Zum Hauptinhalt springen Zur Suche springen Zur Hauptnavigation springen

Hinweis: Unser Sortiment richtet sich ausschließlich an Zahnarztpraxen, Zahnlabore und Unternehmen der Dentalbranche. Ein Verkauf an Privatpersonen ist ausgeschlossen.

Willkommen bei ADS. American Dental Systems. Gemeinsam verbessern wir die Zahnmedizin.

Dentogene Zysten in der Oberkieferfront: Sichere Knochenrekonstruktion und optimaler Strukturerhalt

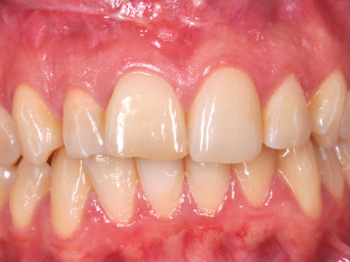
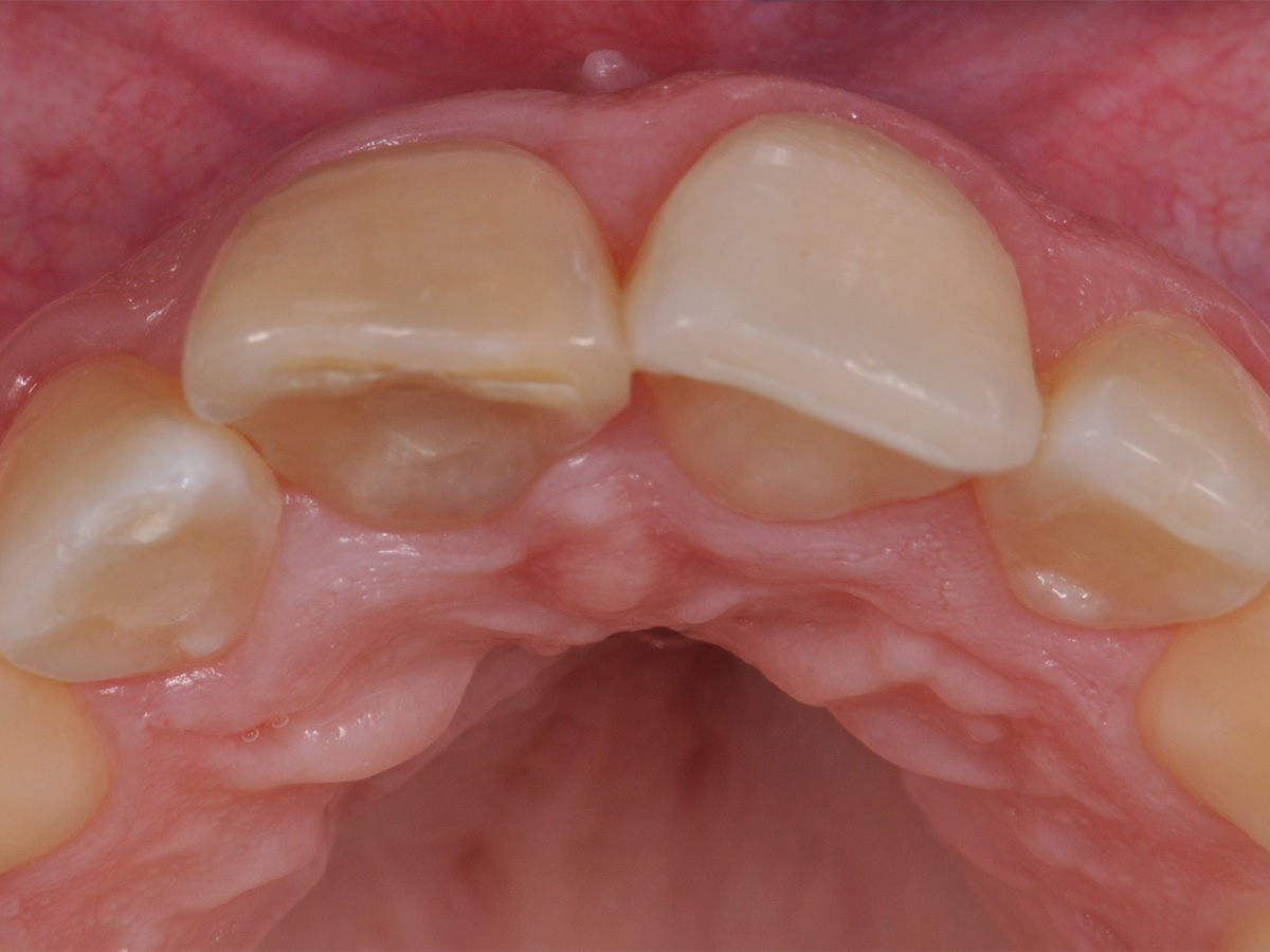
Nach einem Zahntrauma im Jugendalter mit anschließender endodontischer Versorgung stellte sich unsere 24-jährige Patientin mit seit einigen Monaten bestehendem, rezidivierendem Druckgefühl und leichten Schmerzen in regio 11 und 12 vor (Abb. 1, 2, 3). Die klinische Untersuchung ergab an Zahn 11 und 12 Lockerungsgrad 1 und, wie zu erwarten, eine negative Sensitivität. Es lag ein leichter Perkussionsschmerz vertikal wie horizontal vor. Die Krone auf Position 11 zeigte eine leichte Verfärbung im Vergleich zu den Nachbarzähnen. Ein OPG ergab eine – in ihrer Ausdehnung nicht sicher zu beurteilende – Aufhellung im Knochenbereich regio 11 und 12 (Abb. 4). Als Nebenbefund waren teilretinierte Zähne 38 und 48 sowie ein vollständig retinierter Zahn 28 als Mikroform nachzuweisen. Ein zusätzlich durchgeführtes DVT zeigte eine große zystische Formation unter Einschluss der Wurzeln 11 und 12, die vom Canalis nasopalatinus bis mesial 13 mit einer kleineren Perforation zum Nasenboden und größeren Perforationen nach vestibulär und palatinal reichte (Abb. 5, 6, 7).
Porträt Prof. Dr. Dr. Florian Stelzle
Prof. Dr. Dr. Florian Stelzle

Abbildung 1

Prä-OP: Lachlinie en face.

Abbildung 2

Prä-OP: Front nah en face.

Abbildung 3

Prä-OP: OK von okklusal.

Abbildung 4

Prä-OP: Das OPG zeigt eine Erhellung im Knochenbereich regio 11 und 12.

Abbildung 5

Im DVT ist eine große zystische Formation unter Einschluss der Wurzeln 11 und 12, die vom Canalis nasopalatinus...

Abbildung 6

...bis mesial 13 mit einer kleineren Perforation zum Nasenboden...

Abbildung 7

...und größeren Perforationen nach vestibulär und palatinal reicht.

Abbildung 8

Die Schnittführung wurde aufgrund des bestehenden „Gummy Smile“ hoch im Vestibulum geführt...

Abbildung 9

...so konnte die delikate Parodontalstruktur in ihrer Form unangetastet belassen werden, um einen möglichst optimalen ästhetischen Erfolg zu erreichen.

Abbildung 10

Nach vestibulärer Freilegung wurde die Zyste vollständig entfernt und zur histopathologischen Untersuchung eingesandt.

Abbildung 11

Anschließend erfolgte eine Wurzelspitzenresektion an den Zähnen 11 und 12 durch die vestibuläre ossäre Perforation, gefolgt von einer ultraschallbasierten, retrograden Kanalaufbereitung und Abdichtung mit MTA.

Abbildung 12

Um die knöcherne Durchbauung am Boden der Zyste osteoinduktiv zu unterstützen, wurden mit Hilfe eines mechanischen Knochenschabers aus dem Bereich des rechten naso-palatinalen Pfeilers Knochenchips entnommen und als erste basale Augmentationsschicht in den ossären Defekt eingebracht.

Abbildung 13

Der größere Anteil von 80 % des Defektvolumens wurde mit einem vollständig resorbierbaren, xenogenen Augmentationsmaterial aufgefüllt (mp3®, OsteoBiol®).

Abbildung 14

Der Defekt wurde zum Vestibulum hin mit einer stabilen, vollständig degradierbaren Membran abgedeckt (Soft Cortical Lamina, OsteoBiol®).

Abbildung 15

Der Wundverschluss erfolgte einschichtig mit nicht resorbierbarem Nahtmaterial (Seralene® 5-0 DS-15).

Abbildung 16

Post-OP: Die Narben zeigten sich blande, ästhetisch unauffällig und trotz der hohen Lachlinie gut unter der Oberlippe verborgen.

Abbildung 17

Die ossäre Durchbauung des gesamten Zystenbereichs erschien bei der radiologischen Verlaufskontrolle nach einem Jahr vollständig und solide.

Chirurgisches Vorgehen

Mit der Patientin wurde der Versuch des Zahnerhaltes trotz ausgedehnter Zyste besprochen. Gleichzeitig sollte das Zystenlumen zu einer sicheren ossären Durchbauung geführt werden, um eine implantologische Sofortversorgung vorzubereiten, falls zu einem späteren Zeitpunkt eine Zahnentfernung notwendig werden sollte. In der Phase vor der geplanten Operation wurden die Wurzelkanalfüllungen an Zahn 11 und 12 durch einen Endodontologen alio loco revidiert. Die Schnittführung wurde aufgrund des bestehenden „Gummy Smile“ hoch im Vestibulum geführt – so konnte die delikate Parodontalstruktur in ihrer Form unangetastet belassen werden, um einen möglichst optimalen ästhetischen Erfolg zu erreichen (Abb. 8, 9). Nach vestibulärer Freilegung wurde die Zyste vollständig entfernt und zur histopathologischen Untersuchung eingesandt (Abb. 10). Anschließend erfolgte eine Wurzelspitzenresektion an den Zähnen 11 und 12 durch die vestibuläre ossäre Perforation (Abb. 11), gefolgt von einer ultraschallbasierten, retrograden Kanalaufbereitung und Abdichtung mit MTA. Um die knöcherne Durchbauung am Boden der Zyste osteoinduktiv zu unterstützen, wurden mit Hilfe eines mechanischen Knochenschabers aus dem Bereich des rechten naso-palatinalen Pfeilers Knochenchips entnommen und als erste basale Augmentationsschicht in den ossären Defekt eingebracht (Abb. 12). Der größere Anteil von 80 % des Defektvolumens wurde mit einem vollständig resorbierbaren, xenogenen Augmentationsmaterial aufgefüllt (Abb. 13) (mp3®, OsteoBiol®). Der Defekt wurde zum Vestibulum hin mit einer stabilen, vollständig degradierbaren Membran abgedeckt (Abb. 14) (Soft Cortical Lamina, OsteoBiol®). Zum einen wurde hiermit im Sinne der GBR das Weichgewebe vom Augmentat getrennt. Zum anderen verhinderte die stabile Membran das Einwachsen eines Weichgewebeankers in den Defekt und damit eine narbige Verziehung im Vestibulum. Um eine Verschiebung der Membran zu vermeiden, wurde diese mit zwei Titanpins in der Kortikalis fixiert. Die Pins wurden bei Beschwerdefreiheit in situ belassen (Titan-Bone-Pin-System). Der Wundverschluss erfolgte einschichtig mit nicht resorbierbarem Nahtmaterial (Abb. 15) (Seralene® 5-0 DS-15). Peri- und postoperativ wurde eine antibiotische Abschirmung unter Fortführung für insgesamt drei Tage mit Amoxiclav 875/125 1-0-1 durchgeführt. 

Heilung und Verlauf 

Der postoperative Heilungsverlauf zeigte sich unauffällig. Die Nähte wurden am fünften postoperativen Tag bei reizlosen Wundverhältnissen entfernt. Die pathologische Zystenbalgbeurteilung bestätigte den klinischen Verdacht einer radikulären Zyste. Der Befund wurde nach drei, sechs und zwölf Monaten kontrolliert. Nach drei Monaten konnte keine Lockerung der Frontzähne mehr festgestellt werden. Die Narben zeigten sich blande, ästhetisch unauffällig und trotz der hohen Lachlinie gut unter der Oberlippe verborgen (Abb. 16). Die ossäre Durchbauung des gesamten Zystenbereichs erschien bei der radiologischen Verlaufskontrolle nach einem Jahr vollständig und solide (Abb. 17). Ein Zystenrezidiv konnte bislang klinisch und radiologisch ausgeschlossen werden. Sollten im weiteren Verlauf Zahn 11 und/oder Zahn 12 dennoch erneut Probleme entwickeln und entfernt werden müssen, besteht aufgrund er optimalen ossären Rekonstruktion die Möglichkeit, wiederum ohne die Weichgewebearchitektur zu stören, ein Sofortimplantat mit Sofortbelastung zu setzen und damit die soziale Ausfallzeit für die Patientin auf ein Minimum zu reduzieren. Bei stabilen Verhältnissen nach Operation wurde im Verlauf auf Wunsch der Patientin durch den weiter betreuenden Zahnarzt eine Veneer-Versorgung der Oberkieferfront zur vollständigen Wiederherstellung der ursprünglichen Zahnästhetik geplant. 

Fazit 

Ausgedehnte dentogene Zysten sind gerade im Oberkiefer-Frontzahnbereich nicht nur eine chirurgische, sondern auch eine ästhetische Herausforderung. Durch die gezielte Planung und den Einsatz von Materialien, die eine vollständige knöcherne Durchbauung des Defektes erlauben, kann ein langfristiger Behandlungserfolg mit optimaler Rot-Weiß-Ästhetik erreicht werden.

Verwendete Produkte

Produktgalerie überspringen

Zugehörige Produkte

mp3® Porcine (3x0,5 cc Spritze)
mp3® Porcine (3x0,5 cc Spritze)
Artikelnr.: 6310100
Herstellernr.: A3015FS

316,20 €
zzgl. MwSt.
zzgl. Versand
mp3® Porcine (1x1,0 cc Spritze)
mp3® Porcine (1x1,0 cc Spritze)
Artikelnr.: 6310110
Herstellernr.: A3005FS

138,05 €
zzgl. MwSt.
zzgl. Versand
mp3® Porcine (3x1,0 cc Spritze)
mp3® Porcine (3x1,0 cc Spritze)
Artikelnr.: 6310120
Herstellernr.: A3030FS

414,15 €
zzgl. MwSt.
zzgl. Versand
Soft Cortical Lamina® Fine Porcine 25x25x0,5 mm, dehydriert
Soft Cortical Lamina® Fine Porcine 25x25x0,5 mm, dehydriert
Artikelnr.: 6311020
Herstellernr.: LS25FS

197,00 €
zzgl. MwSt.
zzgl. Versand
Seralene blau 5-0 0,5 m DS-15 (24)
Seralene blau 5-0 0,5 m DS-15 (24)
Artikelnr.: 8021320
Herstellernr.: LO101713

101,05 €
zzgl. MwSt.
zzgl. Versand

Aktuelle Fortbildungen

4D Dentistry - das Update: Workflow, Software, Hardware, Fun
25.
Feb.
4D Dentistry - das Update: Workflow, Software, Hardware, Fun
Mi., 25.02.26, 20:00 - 22:00 (Europe/Berlin)
online
Dr. Christian Leonhardt
Der lokalisierte Alveolarkammdefekt
15.
Apr.
Der lokalisierte Alveolarkammdefekt
Mi., 15.04.26, 19:00 - 21:00 (Europe/Berlin)
online
Prof. Dr. Arndt Happe
Ästh. Frontzahnrestaurationen -Theorie
17.
Apr.
Ästh. Frontzahnrestaurationen -Theorie
Fr., 17.04.26, 09:00 - 17:00 (Europe/Berlin)
München
PD Dr. Didier Dietschi
Ästh. Frontzahnrestaurationen - Workshop
17.
Apr.
Ästh. Frontzahnrestaurationen - Workshop
Fr., 17.04.26, 09:00 - 18.04.26, 17:00 (Europe/Berlin)
München
PD Dr. Didier Dietschi
Endo Friday Meeting - Modul I
17.
Apr.
Endo Friday Meeting - Modul I
Fr., 17.04.26, 13:00 - 18:00 (Europe/Berlin)
Innsbruck
ZA Eduardo Belandria
Modernes Knochenmanagement
18.
Apr.
Modernes Knochenmanagement
Sa., 18.04.26, 09:00 - 17:00 (Europe/Berlin)
Köln
Dr. Kai Zwanzig
Regenerative Parodontitis-Therapie
18.
Apr.
Regenerative Parodontitis-Therapie
Sa., 18.04.26, 09:00 - 17:00 (Europe/Berlin)
München
PD Dr. Amelie Bäumer-König, M.Sc.
Osseodensification - GBR & sinuslift adé?
22.
Apr.
Osseodensification - GBR & sinuslift adé?
Mi., 22.04.26, 19:00 - 21:00 (Europe/Berlin)
online
PD Dr. Kai Fischer
Moderne Endodontie: Einfach, effizient zu guten Ergebnissen
24.
Apr.
Moderne Endodontie: Einfach, effizient zu guten Ergebnissen
Fr., 24.04.26, 14:00 - 25.04.26, 17:00 (Europe/Berlin)
München
Prof. Dr. Sebastian Bürklein
Parodontitis und ihre Wechselwirkungen
25.
Apr.
Parodontitis und ihre Wechselwirkungen
Sa., 25.04.26, 09:00 - 16:00 (Europe/Berlin)
München
Keine freien Plätze
Sonja Steinert, DH
Yvonne Gebhardt, DH
Ein strukturierter Ablauf für die Endo-Revision
08.
Mai
Ein strukturierter Ablauf für die Endo-Revision
Fr., 08.05.26, 14:00 - 09.05.26, 17:00 (Europe/Berlin)
München
Dr. Gilberto Debelian
Modernes Knochenmanagement
09.
Mai
Modernes Knochenmanagement
Sa., 09.05.26, 09:00 - 17:00 (Europe/Berlin)
Berlin
Dr. Kai Zwanzig
Modjaw - Anwendung Jaw Tracking Systeme
09.
Mai
Modjaw - Anwendung Jaw Tracking Systeme
Sa., 09.05.26, 09:00 - 17:00 (Europe/Berlin)
Köln
Priv.-Doz. Dr. med. dent. Sachin Chhatwani
Periimplantäre Gesundheit professionell gestalten
09.
Mai
Periimplantäre Gesundheit professionell gestalten
Sa., 09.05.26, 09:00 - 17:00 (Europe/Berlin)
München
Carmen Lanoway
Endo Friday Meeting - Modul II
15.
Mai
Endo Friday Meeting - Modul II
Fr., 15.05.26, 13:00 - 18:00 (Europe/Berlin)
Innsbruck
ZA Eduardo Belandria
Hochästhetisches, nichtinvasives Veneering
15.
Mai
Hochästhetisches, nichtinvasives Veneering
Fr., 15.05.26, 14:00 - 16.05.26, 17:00 (Europe/Berlin)
München
Dr. Hanni Lohmar
Nähen Verstehen - das Nahttechnik-Training
20.
Mai
Nähen Verstehen - das Nahttechnik-Training
Mi., 20.05.26, 19:00 - 21:00 (Europe/Berlin)
online
Prof. Dr. Henrik Dommisch
Osseodensification und Augmentation aus einer Hand
29.
Mai
Osseodensification und Augmentation aus einer Hand
Fr., 29.05.26, 09:00 - 17:00 (Europe/Berlin)
Wien
Priv. Doz. Dr. Michael Weinländer
Endo Friday Meeting - Modul III
05.
Juni
Endo Friday Meeting - Modul III
Fr., 05.06.26, 13:00 - 18:00 (Europe/Berlin)
Innsbruck
ZA Eduardo Belandria
Next Level Frontzahnaufbau
10.
Juni
Next Level Frontzahnaufbau
Mi., 10.06.26, 19:00 - 21:00 (Europe/Berlin)
online
Prof. Dr. Diana Wolff
The Perfect Bone
12.
Juni
The Perfect Bone
Fr., 12.06.26, 14:00 - 13.06.26, 17:00 (Europe/Berlin)
München
Dr. Alexander Müller-Busch M.Sc.
Versah Digital: Präzision, Sicherheit, Vorhersagbarkeit
13.
Juni
Versah Digital: Präzision, Sicherheit, Vorhersagbarkeit
Sa., 13.06.26, 09:00 - 17:00 (Europe/Berlin)
Frankfurt
Dr. Benjamin Bahlmann
Das Mikroskop in der Endodontie - ein Update
13.
Juni
Das Mikroskop in der Endodontie - ein Update
Sa., 13.06.26, 09:00 - 17:00 (Europe/Berlin)
Nürnberg
Dr. Jürgen Wollner
Vom kleinen Eckenaufbau bis zur Composite-Krone
19.
Juni
Vom kleinen Eckenaufbau bis zur Composite-Krone
Fr., 19.06.26, 14:00 - 20.06.26, 17:00 (Europe/Berlin)
Hamburg
Dr. Martin von Sontagh
KFO: Von der Zahnbewegung zur integgrativen Therapie
19.
Juni
KFO: Von der Zahnbewegung zur integgrativen Therapie
Fr., 19.06.26, 14:00 - 20.06.26, 17:00 (Europe/Berlin)
München
Dr. Christian Leonhardt
Modernes Knochenmanagement
20.
Juni
Modernes Knochenmanagement
Sa., 20.06.26, 09:00 - 17:00 (Europe/Berlin)
Hamburg
Dr. Kai Zwanzig
Basiskurs zum Arbeiten unter dem Mikroskop -Workshop-
20.
Juni
Basiskurs zum Arbeiten unter dem Mikroskop -Workshop-
Sa., 20.06.26, 09:00 - 17:00 (Europe/Berlin)
Köln
Dr. Günther Stöckl
Großvolumige Knochenaugmentation - sicher, einfach, anders!
26.
Juni
Großvolumige Knochenaugmentation - sicher, einfach, anders!
Fr., 26.06.26, 14:00 - 27.06.26, 17:00 (Europe/Berlin)
München
Dr. Marcel A. Wainwright
Simplify your Augmentation
10.
Juli
Simplify your Augmentation
Fr., 10.07.26, 14:00 - 11.07.26, 17:00 (Europe/Berlin)
München
Prof. Dr. Dr. Florian Stelzle
Osseodensification - Implantat-Präp. optimieren
11.
Juli
Osseodensification - Implantat-Präp. optimieren
Sa., 11.07.26, 09:00 - 17:00 (Europe/Berlin)
München
PD Dr. Kai Fischer
Regenerative Parodontitis-Therapie
12.
Sept.
Regenerative Parodontitis-Therapie
Sa., 12.09.26, 09:00 - 17:00 (Europe/Berlin)
Köln
PD Dr. Amelie Bäumer-König, M.Sc.
Boost Retreatment® -  Rise to Success with High Speed
23.
Sept.
Boost Retreatment® -  Rise to Success with High Speed
Mi., 23.09.26, 19:00 - 21:00 (Europe/Berlin)
online
ZA Klaus Lauterbach
Airway: Zahnmedizin ist mehr als Zähne gerade stellen
25.
Sept.
Airway: Zahnmedizin ist mehr als Zähne gerade stellen
Fr., 25.09.26, 14:00 - 26.09.26, 17:00 (Europe/Berlin)
Köln
Dr. Christian Leonhardt
Vom kleinen Eckenaufbau bis zur Composite-Krone
02.
Okt.
Vom kleinen Eckenaufbau bis zur Composite-Krone
Fr., 02.10.26, 14:00 - 03.10.26, 17:00 (Europe/Berlin)
Wien
Dr. Martin von Sontagh
The Perfect Bone
09.
Okt.
The Perfect Bone
Fr., 09.10.26, 14:00 - 10.10.26, 17:00 (Europe/Berlin)
Köln
Dr. Alexander Müller-Busch M.Sc.
Das Mainzer Augmentationskonzept
09.
Okt.
Das Mainzer Augmentationskonzept
Fr., 09.10.26, 14:00 - 10.10.26, 17:00 (Europe/Berlin)
München
Prof. Dr. Dr. Bilal Al-Nawas
Prof. Dr. Dr. Keyvan Sagheb, M.Sc.
Parodontitis und ihre Wechselwirkungen
10.
Okt.
Parodontitis und ihre Wechselwirkungen
Sa., 10.10.26, 09:00 - 16:00 (Europe/Berlin)
Köln
Sonja Steinert, DH
Yvonne Gebhardt, DH
Osseodensification - Implantat-Präp. optimieren
10.
Okt.
Osseodensification - Implantat-Präp. optimieren
Sa., 10.10.26, 09:00 - 17:00 (Europe/Berlin)
Köln
PD Dr. Kai Fischer
Das Mikroskop in der Endodontie - ein Update
17.
Okt.
Das Mikroskop in der Endodontie - ein Update
Sa., 17.10.26, 09:00 - 17:00 (Europe/Berlin)
Nürnberg
Dr. Jürgen Wollner
Der moderne Weg zur indirekten Restauration
23.
Okt.
Der moderne Weg zur indirekten Restauration
Fr., 23.10.26, 14:00 - 24.10.26, 16:00 (Europe/Berlin)
München
Prof. Dr. Markus Blatz
Basiskurs zum Arbeiten unter dem Mikroskop -Workshop-
24.
Okt.
Basiskurs zum Arbeiten unter dem Mikroskop -Workshop-
Sa., 24.10.26, 09:00 - 17:00 (Europe/Berlin)
München
Dr. Günther Stöckl
Osseodensification - Implantat-Präp. optimieren
31.
Okt.
Osseodensification - Implantat-Präp. optimieren
Sa., 31.10.26, 09:00 - 17:00 (Europe/Berlin)
Hamburg
PD Dr. Kai Fischer
Hochästhetisches, nichtinvasives Veneering
06.
Nov.
Hochästhetisches, nichtinvasives Veneering
Fr., 06.11.26, 14:00 - 07.11.26, 17:00 (Europe/Berlin)
Köln
Dr. Hanni Lohmar
Optimierte Implantologie
07.
Nov.
Optimierte Implantologie
Sa., 07.11.26, 09:00 - 17:00 (Europe/Berlin)
Hannover
Dr. Benjamin Bahlmann
Die Trickkiste der Zahnerhaltung
13.
Nov.
Die Trickkiste der Zahnerhaltung
Fr., 13.11.26, 13:00 - 14.11.26, 17:00 (Europe/Berlin)
München
Prof. Dr. Diana Wolff
Großvolumige Knochenaugmentation - sicher, einfach, anders!
13.
Nov.
Großvolumige Knochenaugmentation - sicher, einfach, anders!
Fr., 13.11.26, 14:00 - 14.11.26, 17:00 (Europe/Berlin)
Köln
Dr. Marcel A. Wainwright
Mission Wurzelfüllung - Präzision bis ins Detail
14.
Nov.
Mission Wurzelfüllung - Präzision bis ins Detail
Sa., 14.11.26, 09:00 - 17:00 (Europe/Berlin)
Hamburg
Dr. Chinh Tran Khanh, M.Sc.
Osseodensification und Augmentation aus einer Hand
20.
Nov.
Osseodensification und Augmentation aus einer Hand
Fr., 20.11.26, 09:00 - 17:00 (Europe/Berlin)
Wien
Priv. Doz. Dr. Michael Weinländer
Kieferorthopädie heute: State of the Art - 4D
26.
Nov.
Kieferorthopädie heute: State of the Art - 4D
Do., 26.11.26, 09:00 - 28.11.26, 17:00 (Europe/Berlin)
München
Dr. Domingo Martin Salvador
Dr. Alberto Canábez Berthet
Ästh. Frontzahnrestaurationen -Theorie
27.
Nov.
Ästh. Frontzahnrestaurationen -Theorie
Fr., 27.11.26, 09:00 - 17:00 (Europe/Berlin)
Frankfurt
PD Dr. Didier Dietschi
Ästh. Frontzahnrestaurationen - Workshop
27.
Nov.
Ästh. Frontzahnrestaurationen - Workshop
Fr., 27.11.26, 09:00 - 28.11.26, 17:00 (Europe/Berlin)
Frankfurt
PD Dr. Didier Dietschi
Adhäsive Restaurationen - an einem Wochenende
27.
Nov.
Adhäsive Restaurationen - an einem Wochenende
Fr., 27.11.26, 14:00 - 28.11.26, 17:00 (Europe/Berlin)
München
Prof. Dr. Roland Frankenberger
4D Dentistry - Workflow für Zahnarzt und Techniker
29.
Nov.
4D Dentistry - Workflow für Zahnarzt und Techniker
So., 29.11.26, 09:00 - 17:00 (Europe/Berlin)
München
Dr. Christian Leonhardt
ZT Michaela Heubeck
Osseodensification-Sofortimplantation
02.
Dez.
Osseodensification-Sofortimplantation
Mi., 02.12.26, 19:00 - 21:00 (Europe/Berlin)
online
Prof. Dr. Dr. Florian Stelzle
Der moderne Weg zur indirekten Restauration
04.
Dez.
Der moderne Weg zur indirekten Restauration
Fr., 04.12.26, 14:00 - 05.12.26, 16:00 (Europe/Berlin)
Frankfurt
Prof. Dr. Markus Blatz
Moderne Endodontologie für den Allgemeinpraktiker
04.
Dez.
Moderne Endodontologie für den Allgemeinpraktiker
Fr., 04.12.26, 14:00 - 05.12.26, 17:00 (Europe/Berlin)
Köln
Dr. Oliver Pontius
Endodontie Kongress 2026 - Workshops + Kongress
10.
Dez.
Endodontie Kongress 2026 - Workshops + Kongress
Do., 10.12.26, 08:45 - 12.12.26, 17:00 (Europe/Berlin)
Köln
Dr. Frank Setzer (wissenschaftlicher Leiter)
Endodontie Kongress 2026 - Kongress (Theorie)
10.
Dez.
Endodontie Kongress 2026 - Kongress (Theorie)
Do., 10.12.26, 08:45 - 12.12.26, 17:00 (Europe/Berlin)
Köln
Dr. Frank Setzer (wissenschaftlicher Leiter)
Endodontie Kongress 2026 - Get Together
10.
Dez.
Endodontie Kongress 2026 - Get Together
Do., 10.12.26, 19:00 - 21:00 (Europe/Berlin)
Köln
Dr. Frank Setzer (wissenschaftlicher Leiter)
3. Curriculum "The Art of Digital Dentistry"
14.
Jan.
3. Curriculum "The Art of Digital Dentistry"
Do., 14.01.27, 13:30 - 26.06.27, 18:00 (Europe/Berlin)
München
Dr. Christian Leonhardt (klinische Leitung)
Prof. Dr. Markus Blatz (wissenschaftliche Leitung)
TEAM | 3. Curriculum "The Art of Digital Dentistry"
14.
Jan.
TEAM | 3. Curriculum "The Art of Digital Dentistry"
Do., 14.01.27, 13:30 - 26.06.27, 18:00 (Europe/Berlin)
München
Dr. Christian Leonhardt (klinische Leitung)
Prof. Dr. Markus Blatz (wissenschaftliche Leitung)