Zum Hauptinhalt springen Zur Suche springen Zur Hauptnavigation springen

Hinweis: Unser Sortiment richtet sich ausschließlich an Zahnarztpraxen, Zahnlabore und Unternehmen der Dentalbranche. Ein Verkauf an Privatpersonen ist ausgeschlossen.

Willkommen bei ADS. American Dental Systems. Gemeinsam verbessern wir die Zahnmedizin.

Regenerative Parodontitis-Therapie - Möglichkeiten und Limitationen | 12.09.2026 | Köln

Porträt PD Dr. Amelie Bäumer-König, M.Sc.
PD Dr. Amelie Bäumer-König, M.Sc.
KURSINHALT
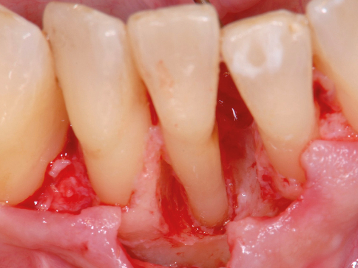
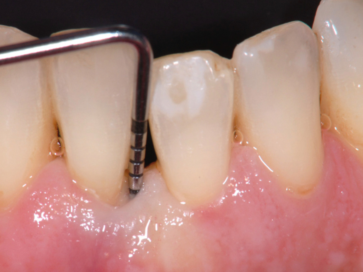
Nach der nicht-chirurgischen Parodontitis-Therapie verbleiben an stark parodontal-kompromittierten Zähnen häufig noch Resttaschen, die im Rahmen einer erfolgreichen Parodontitis-Therapie weiter behandelt werden müssen. Zu diesem Zeitpunkt stellt sich also die Frage, ob der einzelne Zahn mittels parodontalchirurgischer Verfahren erhaltungsfähig ist oder doch besser extrahiert werden sollte. Regenerative parodontalchirurgische Verfahren spielen an dieser Stelle eine große Rolle.Doch wann sollte welche chirurgische Technik, wann sollten welche regenerativen Materialien verwendet werden? Der Workshop vermittelt Kenntnisse, wann ein Zahnerhalt mittels Regeneration parodontaler Defekte erfolgreich möglich ist und wann welche chirurgischen Techniken und regenerativen Materialen zielführend sind.

HANDS-ON
Die Teilnehmer trainieren am Tiermodell verschiedene mikrochirurgische Techniken der Parodontalchirurgie. Zusätzlich werden die Schritte regenerativer Maßnahmen an unterschiedlichen Defekten (z.B. an 1-, 2- und 3-wandigenDefekten) mit den verschiedenen regenerativen Materialien geübt.

Materialien und Instrumente werden gestellt.



KURSZEITEN
Samstag: 09:00 - 17:00 Uhr

9 Punkte BZÄK DGZMK
Punktebewertung entsprechend der Empfehlung

Kaffeepausen und Mittagessen sind in der Kursgebühr enthalten.