Zum Hauptinhalt springen Zur Suche springen Zur Hauptnavigation springen

Hinweis: Unser Sortiment richtet sich ausschließlich an Zahnarztpraxen, Zahnlabore und Unternehmen der Dentalbranche. Ein Verkauf an Privatpersonen ist ausgeschlossen.

Willkommen bei ADS. American Dental Systems. Gemeinsam verbessern wir die Zahnmedizin.

Diastemaschluss mit Komposit

Der ästhetische Lückenschluss eines Diastema mediale stellt den Behandler vor eine besondere Herausforderung. Ulf Krueger-Janson zeigt im vorliegenden Fall, wie er diese dank der Planung mittels Mock-ups und des Verständnisses für die Gestaltung eines neuen Emergenzprofils mit Hilfe einer adäquaten Technik mit Gelassenheit angenommen hat.
Porträt ZA Ulf Krueger-Janson
ZA Ulf Krueger-Janson

Abbildung 1a

Kommunikation mit einem Patienten, der seine Situation fotografierte und um Rat fragte, ob ein Lückenschluss mit Komposit möglich sei. 

Abbildung 1b

Um das zu erwartende Ergebnis zu prognostizieren wurde das vom Patienten übermittelte Foto zu Beratungszwecken retuschiert. Bereits hier wurde die Neugestaltung des Emergenzprofils berücksichtigt.

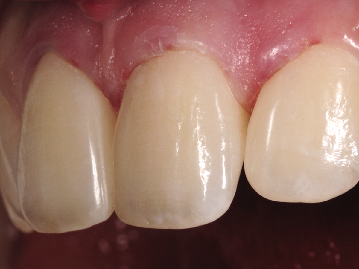
Abbildung 2

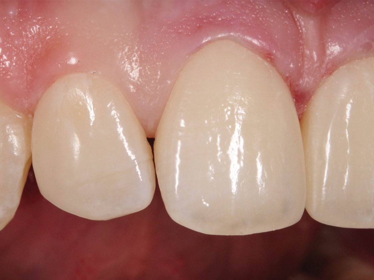
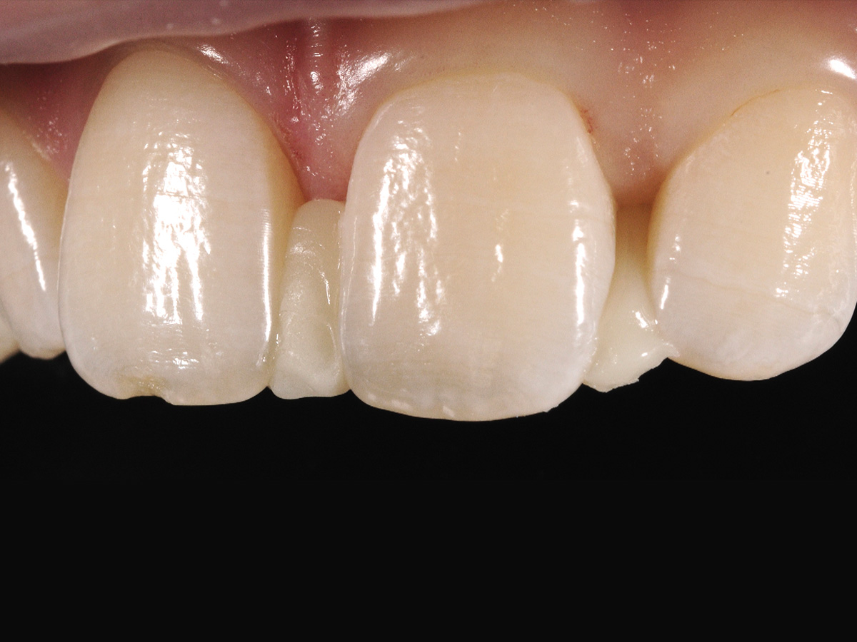
Ausgangsbefund: Gesunde gingivale Verhältnisse, Diastema mediale.

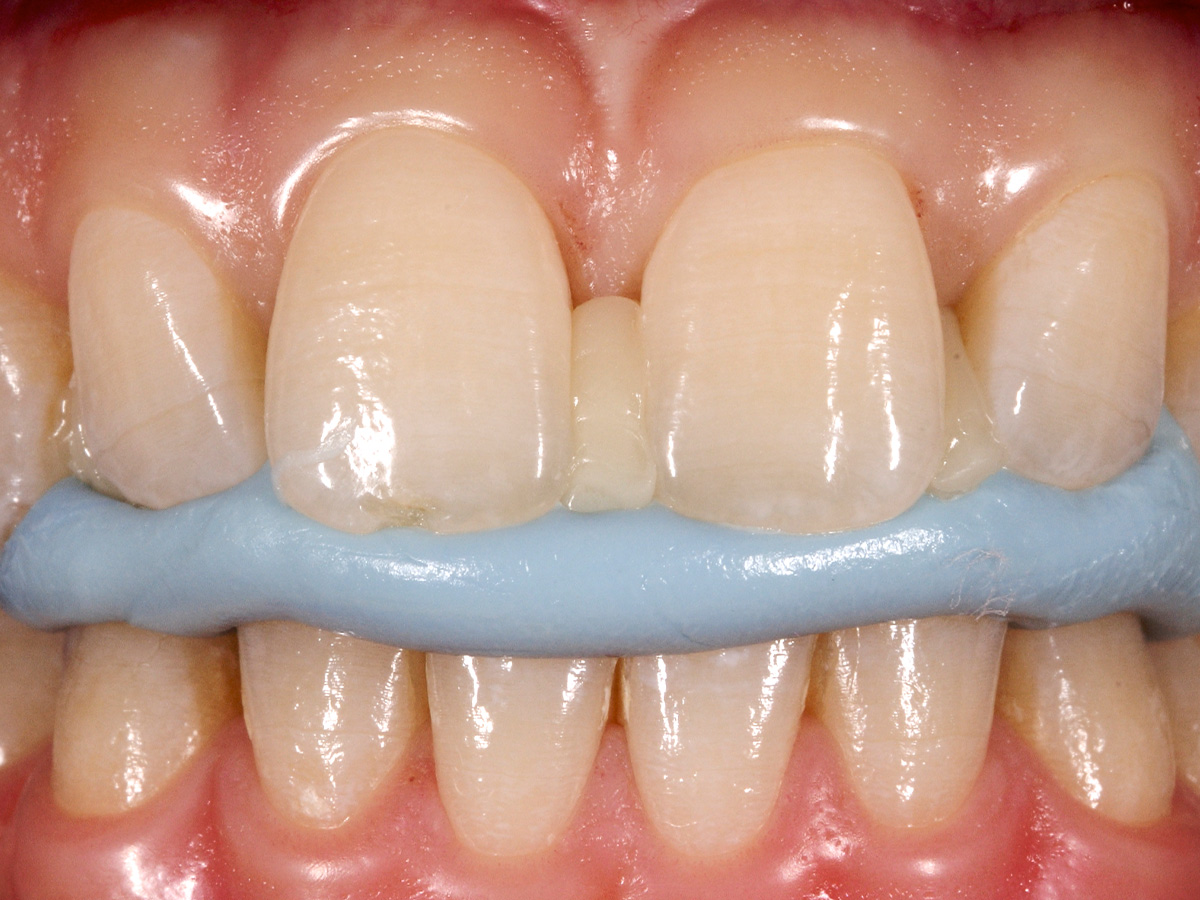
Abbildung 3a

Bei der seitlichen Betrachtung sind weitere interdentale Lücken an 12 distal und 22 mesial deutlich erkennbar.

Abbildung 3b

Abbildung 4

Vorbereitende Maßnahme: Als technisches Hilfsmittel wird ein von palatinal angefertigter „technischer und funktioneller Aufbau“ angefertigt. Dazu wird Komposit von palatinal auf die ungeätzten Zahnflächen aufgetragen, die Lücken damit geschlossen und das Material anschließend polymerisiert. In festem Zustand können nun funktionelle Bewegungen ausgeführt und eingeschliffen werden. Anschließend kann der Aufbau abgesprengt werden.

Abbildung 5

Das angefertigte palatinale „technische Mock-up“ wird mit einem Silikon abgeformt. Gleichzeitig lässt man den Patienten in das Silikon mit dem UK reinbeißen, um damit eine spätere Fixierung für weitere Arbeitsschritte zu ermöglichen.

Abbildung 6

Mittels Streifentechnik wird auf der mesialen Seite von 11 als primärer Aufbau eine Flow-Schicht inspiro S3 (opakes Material) bis in den subgingivalen Bereich hinein aufgetragen. Somit kann ein der Verbreiterung gemäß passendes Emergenzprofil (Emergenz = der Heraustritt, das Aufsteigen) gestaltet werden. Durch den Silikonschlüssel und den hohen Anpressdruck des Schlüssels gegen den um den Zahn gelegten Streifen wird es möglich, die zuvor den funktionellen Parametern entsprechend ausgestaltete palatinale Fläche optimal zu gestalten.

Abbildung 7

Die primäre Flow-Schicht wird mit festem Komposit inspiro S3 (entspricht einer A2/A3), einer opaken Dentinfarbe, weiter überschichtet. Im interdentalen Bereich ist es grundsätzlich notwendig, mit hochgesättigten- chromatischen, opaken Grundfarben zu arbeiten, da sonst der Bereich gräulich erscheinen würde. Transluzente Farben rufen einen gräulichen Effekt hervor! Grauwerte erzeugen eine räumliche Tiefe und werden deshalb meist nur in der obersten Schicht verwendet, um dem Zahn eine dreidimensional wirkende Erscheinung zu vermitteln. Diese Materialien können mit unterschiedlichen Trübungskörpern gefüllt sein, um gleichzeitig zur Transluzenz bestimmte Helligkeitswerte zu vermitteln. Dies wurde auch in diesem Fall gemacht. Hier wurde Ivory (inspiro), eine weißlich gelblich eingetrübte Materialkomponente (= SI), über den mit einer Grundfarbe angefertigten Aufbau aufgeschichtet.

Abbildung 8

Mit der gleichen Technik wird der Aufbau von 21 angefertigt. Im direkten Vergleich sind die verschiedenen Farben gut zu unterscheiden. Der mesiale Anteil von 11 wirkt weißlich und heller als der Aufbau der mesialen Kontur von 21. Zu berücksichtigen ist die durch Dehydration entstandene Aufhellung der natürlichen Zahnfarbe. Dies sollte bei der Herstellung und anschließenden farblichen Bewertung einer Restauration grundsätzlich berücksichtig werden. Eine Beurteilung der definitiven farblichen Integration kann deshalb nur zu einem späteren Zeitpunkt vorgenommen werden.

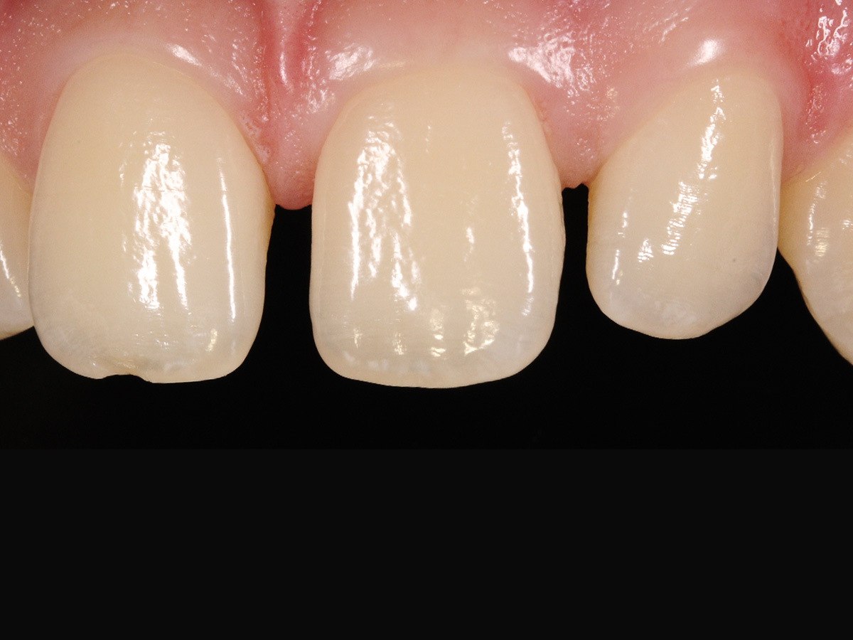
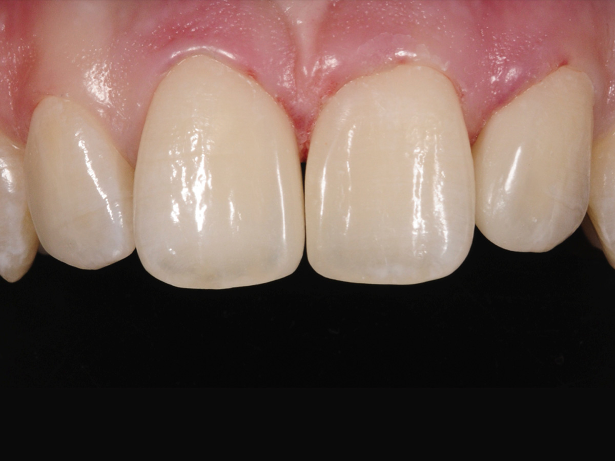
Abbildung 9

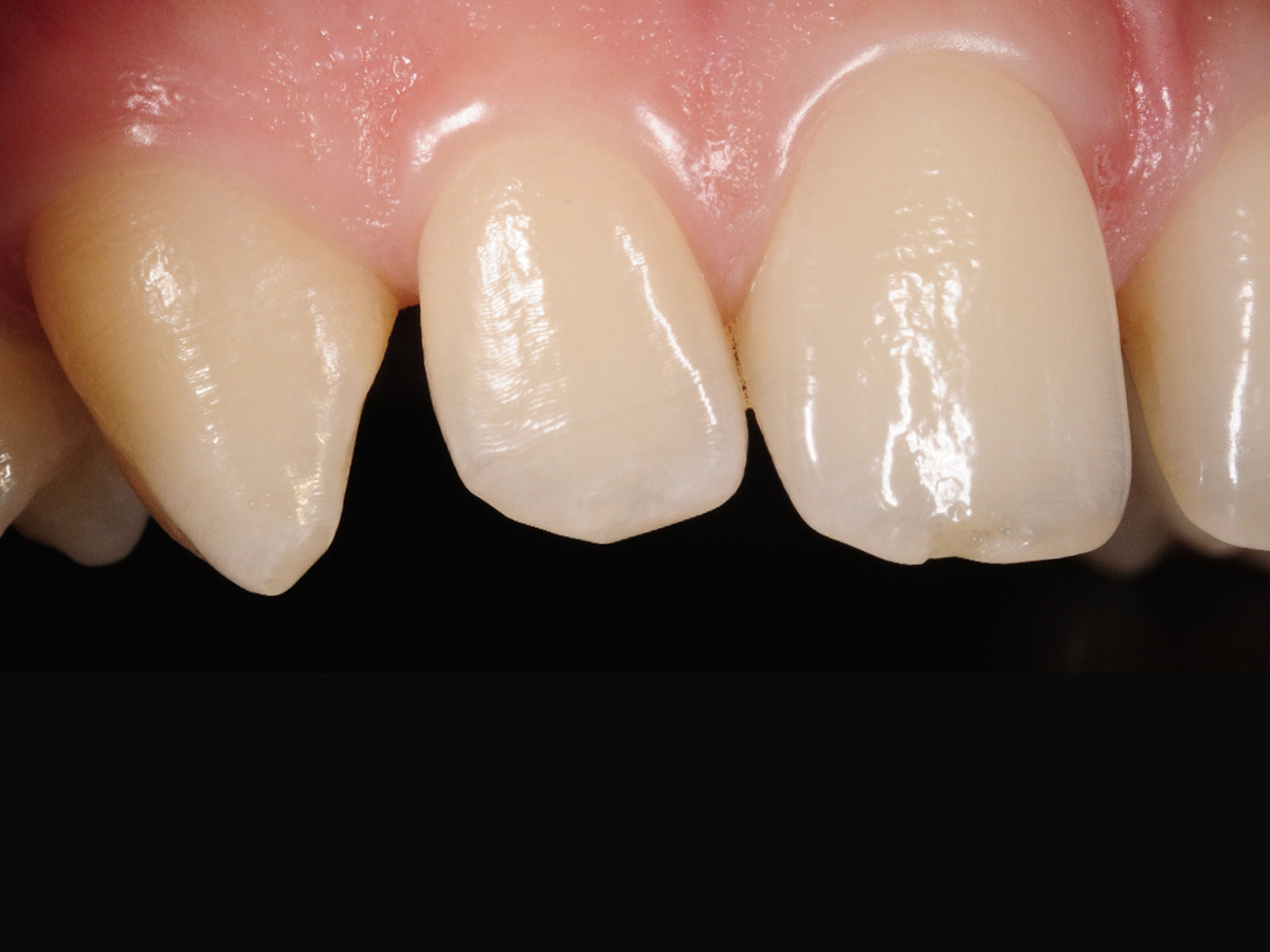
Ein mehrfacher Lückenschluss, mit der Anfertigung von neuen Proportionen, integriert sich unauffällig in das dentale Umfeld. Nach Ausarbeitung und Politur werden die formgebenden, mesialen Anteile durch Reflexion besonders deutlich. Die Aufnahme erfolgte direkt nach dem Aufbau. Die gingivalen Strukturen sind noch gereizt und werden sich im interdentalen Bereich noch regenerieren.

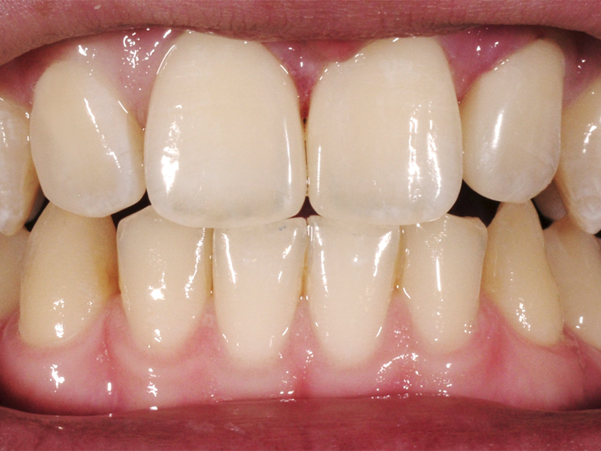
Abbildung 10

Die Ansicht von lateral.

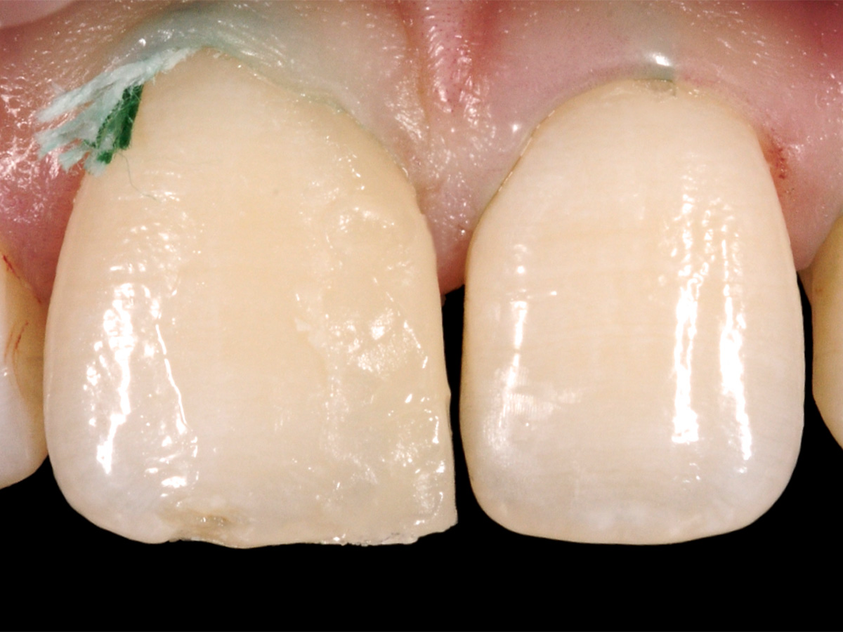
Abbildung 11

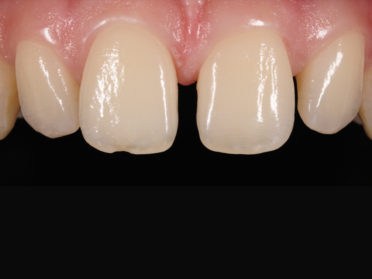
Abbildung 12

Finales Abschlussfoto. Aufgrund der großen Distanz des Patienten- Wohnortes zur Praxis, konnte bisher kein weiteres Foto der Restauration angefertigt werden. Es kann jedoch konstatiert werden, dass eine optische Integration unter Formaspekten gelungen ist. Der farbliche Lückenschluss des mesialen Raumes durch Verwendung einer hochchromatischen Farbe kann ebenso als erfolgreich bezeichnet werden.

Fazit

Ein modernes Komposit (inspiro von Edelweiss) mit einer einfach zu verstehenden Farbsystematik macht es möglich, hochästhetische Versorgungen zu kreieren. Die Planung mittels Mock-ups und das Verständnis für die Gestaltung eines neuen Emergenzprofils mittels adäquater Technik ermöglicht es, eine Herausforderung wie die Anfertigung eines Diastemaschlusses mit Gelassenheit anzunehmen.

Verwendete Produkte

Produktgalerie überspringen

Zugehörige Produkte

inspiro Master Kit Compule
inspiro Master Kit Compule
Artikelnr.: 7271100
Herstellernr.: 3010

1.621,80 €
zzgl. MwSt.
zzgl. Versand
inspiro Master Kit Syringe
inspiro Master Kit Syringe
Artikelnr.: 7271110
Herstellernr.: 3020

1.199,55 €
zzgl. MwSt.
zzgl. Versand
inspiro Intro Kit Compule
inspiro Intro Kit Compule
Artikelnr.: 7271120
Herstellernr.: 3030

1.236,25 €
zzgl. MwSt.
zzgl. Versand
inspiro Intro Kit Syringe
inspiro Intro Kit Syringe
Artikelnr.: 7271130
Herstellernr.: 3040

801,75 €
zzgl. MwSt.
zzgl. Versand
inspiro Effektfarbton Azur, Spritze (1x1,5 g)
inspiro Effektfarbton Azur, Spritze (1x1,5 g)
Artikelnr.: 7271800
Herstellernr.: 3800

44,10 €
zzgl. MwSt.
zzgl. Versand
inspiro Effektfarbton Ice, Spritze (1x1,5 g)
inspiro Effektfarbton Ice, Spritze (1x1,5 g)
Artikelnr.: 7271801
Herstellernr.: 3810

44,10 €
zzgl. MwSt.
zzgl. Versand
inspiro Effektfarbton Opaque, Spritze (1x1,5 g)
inspiro Effektfarbton Opaque, Spritze (1x1,5 g)
Artikelnr.: 7271802
Herstellernr.: 3820

44,10 €
zzgl. MwSt.
zzgl. Versand
inspiro Effektfarbton Chroma, Spritze (1x1,5 g)
inspiro Effektfarbton Chroma, Spritze (1x1,5 g)
Artikelnr.: 7271803
Herstellernr.: 3830

44,10 €
zzgl. MwSt.
zzgl. Versand
inspiro Effektfarbton Fissure, Spritze (1x1,5 g)
inspiro Effektfarbton Fissure, Spritze (1x1,5 g)
Artikelnr.: 7271804
Herstellernr.: 3840

44,10 €
zzgl. MwSt.
zzgl. Versand

Aktuelle Fortbildungen

4D Dentistry - das Update: Workflow, Software, Hardware, Fun
25.
Feb.
4D Dentistry - das Update: Workflow, Software, Hardware, Fun
Mi., 25.02.26, 20:00 - 22:00 (Europe/Berlin)
online
Dr. Christian Leonhardt
Der lokalisierte Alveolarkammdefekt
15.
Apr.
Der lokalisierte Alveolarkammdefekt
Mi., 15.04.26, 19:00 - 21:00 (Europe/Berlin)
online
Prof. Dr. Arndt Happe
Ästh. Frontzahnrestaurationen -Theorie
17.
Apr.
Ästh. Frontzahnrestaurationen -Theorie
Fr., 17.04.26, 09:00 - 17:00 (Europe/Berlin)
München
PD Dr. Didier Dietschi
Ästh. Frontzahnrestaurationen - Workshop
17.
Apr.
Ästh. Frontzahnrestaurationen - Workshop
Fr., 17.04.26, 09:00 - 18.04.26, 17:00 (Europe/Berlin)
München
PD Dr. Didier Dietschi
Endo Friday Meeting - Modul I
17.
Apr.
Endo Friday Meeting - Modul I
Fr., 17.04.26, 13:00 - 18:00 (Europe/Berlin)
Innsbruck
ZA Eduardo Belandria
Modernes Knochenmanagement
18.
Apr.
Modernes Knochenmanagement
Sa., 18.04.26, 09:00 - 17:00 (Europe/Berlin)
Köln
Dr. Kai Zwanzig
Regenerative Parodontitis-Therapie
18.
Apr.
Regenerative Parodontitis-Therapie
Sa., 18.04.26, 09:00 - 17:00 (Europe/Berlin)
München
PD Dr. Amelie Bäumer-König, M.Sc.
Osseodensification - GBR & sinuslift adé?
22.
Apr.
Osseodensification - GBR & sinuslift adé?
Mi., 22.04.26, 19:00 - 21:00 (Europe/Berlin)
online
PD Dr. Kai Fischer
Moderne Endodontie: Einfach, effizient zu guten Ergebnissen
24.
Apr.
Moderne Endodontie: Einfach, effizient zu guten Ergebnissen
Fr., 24.04.26, 14:00 - 25.04.26, 17:00 (Europe/Berlin)
München
Prof. Dr. Sebastian Bürklein
Parodontitis und ihre Wechselwirkungen
25.
Apr.
Parodontitis und ihre Wechselwirkungen
Sa., 25.04.26, 09:00 - 16:00 (Europe/Berlin)
München
Keine freien Plätze
Sonja Steinert, DH
Yvonne Gebhardt, DH
Ein strukturierter Ablauf für die Endo-Revision
08.
Mai
Ein strukturierter Ablauf für die Endo-Revision
Fr., 08.05.26, 14:00 - 09.05.26, 17:00 (Europe/Berlin)
München
Dr. Gilberto Debelian
Modernes Knochenmanagement
09.
Mai
Modernes Knochenmanagement
Sa., 09.05.26, 09:00 - 17:00 (Europe/Berlin)
Berlin
Dr. Kai Zwanzig
Modjaw - Anwendung Jaw Tracking Systeme
09.
Mai
Modjaw - Anwendung Jaw Tracking Systeme
Sa., 09.05.26, 09:00 - 17:00 (Europe/Berlin)
Köln
Priv.-Doz. Dr. med. dent. Sachin Chhatwani
Periimplantäre Gesundheit professionell gestalten
09.
Mai
Periimplantäre Gesundheit professionell gestalten
Sa., 09.05.26, 09:00 - 17:00 (Europe/Berlin)
München
Carmen Lanoway
Endo Friday Meeting - Modul II
15.
Mai
Endo Friday Meeting - Modul II
Fr., 15.05.26, 13:00 - 18:00 (Europe/Berlin)
Innsbruck
ZA Eduardo Belandria
Hochästhetisches, nichtinvasives Veneering
15.
Mai
Hochästhetisches, nichtinvasives Veneering
Fr., 15.05.26, 14:00 - 16.05.26, 17:00 (Europe/Berlin)
München
Dr. Hanni Lohmar
Nähen Verstehen - das Nahttechnik-Training
20.
Mai
Nähen Verstehen - das Nahttechnik-Training
Mi., 20.05.26, 19:00 - 21:00 (Europe/Berlin)
online
Prof. Dr. Henrik Dommisch
Osseodensification und Augmentation aus einer Hand
29.
Mai
Osseodensification und Augmentation aus einer Hand
Fr., 29.05.26, 09:00 - 17:00 (Europe/Berlin)
Wien
Priv. Doz. Dr. Michael Weinländer
Endo Friday Meeting - Modul III
05.
Juni
Endo Friday Meeting - Modul III
Fr., 05.06.26, 13:00 - 18:00 (Europe/Berlin)
Innsbruck
ZA Eduardo Belandria
Next Level Frontzahnaufbau
10.
Juni
Next Level Frontzahnaufbau
Mi., 10.06.26, 19:00 - 21:00 (Europe/Berlin)
online
Prof. Dr. Diana Wolff
The Perfect Bone
12.
Juni
The Perfect Bone
Fr., 12.06.26, 14:00 - 13.06.26, 17:00 (Europe/Berlin)
München
Dr. Alexander Müller-Busch M.Sc.
Versah Digital: Präzision, Sicherheit, Vorhersagbarkeit
13.
Juni
Versah Digital: Präzision, Sicherheit, Vorhersagbarkeit
Sa., 13.06.26, 09:00 - 17:00 (Europe/Berlin)
Frankfurt
Dr. Benjamin Bahlmann
Das Mikroskop in der Endodontie - ein Update
13.
Juni
Das Mikroskop in der Endodontie - ein Update
Sa., 13.06.26, 09:00 - 17:00 (Europe/Berlin)
Nürnberg
Dr. Jürgen Wollner
Vom kleinen Eckenaufbau bis zur Composite-Krone
19.
Juni
Vom kleinen Eckenaufbau bis zur Composite-Krone
Fr., 19.06.26, 14:00 - 20.06.26, 17:00 (Europe/Berlin)
Hamburg
Dr. Martin von Sontagh
KFO: Von der Zahnbewegung zur integgrativen Therapie
19.
Juni
KFO: Von der Zahnbewegung zur integgrativen Therapie
Fr., 19.06.26, 14:00 - 20.06.26, 17:00 (Europe/Berlin)
München
Dr. Christian Leonhardt
Modernes Knochenmanagement
20.
Juni
Modernes Knochenmanagement
Sa., 20.06.26, 09:00 - 17:00 (Europe/Berlin)
Hamburg
Dr. Kai Zwanzig
Basiskurs zum Arbeiten unter dem Mikroskop -Workshop-
20.
Juni
Basiskurs zum Arbeiten unter dem Mikroskop -Workshop-
Sa., 20.06.26, 09:00 - 17:00 (Europe/Berlin)
Köln
Dr. Günther Stöckl
Großvolumige Knochenaugmentation - sicher, einfach, anders!
26.
Juni
Großvolumige Knochenaugmentation - sicher, einfach, anders!
Fr., 26.06.26, 14:00 - 27.06.26, 17:00 (Europe/Berlin)
München
Dr. Marcel A. Wainwright
Simplify your Augmentation
10.
Juli
Simplify your Augmentation
Fr., 10.07.26, 14:00 - 11.07.26, 17:00 (Europe/Berlin)
München
Prof. Dr. Dr. Florian Stelzle
Osseodensification - Implantat-Präp. optimieren
11.
Juli
Osseodensification - Implantat-Präp. optimieren
Sa., 11.07.26, 09:00 - 17:00 (Europe/Berlin)
München
PD Dr. Kai Fischer
Regenerative Parodontitis-Therapie
12.
Sept.
Regenerative Parodontitis-Therapie
Sa., 12.09.26, 09:00 - 17:00 (Europe/Berlin)
Köln
PD Dr. Amelie Bäumer-König, M.Sc.
Boost Retreatment® -  Rise to Success with High Speed
23.
Sept.
Boost Retreatment® -  Rise to Success with High Speed
Mi., 23.09.26, 19:00 - 21:00 (Europe/Berlin)
online
ZA Klaus Lauterbach
Airway: Zahnmedizin ist mehr als Zähne gerade stellen
25.
Sept.
Airway: Zahnmedizin ist mehr als Zähne gerade stellen
Fr., 25.09.26, 14:00 - 26.09.26, 17:00 (Europe/Berlin)
Köln
Dr. Christian Leonhardt
Vom kleinen Eckenaufbau bis zur Composite-Krone
02.
Okt.
Vom kleinen Eckenaufbau bis zur Composite-Krone
Fr., 02.10.26, 14:00 - 03.10.26, 17:00 (Europe/Berlin)
Wien
Dr. Martin von Sontagh
The Perfect Bone
09.
Okt.
The Perfect Bone
Fr., 09.10.26, 14:00 - 10.10.26, 17:00 (Europe/Berlin)
Köln
Dr. Alexander Müller-Busch M.Sc.
Das Mainzer Augmentationskonzept
09.
Okt.
Das Mainzer Augmentationskonzept
Fr., 09.10.26, 14:00 - 10.10.26, 17:00 (Europe/Berlin)
München
Prof. Dr. Dr. Bilal Al-Nawas
Prof. Dr. Dr. Keyvan Sagheb, M.Sc.
Parodontitis und ihre Wechselwirkungen
10.
Okt.
Parodontitis und ihre Wechselwirkungen
Sa., 10.10.26, 09:00 - 16:00 (Europe/Berlin)
Köln
Sonja Steinert, DH
Yvonne Gebhardt, DH
Osseodensification - Implantat-Präp. optimieren
10.
Okt.
Osseodensification - Implantat-Präp. optimieren
Sa., 10.10.26, 09:00 - 17:00 (Europe/Berlin)
Köln
PD Dr. Kai Fischer
Das Mikroskop in der Endodontie - ein Update
17.
Okt.
Das Mikroskop in der Endodontie - ein Update
Sa., 17.10.26, 09:00 - 17:00 (Europe/Berlin)
Nürnberg
Dr. Jürgen Wollner
Der moderne Weg zur indirekten Restauration
23.
Okt.
Der moderne Weg zur indirekten Restauration
Fr., 23.10.26, 14:00 - 24.10.26, 16:00 (Europe/Berlin)
München
Prof. Dr. Markus Blatz
Basiskurs zum Arbeiten unter dem Mikroskop -Workshop-
24.
Okt.
Basiskurs zum Arbeiten unter dem Mikroskop -Workshop-
Sa., 24.10.26, 09:00 - 17:00 (Europe/Berlin)
München
Dr. Günther Stöckl
Osseodensification - Implantat-Präp. optimieren
31.
Okt.
Osseodensification - Implantat-Präp. optimieren
Sa., 31.10.26, 09:00 - 17:00 (Europe/Berlin)
Hamburg
PD Dr. Kai Fischer
Hochästhetisches, nichtinvasives Veneering
06.
Nov.
Hochästhetisches, nichtinvasives Veneering
Fr., 06.11.26, 14:00 - 07.11.26, 17:00 (Europe/Berlin)
Köln
Dr. Hanni Lohmar
Optimierte Implantologie
07.
Nov.
Optimierte Implantologie
Sa., 07.11.26, 09:00 - 17:00 (Europe/Berlin)
Hannover
Dr. Benjamin Bahlmann
Die Trickkiste der Zahnerhaltung
13.
Nov.
Die Trickkiste der Zahnerhaltung
Fr., 13.11.26, 13:00 - 14.11.26, 17:00 (Europe/Berlin)
München
Prof. Dr. Diana Wolff
Großvolumige Knochenaugmentation - sicher, einfach, anders!
13.
Nov.
Großvolumige Knochenaugmentation - sicher, einfach, anders!
Fr., 13.11.26, 14:00 - 14.11.26, 17:00 (Europe/Berlin)
Köln
Dr. Marcel A. Wainwright
Mission Wurzelfüllung - Präzision bis ins Detail
14.
Nov.
Mission Wurzelfüllung - Präzision bis ins Detail
Sa., 14.11.26, 09:00 - 17:00 (Europe/Berlin)
Hamburg
Dr. Chinh Tran Khanh, M.Sc.
Osseodensification und Augmentation aus einer Hand
20.
Nov.
Osseodensification und Augmentation aus einer Hand
Fr., 20.11.26, 09:00 - 17:00 (Europe/Berlin)
Wien
Priv. Doz. Dr. Michael Weinländer
Kieferorthopädie heute: State of the Art - 4D
26.
Nov.
Kieferorthopädie heute: State of the Art - 4D
Do., 26.11.26, 09:00 - 28.11.26, 17:00 (Europe/Berlin)
München
Dr. Domingo Martin Salvador
Dr. Alberto Canábez Berthet
Ästh. Frontzahnrestaurationen -Theorie
27.
Nov.
Ästh. Frontzahnrestaurationen -Theorie
Fr., 27.11.26, 09:00 - 17:00 (Europe/Berlin)
Frankfurt
PD Dr. Didier Dietschi
Ästh. Frontzahnrestaurationen - Workshop
27.
Nov.
Ästh. Frontzahnrestaurationen - Workshop
Fr., 27.11.26, 09:00 - 28.11.26, 17:00 (Europe/Berlin)
Frankfurt
PD Dr. Didier Dietschi
Adhäsive Restaurationen - an einem Wochenende
27.
Nov.
Adhäsive Restaurationen - an einem Wochenende
Fr., 27.11.26, 14:00 - 28.11.26, 17:00 (Europe/Berlin)
München
Prof. Dr. Roland Frankenberger
4D Dentistry - Workflow für Zahnarzt und Techniker
29.
Nov.
4D Dentistry - Workflow für Zahnarzt und Techniker
So., 29.11.26, 09:00 - 17:00 (Europe/Berlin)
München
Dr. Christian Leonhardt
ZT Michaela Heubeck
Osseodensification-Sofortimplantation
02.
Dez.
Osseodensification-Sofortimplantation
Mi., 02.12.26, 19:00 - 21:00 (Europe/Berlin)
online
Prof. Dr. Dr. Florian Stelzle
Der moderne Weg zur indirekten Restauration
04.
Dez.
Der moderne Weg zur indirekten Restauration
Fr., 04.12.26, 14:00 - 05.12.26, 16:00 (Europe/Berlin)
Frankfurt
Prof. Dr. Markus Blatz
Moderne Endodontologie für den Allgemeinpraktiker
04.
Dez.
Moderne Endodontologie für den Allgemeinpraktiker
Fr., 04.12.26, 14:00 - 05.12.26, 17:00 (Europe/Berlin)
Köln
Dr. Oliver Pontius
Endodontie Kongress 2026 - Workshops + Kongress
10.
Dez.
Endodontie Kongress 2026 - Workshops + Kongress
Do., 10.12.26, 08:45 - 12.12.26, 17:00 (Europe/Berlin)
Köln
Dr. Frank Setzer (wissenschaftlicher Leiter)
Endodontie Kongress 2026 - Kongress (Theorie)
10.
Dez.
Endodontie Kongress 2026 - Kongress (Theorie)
Do., 10.12.26, 08:45 - 12.12.26, 17:00 (Europe/Berlin)
Köln
Dr. Frank Setzer (wissenschaftlicher Leiter)
Endodontie Kongress 2026 - Get Together
10.
Dez.
Endodontie Kongress 2026 - Get Together
Do., 10.12.26, 19:00 - 21:00 (Europe/Berlin)
Köln
Dr. Frank Setzer (wissenschaftlicher Leiter)
3. Curriculum "The Art of Digital Dentistry"
14.
Jan.
3. Curriculum "The Art of Digital Dentistry"
Do., 14.01.27, 13:30 - 26.06.27, 18:00 (Europe/Berlin)
München
Dr. Christian Leonhardt (klinische Leitung)
Prof. Dr. Markus Blatz (wissenschaftliche Leitung)
TEAM | 3. Curriculum "The Art of Digital Dentistry"
14.
Jan.
TEAM | 3. Curriculum "The Art of Digital Dentistry"
Do., 14.01.27, 13:30 - 26.06.27, 18:00 (Europe/Berlin)
München
Dr. Christian Leonhardt (klinische Leitung)
Prof. Dr. Markus Blatz (wissenschaftliche Leitung)