Zum Hauptinhalt springen Zur Suche springen Zur Hauptnavigation springen

Hinweis: Unser Sortiment richtet sich ausschließlich an Zahnarztpraxen, Zahnlabore und Unternehmen der Dentalbranche. Ein Verkauf an Privatpersonen ist ausgeschlossen.

Willkommen bei ADS. American Dental Systems. Gemeinsam verbessern wir die Zahnmedizin.

Natürliches Schichtkonzept mit inspiro

Im folgenden Fall zeigt Dr. Didier Dietsch wie eri zwei ästhetisch und anatomisch mangelhaft angepasste Komposit­-Veneers mit Hilfe des inspiro Direktsystems ersetzte. Dank des natürlichen Schichtkonzepts erzielte Dr. Dietschi ein natürlich anmutendes, ästhetisches Ergebnis.
Porträt PD Dr. Didier Dietschi
PD Dr. Didier Dietschi

Abbildung 1

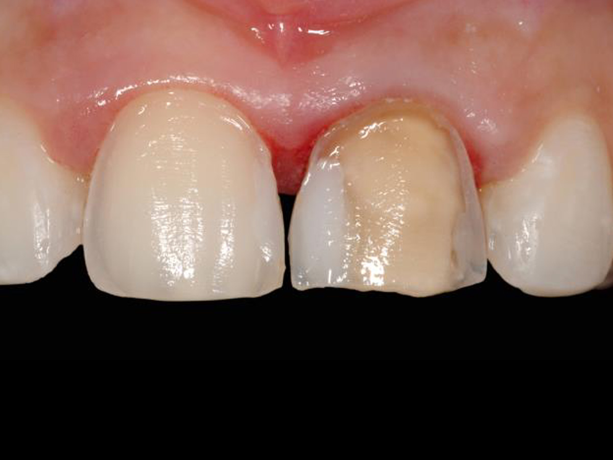
Die präoperative Ansicht zeigt die schlechte Anpassung der bisherigen direkten Komposit-Veneers an den Zähnen 11 und 21 sowie die daraus resultierende Entzündung am Zahnfleisch: Die interdentale Papille wurde dadurch abgeflacht.

Abbildung 2

Vorbereitungen: Der linke Schneidezahn ist nicht vital.

Abbildung 3

Die Verwendung von Kofferdam ist in diesem Falle entscheidend, um ein trockenes und sauberes Arbeitsfeld zu gewährleisten. Die Bänder aus Zahnseide sichern den Kofferdam in der richtigen Position. Eine zusätzliche Hilfe stellt dabei der Bonding Agent dar, mit dem die Zahnseide imprägniert wurde.

Abbildung 4

Vor Behandlungsbeginn wurde ein Silikonschlüssel angefertigt, der als Referenz für den Aufbau der inzisalen Kanten dient.

Abbildung 5

Polymerisation der DentinSchicht(inspiro Body i2); die Ansicht des Profils entspricht genau der visuellen Perspektive des Behandlers, wodurch ermöglicht wird, das Profil während des Aufbaus/Schichtens zu verifizieren.

Abbildung 6

Diese Abbildung zeigt das inzisale Cut-Back der Dentinschicht, die notwendig ist, um eine natürliche Erscheinung der neuen inzisalen Kanten zu ermöglichen.

Abbildung 7

Die inzisale Ansicht bringt die dritte Dimension; dieser 3D-Ansatz ermöglicht es, die Formen und Mengen während des Schichtens und der Fertigstellung der direkten Kompositrestauration.

Abbildung 8

In dieser Abbildung ist das fertiggestellte Veneer am linken Schneidezahn, nach erfolgter Applikation der Schneide-Schicht (inspiro Skin White) zu sehen.

Abbildung 9

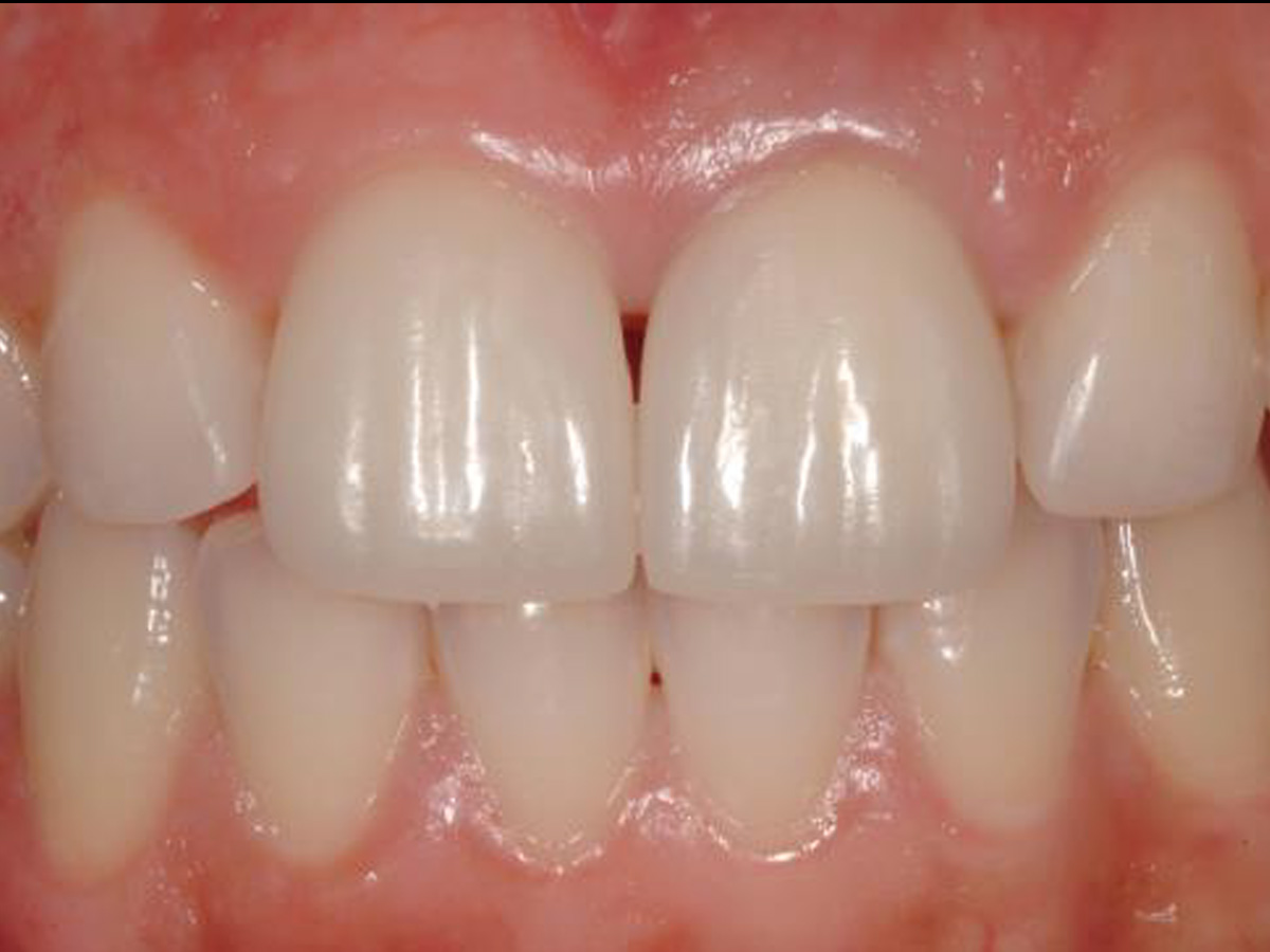
Zu sehen sind die beiden Veneers nach der Fertigstellung der beiden Zahn-Schichtungen, vor dem Polieren.

Abbildung 10

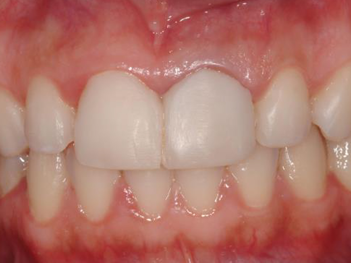
Post-operative Ansicht, drei Tage nach der Restauration der beiden Veneers; besonders beachtenswert ist die exzellente Abheilung des Weichgewebes. Für diesen Fall wurde keine opake Basis verwendet.

Verwendete Produkte

Produktgalerie überspringen

Zugehörige Produkte

inspiro Master Kit Compule
inspiro Master Kit Compule
Artikelnr.: 7271100
Herstellernr.: 3010

1.621,80 €
zzgl. MwSt.
zzgl. Versand
inspiro Master Kit Syringe
inspiro Master Kit Syringe
Artikelnr.: 7271110
Herstellernr.: 3020

1.199,55 €
zzgl. MwSt.
zzgl. Versand
inspiro Intro Kit Compule
inspiro Intro Kit Compule
Artikelnr.: 7271120
Herstellernr.: 3030

1.236,25 €
zzgl. MwSt.
zzgl. Versand
inspiro Intro Kit Syringe
inspiro Intro Kit Syringe
Artikelnr.: 7271130
Herstellernr.: 3040

801,75 €
zzgl. MwSt.
zzgl. Versand
inspiro Body i0 Spritze (1x3 g)
inspiro Body i0 Spritze (1x3 g)
Artikelnr.: 7271400
Herstellernr.: 3400

75,90 €
zzgl. MwSt.
zzgl. Versand
inspiro Body i1 Spritze (1x3 g)
inspiro Body i1 Spritze (1x3 g)
Artikelnr.: 7271401
Herstellernr.: 3410

75,90 €
zzgl. MwSt.
zzgl. Versand
inspiro Body i2 Spritze (1x3 g)
inspiro Body i2 Spritze (1x3 g)
Artikelnr.: 7271402
Herstellernr.: 3420

75,90 €
zzgl. MwSt.
zzgl. Versand
inspiro Body i3 Spritze (1x3 g)
inspiro Body i3 Spritze (1x3 g)
Artikelnr.: 7271403
Herstellernr.: 3430

75,90 €
zzgl. MwSt.
zzgl. Versand
inspiro Body i4 Spritze (1x3 g)
inspiro Body i4 Spritze (1x3 g)
Artikelnr.: 7271404
Herstellernr.: 3440

75,90 €
zzgl. MwSt.
zzgl. Versand
inspiro Body i5 Spritze (1x3 g)
inspiro Body i5 Spritze (1x3 g)
Artikelnr.: 7271405
Herstellernr.: 3450

75,90 €
zzgl. MwSt.
zzgl. Versand

Aktuelle Fortbildungen

4D Dentistry - das Update: Workflow, Software, Hardware, Fun
25.
Feb.
4D Dentistry - das Update: Workflow, Software, Hardware, Fun
Mi., 25.02.26, 20:00 - 22:00 (Europe/Berlin)
online
Dr. Christian Leonhardt
Der lokalisierte Alveolarkammdefekt
15.
Apr.
Der lokalisierte Alveolarkammdefekt
Mi., 15.04.26, 19:00 - 21:00 (Europe/Berlin)
online
Prof. Dr. Arndt Happe
Ästh. Frontzahnrestaurationen -Theorie
17.
Apr.
Ästh. Frontzahnrestaurationen -Theorie
Fr., 17.04.26, 09:00 - 17:00 (Europe/Berlin)
München
PD Dr. Didier Dietschi
Ästh. Frontzahnrestaurationen - Workshop
17.
Apr.
Ästh. Frontzahnrestaurationen - Workshop
Fr., 17.04.26, 09:00 - 18.04.26, 17:00 (Europe/Berlin)
München
PD Dr. Didier Dietschi
Endo Friday Meeting - Modul I
17.
Apr.
Endo Friday Meeting - Modul I
Fr., 17.04.26, 13:00 - 18:00 (Europe/Berlin)
Innsbruck
ZA Eduardo Belandria
Modernes Knochenmanagement
18.
Apr.
Modernes Knochenmanagement
Sa., 18.04.26, 09:00 - 17:00 (Europe/Berlin)
Köln
Dr. Kai Zwanzig
Regenerative Parodontitis-Therapie
18.
Apr.
Regenerative Parodontitis-Therapie
Sa., 18.04.26, 09:00 - 17:00 (Europe/Berlin)
München
PD Dr. Amelie Bäumer-König, M.Sc.
Osseodensification - GBR & sinuslift adé?
22.
Apr.
Osseodensification - GBR & sinuslift adé?
Mi., 22.04.26, 19:00 - 21:00 (Europe/Berlin)
online
PD Dr. Kai Fischer
Moderne Endodontie: Einfach, effizient zu guten Ergebnissen
24.
Apr.
Moderne Endodontie: Einfach, effizient zu guten Ergebnissen
Fr., 24.04.26, 14:00 - 25.04.26, 17:00 (Europe/Berlin)
München
Prof. Dr. Sebastian Bürklein
Parodontitis und ihre Wechselwirkungen
25.
Apr.
Parodontitis und ihre Wechselwirkungen
Sa., 25.04.26, 09:00 - 16:00 (Europe/Berlin)
München
Keine freien Plätze
Sonja Steinert, DH
Yvonne Gebhardt, DH
Ein strukturierter Ablauf für die Endo-Revision
08.
Mai
Ein strukturierter Ablauf für die Endo-Revision
Fr., 08.05.26, 14:00 - 09.05.26, 17:00 (Europe/Berlin)
München
Dr. Gilberto Debelian
Modernes Knochenmanagement
09.
Mai
Modernes Knochenmanagement
Sa., 09.05.26, 09:00 - 17:00 (Europe/Berlin)
Berlin
Dr. Kai Zwanzig
Modjaw - Anwendung Jaw Tracking Systeme
09.
Mai
Modjaw - Anwendung Jaw Tracking Systeme
Sa., 09.05.26, 09:00 - 17:00 (Europe/Berlin)
Köln
Priv.-Doz. Dr. med. dent. Sachin Chhatwani
Periimplantäre Gesundheit professionell gestalten
09.
Mai
Periimplantäre Gesundheit professionell gestalten
Sa., 09.05.26, 09:00 - 17:00 (Europe/Berlin)
München
Carmen Lanoway
Endo Friday Meeting - Modul II
15.
Mai
Endo Friday Meeting - Modul II
Fr., 15.05.26, 13:00 - 18:00 (Europe/Berlin)
Innsbruck
ZA Eduardo Belandria
Hochästhetisches, nichtinvasives Veneering
15.
Mai
Hochästhetisches, nichtinvasives Veneering
Fr., 15.05.26, 14:00 - 16.05.26, 17:00 (Europe/Berlin)
München
Dr. Hanni Lohmar
Nähen Verstehen - das Nahttechnik-Training
20.
Mai
Nähen Verstehen - das Nahttechnik-Training
Mi., 20.05.26, 19:00 - 21:00 (Europe/Berlin)
online
Prof. Dr. Henrik Dommisch
Osseodensification und Augmentation aus einer Hand
29.
Mai
Osseodensification und Augmentation aus einer Hand
Fr., 29.05.26, 09:00 - 17:00 (Europe/Berlin)
Wien
Priv. Doz. Dr. Michael Weinländer
Endo Friday Meeting - Modul III
05.
Juni
Endo Friday Meeting - Modul III
Fr., 05.06.26, 13:00 - 18:00 (Europe/Berlin)
Innsbruck
ZA Eduardo Belandria
Next Level Frontzahnaufbau
10.
Juni
Next Level Frontzahnaufbau
Mi., 10.06.26, 19:00 - 21:00 (Europe/Berlin)
online
Prof. Dr. Diana Wolff
The Perfect Bone
12.
Juni
The Perfect Bone
Fr., 12.06.26, 14:00 - 13.06.26, 17:00 (Europe/Berlin)
München
Dr. Alexander Müller-Busch M.Sc.
Versah Digital: Präzision, Sicherheit, Vorhersagbarkeit
13.
Juni
Versah Digital: Präzision, Sicherheit, Vorhersagbarkeit
Sa., 13.06.26, 09:00 - 17:00 (Europe/Berlin)
Frankfurt
Dr. Benjamin Bahlmann
Das Mikroskop in der Endodontie - ein Update
13.
Juni
Das Mikroskop in der Endodontie - ein Update
Sa., 13.06.26, 09:00 - 17:00 (Europe/Berlin)
Nürnberg
Dr. Jürgen Wollner
Vom kleinen Eckenaufbau bis zur Composite-Krone
19.
Juni
Vom kleinen Eckenaufbau bis zur Composite-Krone
Fr., 19.06.26, 14:00 - 20.06.26, 17:00 (Europe/Berlin)
Hamburg
Dr. Martin von Sontagh
KFO: Von der Zahnbewegung zur integgrativen Therapie
19.
Juni
KFO: Von der Zahnbewegung zur integgrativen Therapie
Fr., 19.06.26, 14:00 - 20.06.26, 17:00 (Europe/Berlin)
München
Dr. Christian Leonhardt
Modernes Knochenmanagement
20.
Juni
Modernes Knochenmanagement
Sa., 20.06.26, 09:00 - 17:00 (Europe/Berlin)
Hamburg
Dr. Kai Zwanzig
Basiskurs zum Arbeiten unter dem Mikroskop -Workshop-
20.
Juni
Basiskurs zum Arbeiten unter dem Mikroskop -Workshop-
Sa., 20.06.26, 09:00 - 17:00 (Europe/Berlin)
Köln
Dr. Günther Stöckl
Großvolumige Knochenaugmentation - sicher, einfach, anders!
26.
Juni
Großvolumige Knochenaugmentation - sicher, einfach, anders!
Fr., 26.06.26, 14:00 - 27.06.26, 17:00 (Europe/Berlin)
München
Dr. Marcel A. Wainwright
Simplify your Augmentation
10.
Juli
Simplify your Augmentation
Fr., 10.07.26, 14:00 - 11.07.26, 17:00 (Europe/Berlin)
München
Prof. Dr. Dr. Florian Stelzle
Osseodensification - Implantat-Präp. optimieren
11.
Juli
Osseodensification - Implantat-Präp. optimieren
Sa., 11.07.26, 09:00 - 17:00 (Europe/Berlin)
München
PD Dr. Kai Fischer
Regenerative Parodontitis-Therapie
12.
Sept.
Regenerative Parodontitis-Therapie
Sa., 12.09.26, 09:00 - 17:00 (Europe/Berlin)
Köln
PD Dr. Amelie Bäumer-König, M.Sc.
Boost Retreatment® -  Rise to Success with High Speed
23.
Sept.
Boost Retreatment® -  Rise to Success with High Speed
Mi., 23.09.26, 19:00 - 21:00 (Europe/Berlin)
online
ZA Klaus Lauterbach
Airway: Zahnmedizin ist mehr als Zähne gerade stellen
25.
Sept.
Airway: Zahnmedizin ist mehr als Zähne gerade stellen
Fr., 25.09.26, 14:00 - 26.09.26, 17:00 (Europe/Berlin)
Köln
Dr. Christian Leonhardt
Vom kleinen Eckenaufbau bis zur Composite-Krone
02.
Okt.
Vom kleinen Eckenaufbau bis zur Composite-Krone
Fr., 02.10.26, 14:00 - 03.10.26, 17:00 (Europe/Berlin)
Wien
Dr. Martin von Sontagh
The Perfect Bone
09.
Okt.
The Perfect Bone
Fr., 09.10.26, 14:00 - 10.10.26, 17:00 (Europe/Berlin)
Köln
Dr. Alexander Müller-Busch M.Sc.
Das Mainzer Augmentationskonzept
09.
Okt.
Das Mainzer Augmentationskonzept
Fr., 09.10.26, 14:00 - 10.10.26, 17:00 (Europe/Berlin)
München
Prof. Dr. Dr. Bilal Al-Nawas
Prof. Dr. Dr. Keyvan Sagheb, M.Sc.
Osseodensification - Implantat-Präp. optimieren
10.
Okt.
Osseodensification - Implantat-Präp. optimieren
Sa., 10.10.26, 09:00 - 17:00 (Europe/Berlin)
Köln
PD Dr. Kai Fischer
Parodontitis und ihre Wechselwirkungen
10.
Okt.
Parodontitis und ihre Wechselwirkungen
Sa., 10.10.26, 09:00 - 16:00 (Europe/Berlin)
Köln
Sonja Steinert, DH
Yvonne Gebhardt, DH
Das Mikroskop in der Endodontie - ein Update
17.
Okt.
Das Mikroskop in der Endodontie - ein Update
Sa., 17.10.26, 09:00 - 17:00 (Europe/Berlin)
Nürnberg
Dr. Jürgen Wollner
Der moderne Weg zur indirekten Restauration
23.
Okt.
Der moderne Weg zur indirekten Restauration
Fr., 23.10.26, 14:00 - 24.10.26, 16:00 (Europe/Berlin)
München
Prof. Dr. Markus Blatz
Basiskurs zum Arbeiten unter dem Mikroskop -Workshop-
24.
Okt.
Basiskurs zum Arbeiten unter dem Mikroskop -Workshop-
Sa., 24.10.26, 09:00 - 17:00 (Europe/Berlin)
München
Dr. Günther Stöckl
Osseodensification - Implantat-Präp. optimieren
31.
Okt.
Osseodensification - Implantat-Präp. optimieren
Sa., 31.10.26, 09:00 - 17:00 (Europe/Berlin)
Hamburg
PD Dr. Kai Fischer
Hochästhetisches, nichtinvasives Veneering
06.
Nov.
Hochästhetisches, nichtinvasives Veneering
Fr., 06.11.26, 14:00 - 07.11.26, 17:00 (Europe/Berlin)
Köln
Dr. Hanni Lohmar
Optimierte Implantologie
07.
Nov.
Optimierte Implantologie
Sa., 07.11.26, 09:00 - 17:00 (Europe/Berlin)
Hannover
Dr. Benjamin Bahlmann
Die Trickkiste der Zahnerhaltung
13.
Nov.
Die Trickkiste der Zahnerhaltung
Fr., 13.11.26, 13:00 - 14.11.26, 17:00 (Europe/Berlin)
München
Prof. Dr. Diana Wolff
Großvolumige Knochenaugmentation - sicher, einfach, anders!
13.
Nov.
Großvolumige Knochenaugmentation - sicher, einfach, anders!
Fr., 13.11.26, 14:00 - 14.11.26, 17:00 (Europe/Berlin)
Köln
Dr. Marcel A. Wainwright
Mission Wurzelfüllung - Präzision bis ins Detail
14.
Nov.
Mission Wurzelfüllung - Präzision bis ins Detail
Sa., 14.11.26, 09:00 - 17:00 (Europe/Berlin)
Hamburg
Dr. Chinh Tran Khanh, M.Sc.
Osseodensification und Augmentation aus einer Hand
20.
Nov.
Osseodensification und Augmentation aus einer Hand
Fr., 20.11.26, 09:00 - 17:00 (Europe/Berlin)
Wien
Priv. Doz. Dr. Michael Weinländer
Kieferorthopädie heute: State of the Art - 4D
26.
Nov.
Kieferorthopädie heute: State of the Art - 4D
Do., 26.11.26, 09:00 - 28.11.26, 17:00 (Europe/Berlin)
München
Dr. Domingo Martin Salvador
Dr. Alberto Canábez Berthet
Ästh. Frontzahnrestaurationen -Theorie
27.
Nov.
Ästh. Frontzahnrestaurationen -Theorie
Fr., 27.11.26, 09:00 - 17:00 (Europe/Berlin)
Frankfurt
PD Dr. Didier Dietschi
Ästh. Frontzahnrestaurationen - Workshop
27.
Nov.
Ästh. Frontzahnrestaurationen - Workshop
Fr., 27.11.26, 09:00 - 28.11.26, 17:00 (Europe/Berlin)
Frankfurt
PD Dr. Didier Dietschi
Adhäsive Restaurationen - an einem Wochenende
27.
Nov.
Adhäsive Restaurationen - an einem Wochenende
Fr., 27.11.26, 14:00 - 28.11.26, 17:00 (Europe/Berlin)
München
Prof. Dr. Roland Frankenberger
4D Dentistry - Workflow für Zahnarzt und Techniker
29.
Nov.
4D Dentistry - Workflow für Zahnarzt und Techniker
So., 29.11.26, 09:00 - 17:00 (Europe/Berlin)
München
Dr. Christian Leonhardt
ZT Michaela Heubeck
Osseodensification-Sofortimplantation
02.
Dez.
Osseodensification-Sofortimplantation
Mi., 02.12.26, 19:00 - 21:00 (Europe/Berlin)
online
Prof. Dr. Dr. Florian Stelzle
Der moderne Weg zur indirekten Restauration
04.
Dez.
Der moderne Weg zur indirekten Restauration
Fr., 04.12.26, 14:00 - 05.12.26, 16:00 (Europe/Berlin)
Frankfurt
Prof. Dr. Markus Blatz
Moderne Endodontologie für den Allgemeinpraktiker
04.
Dez.
Moderne Endodontologie für den Allgemeinpraktiker
Fr., 04.12.26, 14:00 - 05.12.26, 17:00 (Europe/Berlin)
Köln
Dr. Oliver Pontius
Endodontie Kongress 2026 - Workshops + Kongress
10.
Dez.
Endodontie Kongress 2026 - Workshops + Kongress
Do., 10.12.26, 08:45 - 12.12.26, 17:00 (Europe/Berlin)
Köln
Dr. Frank Setzer (wissenschaftlicher Leiter)
Endodontie Kongress 2026 - Kongress (Theorie)
10.
Dez.
Endodontie Kongress 2026 - Kongress (Theorie)
Do., 10.12.26, 08:45 - 12.12.26, 17:00 (Europe/Berlin)
Köln
Dr. Frank Setzer (wissenschaftlicher Leiter)
Endodontie Kongress 2026 - Get Together
10.
Dez.
Endodontie Kongress 2026 - Get Together
Do., 10.12.26, 19:00 - 21:00 (Europe/Berlin)
Köln
Dr. Frank Setzer (wissenschaftlicher Leiter)
3. Curriculum "The Art of Digital Dentistry"
14.
Jan.
3. Curriculum "The Art of Digital Dentistry"
Do., 14.01.27, 13:30 - 26.06.27, 18:00 (Europe/Berlin)
München
Dr. Christian Leonhardt (klinische Leitung)
Prof. Dr. Markus Blatz (wissenschaftliche Leitung)
TEAM | 3. Curriculum "The Art of Digital Dentistry"
14.
Jan.
TEAM | 3. Curriculum "The Art of Digital Dentistry"
Do., 14.01.27, 13:30 - 26.06.27, 18:00 (Europe/Berlin)
München
Dr. Christian Leonhardt (klinische Leitung)
Prof. Dr. Markus Blatz (wissenschaftliche Leitung)