Zum Hauptinhalt springen Zur Suche springen Zur Hauptnavigation springen

Hinweis: Unser Sortiment richtet sich ausschließlich an Zahnarztpraxen, Zahnlabore und Unternehmen der Dentalbranche. Ein Verkauf an Privatpersonen ist ausgeschlossen.

Willkommen bei ADS. American Dental Systems. Gemeinsam verbessern wir die Zahnmedizin.

Extraktion, Socket-Preservation mit Punch-Technik und Implantation

Ein 60-jähirger Patient mit Wunsch nach festem Zahnersatz wurde vom HZA zur Zahnentfernung und Implantation überwiesen. Die Zähne 24 und 25 wurden aufgrund insuffizienter Zahnrestsubstanz und Wurzelkanalbehandlung als nichterhaltungswürdig diagnostizert. Therapiert wurde durch Extraktion mit Ridge-Preservation mit Socket-Punch-Technik sowie anschließender Implantation.
Porträt PD Dr. Kai Fischer
PD Dr. Kai Fischer

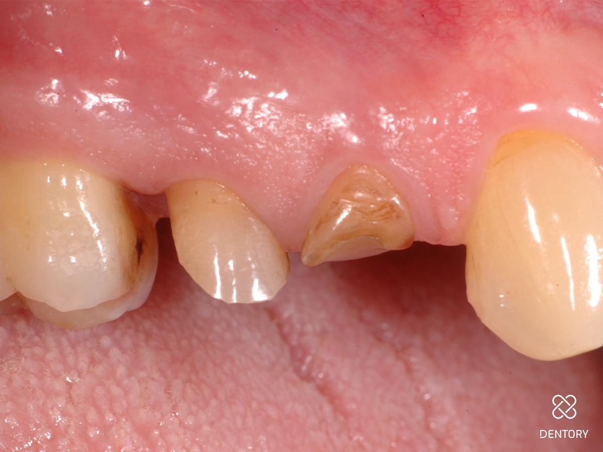
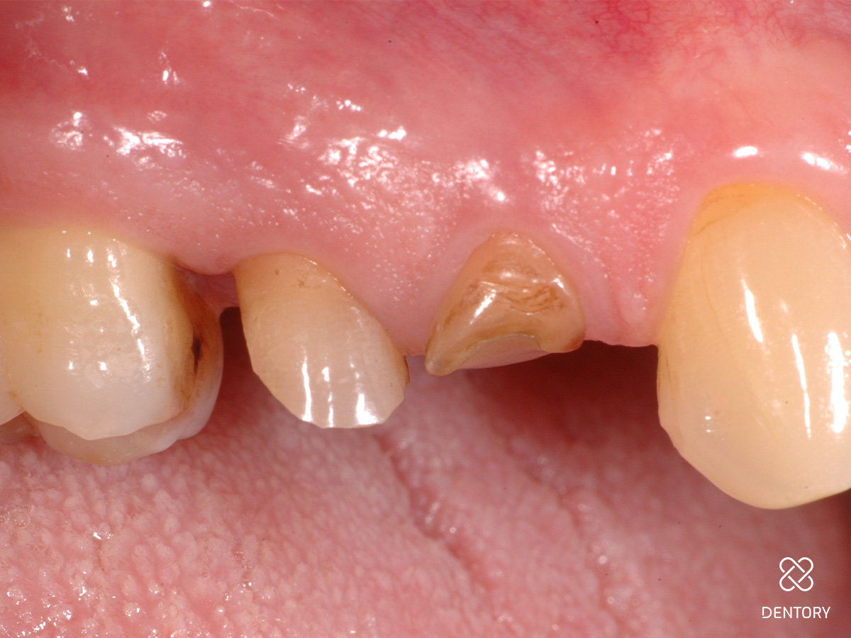
Abbildung 1

Ausgangssituation.

Abbildung 2

Durchtrennen der Fasern: Um eine möglichst schonende Extraktion zu ermöglichen werden parodontale Fasern mit einer Mikroklinge durchtrennt.

Abbildung 3

Trennung Zahn 24: Der zweiwurzelige Zahn 24 wurde getrennt, um die Wurzeln einzeln zu entfernen.

Abbildung 4

Wurzelreste mobilisieren: Die Wurzelreste werden vorsichtig, ohne Druck auf die vestibuläre Lamelle auszuüben, gegeneinander bzw. mesio-distal mobilisiert. Hierfür eignen sich besonders Periotome oder entsprechend kleine Hebel.

Abbildung 5

Entfernung der Wurzelreste: Intakte Hart- und Weichgewebe nach Entfernung der Wurzeln; hier wäre alternativ auch eine Sofortimplantation in Frage gekommen.

Abbildung 6

Auffüllen der beiden Alveolen mit einem porcinen KEM (mp3); ein Material mit entsprechender Applikationsdarreichung ist hier ideal.

Abbildung 7

Die Alveolen werden bis zur Höhe der Knochenstruktur aufgefüllt. Ein Überfüllen ist zu vermeiden.

Abbildung 8

Fixation mit Nähten: Um die Weichgewebe zu stützen und zusätzlich zu verbessern werden zwei Punches vom Gaumen entnommen und mit Mikronähten fixiert.

Abbildung 9

Nach vier Monaten: Nach einer Heilungsphase von vier Monaten sollten die Implantate gesetzt werden; guter Erhalt der Kammerbreite.

Abbildung 10

Krestale Inzision leicht versetzt zu den angrenzenden Papillen zur Darstellung des Knochens.

Abbildung 11

Elevation des Weichgewebes: Sehr gut erhaltene Knochenstruktur nach Elevation des Weichgewebes, es sind keine losen Partikel zu beobachten, sehr gute Knochenregeneration.

Abbildung 12

Positionskontrolle der Implantatausrichtung aus prothetischer Sicht nach Verwendung einer Orientierungsschablone.

Abbildung 13

Nach Aufbereitung des Lagers werden zwei Standarddurchmesser-Implantate (4x11,5 mm) primärstabil inseriert.

Abbildung 14

Korrekte 3D-Positionierung der Implantate mit Plattform-Switching. Aufgrund der Breite der Lücke und der Situation vor Extraktion, sollte nach mesial eine kleine Lücke verbleiben.

Abbildung 15

Nahtverschluss mit Double-Sling-Sutures (4-0 PTFE) nach Implantatinsertion und vor weiterer Versorgung beim überweisenden Zahnarzt.

Verwendete Produkte

Aktuelle Fortbildungen

2. Curriculum "The Art of Digital Dentistry"
16.
Jan.
2. Curriculum "The Art of Digital Dentistry"
Fr., 16.01.26, 09:00 - 20.06.26, 17:00 (Europe/Berlin)
München
Dr. Christian Leonhardt (klinische Leitung)
Prof. Dr. Markus Blatz (wissenschaftliche Leitung)
TEAM | 2. Curriculum "The Art of Digital Dentistry"
16.
Jan.
TEAM | 2. Curriculum "The Art of Digital Dentistry"
Fr., 16.01.26, 09:00 - 20.06.26, 17:00 (Europe/Berlin)
München
Dr. Christian Leonhardt (klinische Leitung)
Prof. Dr. Markus Blatz (wissenschaftliche Leitung)
4D Dentistry - das Update: Workflow, Software, Hardware, Fun
25.
Feb.
4D Dentistry - das Update: Workflow, Software, Hardware, Fun
Mi., 25.02.26, 20:00 - 22:00 (Europe/Berlin)
online
Dr. Christian Leonhardt
Der lokalisierte Alveolarkammdefekt
15.
Apr.
Der lokalisierte Alveolarkammdefekt
Mi., 15.04.26, 19:00 - 21:00 (Europe/Berlin)
online
Prof. Dr. Arndt Happe
Ästh. Frontzahnrestaurationen -Theorie
17.
Apr.
Ästh. Frontzahnrestaurationen -Theorie
Fr., 17.04.26, 09:00 - 17:00 (Europe/Berlin)
München
PD Dr. Didier Dietschi
Ästh. Frontzahnrestaurationen - Workshop
17.
Apr.
Ästh. Frontzahnrestaurationen - Workshop
Fr., 17.04.26, 09:00 - 18.04.26, 17:00 (Europe/Berlin)
München
PD Dr. Didier Dietschi
Endo Friday Meeting - Modul I
17.
Apr.
Endo Friday Meeting - Modul I
Fr., 17.04.26, 13:00 - 18:00 (Europe/Berlin)
Innsburck
ZA Eduardo Belandria
Modernes Knochenmanagement
18.
Apr.
Modernes Knochenmanagement
Sa., 18.04.26, 09:00 - 17:00 (Europe/Berlin)
Köln
Dr. Kai Zwanzig
Regenerative Parodontitis-Therapie
18.
Apr.
Regenerative Parodontitis-Therapie
Sa., 18.04.26, 09:00 - 17:00 (Europe/Berlin)
München
PD Dr. Amelie Bäumer-König, M.Sc.
Osseodensification - GBR & sinuslift adé?
22.
Apr.
Osseodensification - GBR & sinuslift adé?
Mi., 22.04.26, 19:00 - 21:00 (Europe/Berlin)
online
PD Dr. Kai Fischer
Moderne Endodontie: Einfach, effizient zu guten Ergebnissen
24.
Apr.
Moderne Endodontie: Einfach, effizient zu guten Ergebnissen
Fr., 24.04.26, 14:00 - 25.04.26, 17:00 (Europe/Berlin)
München
Prof. Dr. Sebastian Bürklein
Parodontitis und ihre Wechselwirkungen
25.
Apr.
Parodontitis und ihre Wechselwirkungen
Sa., 25.04.26, 09:00 - 16:00 (Europe/Berlin)
München
Sonja Steinert, DH
Yvonne Gebhardt, DH
Ein strukturierter Ablauf für die Endo-Revision
08.
Mai
Ein strukturierter Ablauf für die Endo-Revision
Fr., 08.05.26, 14:00 - 09.05.26, 17:00 (Europe/Berlin)
München
Dr. Gilberto Debelian
Modernes Knochenmanagement
09.
Mai
Modernes Knochenmanagement
Sa., 09.05.26, 09:00 - 17:00 (Europe/Berlin)
Berlin
Dr. Kai Zwanzig
Modjaw - Anwendung Jaw Tracking Systeme
09.
Mai
Modjaw - Anwendung Jaw Tracking Systeme
Sa., 09.05.26, 09:00 - 17:00 (Europe/Berlin)
Köln
Priv.-Doz. Dr. med. dent. Sachin Chhatwani
Periimplantäre Gesundheit professionell gestalten
09.
Mai
Periimplantäre Gesundheit professionell gestalten
Sa., 09.05.26, 09:00 - 17:00 (Europe/Berlin)
München
Carmen Lanoway
Endo Friday Meeting - Modul II
15.
Mai
Endo Friday Meeting - Modul II
Fr., 15.05.26, 13:00 - 18:00 (Europe/Berlin)
Innsburck
ZA Eduardo Belandria
Hochästhetisches, nichtinvasives Veneering
15.
Mai
Hochästhetisches, nichtinvasives Veneering
Fr., 15.05.26, 14:00 - 16.05.26, 17:00 (Europe/Berlin)
München
Dr. Hanni Lohmar
Nähen Verstehen - das Nahttechnik-Training
20.
Mai
Nähen Verstehen - das Nahttechnik-Training
Mi., 20.05.26, 19:00 - 21:00 (Europe/Berlin)
online
Prof. Dr. Henrik Dommisch
Osseodensification und Augmentation aus einer Hand
29.
Mai
Osseodensification und Augmentation aus einer Hand
Fr., 29.05.26, 09:00 - 17:00 (Europe/Berlin)
Wien
Priv. Doz. Dr. Michael Weinländer
Endo Friday Meeting - Modul III
05.
Juni
Endo Friday Meeting - Modul III
Fr., 05.06.26, 13:00 - 18:00 (Europe/Berlin)
Innsburck
ZA Eduardo Belandria
Next Level Frontzahnaufbau
10.
Juni
Next Level Frontzahnaufbau
Mi., 10.06.26, 19:00 - 21:00 (Europe/Berlin)
online
Prof. Dr. Diana Wolff
The Perfect Bone
12.
Juni
The Perfect Bone
Fr., 12.06.26, 14:00 - 13.06.26, 17:00 (Europe/Berlin)
München
Dr. Alexander Müller-Busch M.Sc.
Versah Digital: Präzision, Sicherheit, Vorhersagbarkeit
13.
Juni
Versah Digital: Präzision, Sicherheit, Vorhersagbarkeit
Sa., 13.06.26, 09:00 - 17:00 (Europe/Berlin)
Frankfurt
Dr. Benjamin Bahlmann
Das Mikroskop in der Endodontie - ein Update
13.
Juni
Das Mikroskop in der Endodontie - ein Update
Sa., 13.06.26, 09:00 - 17:00 (Europe/Berlin)
Nürnberg
Dr. Jürgen Wollner
Vom kleinen Eckenaufbau bis zur Composite-Krone
19.
Juni
Vom kleinen Eckenaufbau bis zur Composite-Krone
Fr., 19.06.26, 14:00 - 20.06.26, 17:00 (Europe/Berlin)
Hamburg
Dr. Martin von Sontagh
KFO: Von der Zahnbewegung zur integgrativen Therapie
19.
Juni
KFO: Von der Zahnbewegung zur integgrativen Therapie
Fr., 19.06.26, 14:00 - 20.06.26, 17:00 (Europe/Berlin)
München
Dr. Christian Leonhardt
Modernes Knochenmanagement
20.
Juni
Modernes Knochenmanagement
Sa., 20.06.26, 09:00 - 17:00 (Europe/Berlin)
Hamburg
Dr. Kai Zwanzig
Basiskurs zum Arbeiten unter dem Mikroskop -Workshop-
20.
Juni
Basiskurs zum Arbeiten unter dem Mikroskop -Workshop-
Sa., 20.06.26, 09:00 - 17:00 (Europe/Berlin)
Köln
Dr. Günther Stöckl
Großvolumige Knochenaugmentation - sicher, einfach, anders!
26.
Juni
Großvolumige Knochenaugmentation - sicher, einfach, anders!
Fr., 26.06.26, 14:00 - 27.06.26, 17:00 (Europe/Berlin)
München
Dr. Marcel A. Wainwright
Simplify your Augmentation
10.
Juli
Simplify your Augmentation
Fr., 10.07.26, 14:00 - 11.07.26, 17:00 (Europe/Berlin)
München
Prof. Dr. Dr. Florian Stelzle
Osseodensification - Implantat-Präp. optimieren
11.
Juli
Osseodensification - Implantat-Präp. optimieren
Sa., 11.07.26, 09:00 - 17:00 (Europe/Berlin)
München
PD Dr. Kai Fischer
Regenerative Parodontitis-Therapie
12.
Sept.
Regenerative Parodontitis-Therapie
Sa., 12.09.26, 09:00 - 17:00 (Europe/Berlin)
Köln
PD Dr. Amelie Bäumer-König, M.Sc.
Boost Retreatment® -  Rise to Success with High Speed
23.
Sept.
Boost Retreatment® -  Rise to Success with High Speed
Mi., 23.09.26, 19:00 - 21:00 (Europe/Berlin)
online
ZA Klaus Lauterbach
Airway: Zahnmedizin ist mehr als Zähne gerade stellen
25.
Sept.
Airway: Zahnmedizin ist mehr als Zähne gerade stellen
Fr., 25.09.26, 14:00 - 26.09.26, 17:00 (Europe/Berlin)
Köln
Dr. Christian Leonhardt
Vom kleinen Eckenaufbau bis zur Composite-Krone
02.
Okt.
Vom kleinen Eckenaufbau bis zur Composite-Krone
Fr., 02.10.26, 14:00 - 03.10.26, 17:00 (Europe/Berlin)
Wien
Dr. Martin von Sontagh
The Perfect Bone
09.
Okt.
The Perfect Bone
Fr., 09.10.26, 14:00 - 10.10.26, 17:00 (Europe/Berlin)
Köln
Dr. Alexander Müller-Busch M.Sc.
Das Mainzer Augmentationskonzept
09.
Okt.
Das Mainzer Augmentationskonzept
Fr., 09.10.26, 14:00 - 10.10.26, 17:00 (Europe/Berlin)
München
Prof. Dr. Dr. Bilal Al-Nawas
PD Dr. Dr. Keyvan Sagheb, M.Sc.
Osseodensification - Implantat-Präp. optimieren
10.
Okt.
Osseodensification - Implantat-Präp. optimieren
Sa., 10.10.26, 09:00 - 17:00 (Europe/Berlin)
Köln
PD Dr. Kai Fischer
Parodontitis und ihre Wechselwirkungen
10.
Okt.
Parodontitis und ihre Wechselwirkungen
Sa., 10.10.26, 09:00 - 16:00 (Europe/Berlin)
Köln
Sonja Steinert, DH
Yvonne Gebhardt, DH
Das Mikroskop in der Endodontie - ein Update
17.
Okt.
Das Mikroskop in der Endodontie - ein Update
Sa., 17.10.26, 09:00 - 17:00 (Europe/Berlin)
Nürnberg
Dr. Jürgen Wollner
Der moderne Weg zur indirekten Restauration
23.
Okt.
Der moderne Weg zur indirekten Restauration
Fr., 23.10.26, 14:00 - 24.10.26, 16:00 (Europe/Berlin)
München
Prof. Dr. Markus Blatz
Basiskurs zum Arbeiten unter dem Mikroskop -Workshop-
24.
Okt.
Basiskurs zum Arbeiten unter dem Mikroskop -Workshop-
Sa., 24.10.26, 09:00 - 17:00 (Europe/Berlin)
München
Dr. Günther Stöckl
Osseodensification - Implantat-Präp. optimieren
31.
Okt.
Osseodensification - Implantat-Präp. optimieren
Sa., 31.10.26, 09:00 - 17:00 (Europe/Berlin)
Hamburg
PD Dr. Kai Fischer
Hochästhetisches, nichtinvasives Veneering
06.
Nov.
Hochästhetisches, nichtinvasives Veneering
Fr., 06.11.26, 14:00 - 07.11.26, 17:00 (Europe/Berlin)
Köln
Dr. Hanni Lohmar
Optimierte Implantologie
07.
Nov.
Optimierte Implantologie
Sa., 07.11.26, 09:00 - 17:00 (Europe/Berlin)
Hannover
Dr. Benjamin Bahlmann
Die Trickkiste der Zahnerhaltung
13.
Nov.
Die Trickkiste der Zahnerhaltung
Fr., 13.11.26, 13:00 - 14.11.26, 17:00 (Europe/Berlin)
München
Prof. Dr. Diana Wolff
Großvolumige Knochenaugmentation - sicher, einfach, anders!
13.
Nov.
Großvolumige Knochenaugmentation - sicher, einfach, anders!
Fr., 13.11.26, 14:00 - 14.11.26, 17:00 (Europe/Berlin)
Köln
Dr. Marcel A. Wainwright
Mission Wurzelfüllung - Präzision bis ins Detail
14.
Nov.
Mission Wurzelfüllung - Präzision bis ins Detail
Sa., 14.11.26, 09:00 - 17:00 (Europe/Berlin)
Hamburg
Dr. Chinh Tran Khanh, M.Sc.
Osseodensification und Augmentation aus einer Hand
20.
Nov.
Osseodensification und Augmentation aus einer Hand
Fr., 20.11.26, 09:00 - 17:00 (Europe/Berlin)
Wien
Priv. Doz. Dr. Michael Weinländer
Kieferorthopädie heute: State of the Art - 4D
26.
Nov.
Kieferorthopädie heute: State of the Art - 4D
Do., 26.11.26, 09:00 - 28.11.26, 17:00 (Europe/Berlin)
München
Dr. Domingo Martin Salvador
Dr. Alberto Canábez Berthet
Ästh. Frontzahnrestaurationen -Theorie
27.
Nov.
Ästh. Frontzahnrestaurationen -Theorie
Fr., 27.11.26, 09:00 - 17:00 (Europe/Berlin)
Frankfurt
PD Dr. Didier Dietschi
Ästh. Frontzahnrestaurationen - Workshop
27.
Nov.
Ästh. Frontzahnrestaurationen - Workshop
Fr., 27.11.26, 09:00 - 28.11.26, 17:00 (Europe/Berlin)
Frankfurt
PD Dr. Didier Dietschi
Adhäsive Restaurationen - an einem Wochenende
27.
Nov.
Adhäsive Restaurationen - an einem Wochenende
Fr., 27.11.26, 14:00 - 28.11.26, 17:00 (Europe/Berlin)
München
Prof. Dr. Roland Frankenberger
4D Dentistry - Workflow für Zahnarzt und Techniker
29.
Nov.
4D Dentistry - Workflow für Zahnarzt und Techniker
So., 29.11.26, 09:00 - 17:00 (Europe/Berlin)
München
Dr. Christian Leonhardt
ZT Michaela Heubeck
Osseodensification-Sofortimplantation
02.
Dez.
Osseodensification-Sofortimplantation
Mi., 02.12.26, 19:00 - 21:00 (Europe/Berlin)
online
Prof. Dr. Dr. Florian Stelzle
Der moderne Weg zur indirekten Restauration
04.
Dez.
Der moderne Weg zur indirekten Restauration
Fr., 04.12.26, 14:00 - 05.12.26, 16:00 (Europe/Berlin)
Frankfurt
Prof. Dr. Markus Blatz
Moderne Endodontologie für den Allgemeinpraktiker
04.
Dez.
Moderne Endodontologie für den Allgemeinpraktiker
Fr., 04.12.26, 14:00 - 05.12.26, 17:00 (Europe/Berlin)
Köln
Dr. Oliver Pontius
Endodontie Kongress 2026 - Workshops + Kongress
10.
Dez.
Endodontie Kongress 2026 - Workshops + Kongress
Do., 10.12.26, 08:45 - 12.12.26, 17:00 (Europe/Berlin)
Köln
Dr. Frank Setzer (wissenschaftlicher Leiter)
Endodontie Kongress 2026 - Kongress (Theorie)
10.
Dez.
Endodontie Kongress 2026 - Kongress (Theorie)
Do., 10.12.26, 08:45 - 12.12.26, 17:00 (Europe/Berlin)
Köln
Dr. Frank Setzer (wissenschaftlicher Leiter)
Endodontie Kongress 2026 - Get Together
10.
Dez.
Endodontie Kongress 2026 - Get Together
Do., 10.12.26, 19:00 - 21:00 (Europe/Berlin)
Köln
Dr. Frank Setzer (wissenschaftlicher Leiter)
3. Curriculum "The Art of Digital Dentistry"
14.
Jan.
3. Curriculum "The Art of Digital Dentistry"
Do., 14.01.27, 13:30 - 26.06.27, 18:00 (Europe/Berlin)
München
Dr. Christian Leonhardt (klinische Leitung)
Prof. Dr. Markus Blatz (wissenschaftliche Leitung)
TEAM | 3. Curriculum "The Art of Digital Dentistry"
14.
Jan.
TEAM | 3. Curriculum "The Art of Digital Dentistry"
Do., 14.01.27, 13:30 - 26.06.27, 18:00 (Europe/Berlin)
München
Dr. Christian Leonhardt (klinische Leitung)
Prof. Dr. Markus Blatz (wissenschaftliche Leitung)