gezielter Therapie und Vitamin D gegensteuern können.
Vormittag
• Subgingivales Behandlungskonzept
• PA-(Vor)behandlung & Reevaluation
• Anamnese & Befundaufnahme
• Parodontale Krankheitsbilder erkennen
• Weiterführende Resttaschen-Therapie
• Systemische vs. lokale Antibiose
• Pocket-X Gel & Co.
• Vitamin-D-Testung beim PA-Patienten – wann macht es Sinn?
• Anwendung von Pulverstrahl-/Ultraschallgeräten
Nachmittag
• Vitamin D in der PA-Therapie
• Wie gehe ich bei der Vitamin-D3-Messung in der Praxis vor?
• Laborwerte lesen
• Der Wirkungspfad von Vitamin D3
• Vitamin-D3-Mangel-Symptome
• Vitamin D3 in der Zahnmedizin
• Messfaktoren von Vitamin D3 in der Praxis
• Über- und Unterversorgung D3 und Folgen
• D3 steigt trotz Supplementation nicht?
• Was ist der VDR?
• Was ist die D3-Ratio?
• VDR-Störungen
• Freies Vitamin D3
• Supplementempfehlungen und die verschiedenen Verbindungen
HANDS-ON
Praktische Übungen am Phantomkopf / Modelle / Schweinekiefer
Materialien und Instrumente werden gestellt.
KURSZEITEN
Samstag: 09:00 - 16:00 Uhr
8 Punkte BZÄK DGZMK
Punktebewertung entsprechend der Empfehlung
Kaffeepausen und Mittagessen sind in der Kursgebühr enthalten.