Zum Hauptinhalt springen Zur Suche springen Zur Hauptnavigation springen

Hinweis: Unser Sortiment richtet sich ausschließlich an Zahnarztpraxen, Zahnlabore und Unternehmen der Dentalbranche. Ein Verkauf an Privatpersonen ist ausgeschlossen.

Willkommen bei ADS. American Dental Systems. Gemeinsam verbessern wir die Zahnmedizin.

Direkte Schichtung von Komposit-Verblendungen

Mit Blick auf die Vergangenheit standen die häufigsten Probleme in der Zahnmedizin im Zusammenhang mit der Zahngesundheit und einem schönen, angenehmen Lächeln. Aufgrund der höheren Ansprüche der Patientinnen und Patienten ist der Bedarf an ästhetischer und konservierender Zahnheilkunde im vergangenen Jahrzehnt enorm gestiegen. Heutzutage spielt die Ästhetik eine große Rolle: Ein perfektes Lächeln ist ein Muss und es beeinflusst nachweislich das Selbstbewusstsein sowie das psychosoziale Wohlbefinden des Patienten (1). 

Auf der Grundlage wissenschaftlich- statistischer und klinischer Daten bieten direkt geschichtete Komposit-Verblendungen eine überzeugende Lösung für die ästhetische Rehabilitation im Frontzahnbereich. Eine direkte Schichtung von Komposit-Verblendungen ist nicht nur preisgünstiger als herkömmliche keramische Lösungen, sondern sie kann in nur einer Behandlungssitzung durchgeführt und während des Schichtungsvorgangs modifiziert werden, um die Patientenbedürfnisse zu erfüllen. Darüber hinaus hat die Entwicklung der Standard- und Nanofüller-Komposite zu verbesserten mechanischen Eigenschaften und erhöhter Abriebfestigkeit geführt (2,3). Eine kürzlich durchgeführte Metaanalyse prospektiver Studien zu Kompositrestaurationen im Frontzahnbereich ergab eine mediane Gesamtüberlebensrate von schätzungsweise 84,6 % nach fünf Jahren klinischer Belastung (3). 

Die häufigsten Komplikationen im Zusammenhang mit direkt geschichteten Komposit-Verblendungen sind Frakturen, Karies, Verfärbung und farbliche Beeinträchtigungen sowie Veränderung der Oberflächenrauheit (4,5,6,3,7). Dank der problemlosen Reparatureigenschaften der Kompositmaterialien können diese Komplikationen allerdings leicht gelöst werden. Außerdem ist für die direkte Restauration kein Aufrauen des Schmelzes erforderlich, da das Ätzen mit Phosphorsäure zur Verbesserung der Haftfestigkeit ausreicht. 

Klinisches Verfahren 
Die direkte Schichtung von Komposit- Verblendungen besteht in der direkten Applikation einer oder mehrerer Schichten Komposit-Kunststoff auf die Zahnstruktur. Das Komposit wird dann zur Farbkorrektur und zum Defektausgleich ausgeformt, sodass eine ästhetische Restauration generell in einer einzigen Behandlungssitzung erreicht werden kann (8). Zur Wiederherstellung der korrekten Form und des Emergenzprofils der Frontzähne können verschiedene Instrumente und Hilfsmittel verwendet werden. Bis heute wurden direkt geschichtete Komposit- Verblendungen am häufigsten bei der Restauration der approximalen und zervikalen Ränder eingesetzt. Dabei erfolgte die Restauration in zwei Schritten mit zwei Seitenzahnmatrizen (approximale Ränder) und einem Matrizenband, das für die Restauration des zervikalen Bereichs in eine spezifische Form zurechtgeschnitten wurde. 

Neue Frontzahnmatrize
In dieser Fallstudie haben wir uns für die Verwendung der neuen Frontzahnmatrize Unica anterior von Polydentia (powered by Style Italiano) zur Vereinfachung des Verfahrens entschieden, da sie die direkte Restauration des gesamten Emergenzprofils (zervikale und approximale Ränder) in nur einem Schritt erlaubt. Dazu werden die Zahnoberflächen zunächst präpariert und gereinigt, um anschließend die weitere Restauration mit Komposit zu ermöglichen. Die Matrize wird dann auf dem Zahn positioniert und fixiert. In der Regel können Interdentalkeile aus Kunststoff oder Holz eingesetzt werden, um eine ordnungsgemäße Fixierung der Matrize sicherzustellen. Als Alternative, z. B. im Falle von breiten Klasse-III-Restaurationen, bei denen die Platzierung des Keils und das daraus resultierende Kollabieren der Matrize in die Kavität hinein das Approximalprofil beeinträchtigen würde, kann ein flüssiger Kofferdam (z. B. Polydentia myCustom Resin) eine geeignete Alternative sein, um die Matrize in Position zu halten. Dann erfolgt die Schichtung des Komposits: Zuerst wird das Emergenzprofil restauriert, daran schließt sich die Modellierung der palatinalen Wände an. Daraufhin wird durch die Applikation und die Ausformung einer oder mehrerer Schichten des Komposits eine grobe Zahnmorphologie rekonstruiert. Abschließend wird die endgültige Zahnform mithilfe von Fräsen, Schleifscheiben und Poliergeräten konturiert. 

Fallbericht 
Die Patientin, eine 52-jährige Frau, stellte sich in unserer Praxis vor, da sie mit ihrem Lächeln nicht zufrieden war. Ihre Oberkiefer-Frontzähne wiesen eine nicht zufriedenstellende Anatomie und einen frakturierten Schneidezahn 11 auf. Die klinische Untersuchung ergab ansonsten kariesfreie Zähne und eine zufriedenstellende Mundhygiene. Nach der Anamnese und klinischen Untersuchung entschieden wir uns, die Behandlung mit vier direkten Komposit- Verblendungen durchzuführen, die auf allen mittleren und seitlichen Schneidezähnen mithilfe einer komplett adhäsiven, additiven Technik bei nur minimaler Präparation aufgebracht wurden. Die Fallstudie zeigt das Verfahren der direkten Schichtung von Komposit- Verblendungen unter Verwendung der neuen Matrize Unica anterior von Polydentia.

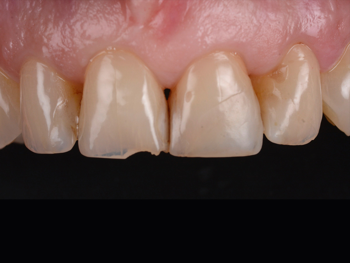
Abbildung 1

Die klinische Ausgangssituation zeigt die nicht zufriedenstellende Anatomie der Oberkiefer-Frontzähne und den frakturierten Schneidezahn 11. Wir entschieden uns für eine umfassende ästhetische Rehabilitation der Frontzähne durch die direkte Schichtung von Komposit-Verblendungen.

Abbildung 2

Das isolierte Gebiet nach Reinigung, Desinfektion und Polieren der Zahnoberflächen. Zur Wiederherstellung des Emergenzprofils der Frontzähne können verschiedene Methoden angewandt werden. Wir entschieden uns für die Verwendung der Frontzahnmatrize Unica anterior von Polydentia, da durch sie das Verfahren vereinfacht und die direkte Restauration des gesamten Emergenzprofils (zervikale und approximale Ränder) in nur einem Schritt möglich ist.

Abbildung 3

Die Unica anterior Matrizen auf den mittleren Schneidezähnen platziert. In diesem Fall sorgten die intrinsische Festigkeit der Stahlmatrizen und die vorhandenen intakten Kontaktpunkte für eine gute Stabilität und Fixierung der Matrizen, ohne dass der Einsatz von Keilen oder Kunststoff notwendig war. Darüber hinaus ermöglicht die konvexe Form der Matrizen eine effektivere Platzierung des Kofferdams im Zervikalbereich, sodass eine bessere Isolierung des Operationsgebiets gewährleistet ist.

Abbildung 4

Die mittleren Schneidezähne mit den präparierten Flächen in der Ansicht von unten.

Abbildung 5

Die klinische Situation nach Aufbau der approximalen Wände am Schneidezahn 21: Zuerst wurde ein Universal-Adhäsivsystem verwendet, um die Haftkräfte im Schmelz zu erhöhen, bevor die Behandlung mit dem Aufbau der mesialen und distalen Approximalwand durch direkte Schichtung von Schmelz-Komposit fortgesetzt wurde. Dasselbe Verfahren wurde anschließend am zweiten mittleren Schneidezahn durchgeführt.

Abbildung 6

Nach dem Aufbau der Approximalwände wurden die palatinalen Wände modelliert, indem eine kleine Menge Schmelz-Komposit aufgebracht wurde, um die Angulation des Zahns nachzuahmen.

Abbildung 7

Schichtung der Komposit-Verblendungen: Zuerst wurde eine Schicht Dentin aufgetragen.

Abbildung 8

Zur Nachahmung der Zahnfarbe wurde eine zweite Schmelz-Schicht aufgebracht und mit Spatel und Bürsten in die endgültige Form modelliert. Das Bild zeigt die Komposit- Verblendungen auf den mittleren Schneidezähnen vor dem Konturieren bis zum ersten Finieren, bevor die nächsten Zähne rekonstruiert wurden.

Abbildung 9

Nach dem Konturieren der mittleren Schneidezähne nach dem zuvor beschriebenen Verfahren wurde die Behandlung mit der direkten Schichtung der Komposit-Verblendungen auf den seitlichen Schneidezähnen fortgesetzt.

Abbildung 10

Aufbau des Emergenzprofils auf Schneidezahn 22. Nach Lichthärtung des Materials wird die Matrize separiert und zur besseren Sicht abgezogen.

Abbildung 11

Das Bild zeigt die Komposit-Verblendungen auf den beiden seitlichen Schneidezähnen 12 und 22 vor dem Konturieren, Finieren und Polieren. Die Konturierung und das Finieren wurden mit einem Diamantfräser bei niedriger Drehzahl durchgeführt. Die niedrige Drehzahl ermöglicht eine besser zu kontrollierende Bewegung und verbessert die Oberflächenglätte, selbst bei grober Korngröße. Die Vorpolitur wurde anschließend mit einem braunen Spiralrad (3M, Deutschland) und Polierpaste (Premier, Diamond Twist SCL) durchgeführt. Für die Hochglanz-Politur beim Finieren kann ein Schwabbelrad verwendet werden.

Abbildung 12

Das Behandlungsergebnis unmittelbar nach Entfernung des Kofferdams.

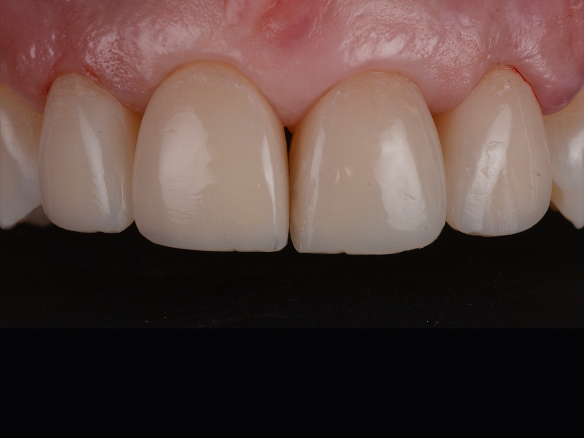
Abbildung 13

Die klinische Situation nach abschließender Politur und Texturierung der Restauration. Dieses Foto wurde bei der Kontrolluntersuchung 30 Tage nach der Restauration aufgenommen.

Abbildung 14

Endgültiges Ergebnis der Restaurationsbehandlung.

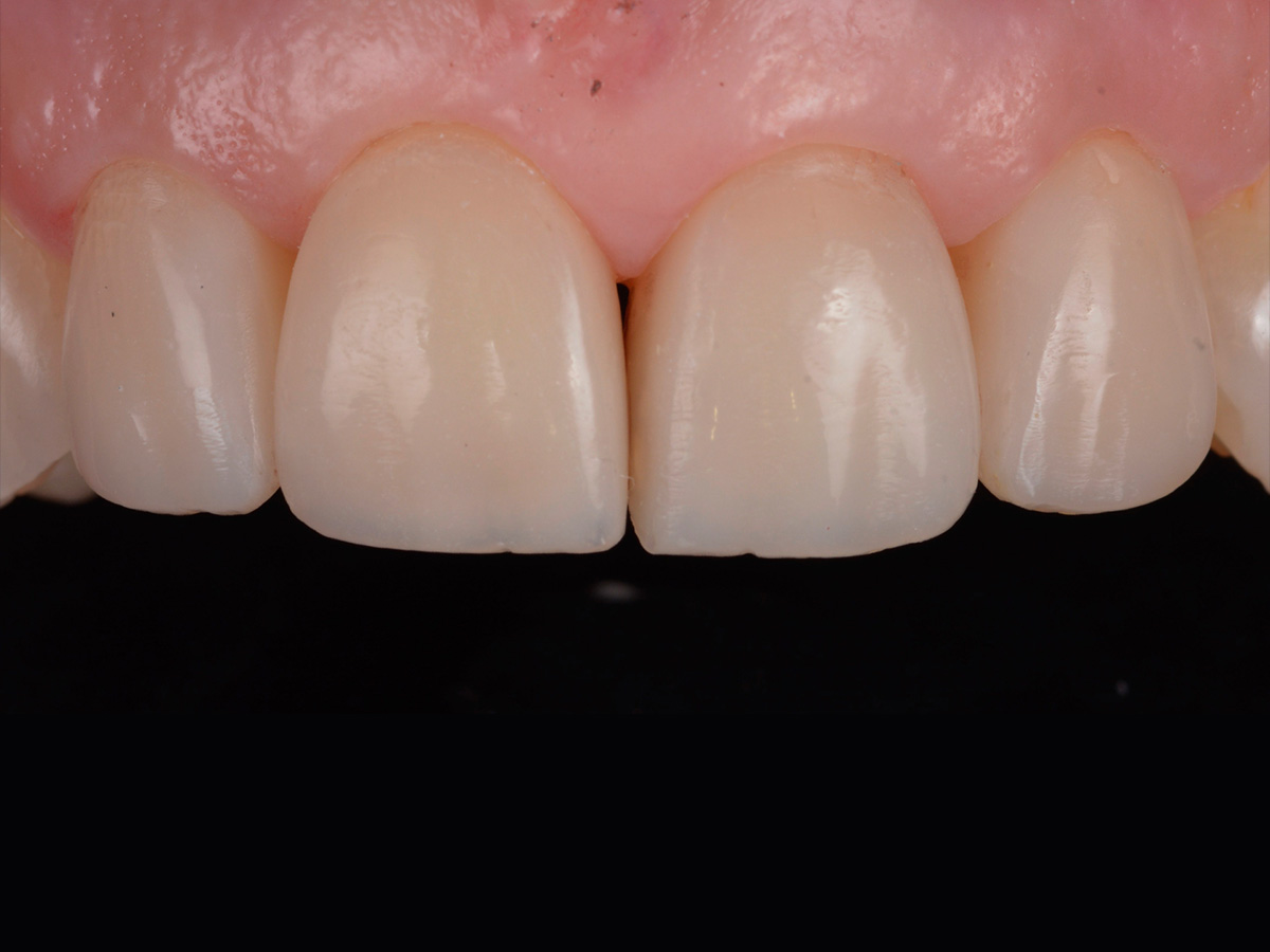
Abbildung 15

Klinische Situation 3 Monate nach der Restauration.

Schlussfolgerung

Aufgrund der Weiterentwicklung der Komposit-Materialien steht heute mit den direkt geschichteten Komposit- Verblendungen eine überzeugende, schnelle und kostengünstigere Lösung für die ästhetische Rehabilitation im Frontzahnbereich zur Verfügung. Dennoch sind ästhetisch und funktional erfolgreiche Behandlungsergebnisse stark vom Wissen des Zahnarztes über die adhäsiven Prozesse sowie dessen Formgebungsfähigkeiten abhängig. Verschiedene Instrumente und Verfahren unterstützen den Zahnarzt dabei, das Emergenzprofil korrekt zu restaurieren. Darunter hebt sich die neue Matrize Unica anterior aufgrund ihrer Einfachheit und Vielseitigkeit heraus, da sie eine schnelle und einfache Restauration der Profile im Zervikal- und Approximalbereich zur selben Zeit erlaubt. Dadurch wird die Behandlungszeit deutlich reduziert, und ästhetische Restaurationen sind für jeden Zahnarzt problemlos realisierbar.

Literaturverzeichnis 

[1] DONG, J. K.; JIN, T. H.; CHO, H. W.; OH, S. C. The esthetics of the smile: a review of some recent studies. Int J Prosthodont, Chicago, v. 12, n. 1, p. 9-19, 1999. 
[2] JANUS, J.; FAUXPOINT, G.; ARNTZ, Y.; PELLETIER, H.; ETIENNE, O. Surface roughness and morphology of three nanocomposites after two different polishing treatments by a multitechnique approach. Dent Mater, Copenhagen, v. 26, n. 5, p. 416-425, 2010. https://doi.org/10.1016/j.dental.2009.09.014 
[3] FRESE, C.; SCHILLER, P.; STAEHLE, H. J.; WOLFF, D. Recontouring teeth and closing diastemas with direct composite buildups: a 5-year follow-up. J Dent, Bristol, v. 41, n. 11, p. 979-985, 2013. https://doi.org/10.1016/j.jdent.2013.08.009 
[4] SILVA, M. A.; VITTI, R. P.; SINHORETI, M. A.; CONSANI, R. L.; JUNIOR, J. G.; TONHOLO, J. Evaluation of the Surface Roughness and Microleakage of Dental Composites Exposed to Different Beverages. J Contemp Dent Pract, New Delhi, v. 16, n. 10, p. 800-804, 2015 
[5] GRESNIGT, M. M.; KALK, W.; OZCAN, M. Randomized controlled split-mouth clinical trial of direct laminate veneers with two micro-hybrid resin composites. J Dent, Bristol, v. 40, n. 9, p. 766-775, 2012. https://doi.org/10.1016/j.jdent.2012.05.01 
[6] BALDISSERA, R. A.; CORREA, M. B.; SCHUCH, H. S.; COLLARES, K.; NASCIMENTO, G. G.; JARDIM, P. S.; MORAES, R. R.; OPDAM, N. J.; DEMARCO, F. F. Are there universal restorative composites for anterior and posterior teeth? J Dent, Bristol, v. 41, n. 11, p. 1027-1035, 2013. https://doi.org/10.1016/j.jdent.2013.08.0 
[7] HEINTZE, S. D.; ROUSSON, V.; HICKEL, R. Clinical effectiveness of direct anterior restorations, a meta-nalysis. Dent Mater, Copenhagen, v. 31, n. 5, p. 481-495, 2015. https://doi.org/10.1016/j.dental.2015.01.015 
[8] NEWTON FAHL, the Direct/Indirect Composite Resin Veneers: a case report. The international aesthetic chronicle, 1996.

Verwendete Produkte

Produktgalerie überspringen

Zugehörige Produkte

Unica anterior Introkit
Unica anterior Introkit
Artikelnr.: 5960022
Herstellernr.: 6900

382,25 €
zzgl. MwSt.
zzgl. Versand
Unica anterior Matrizen Nachfüllpackung (12)
Unica anterior Matrizen Nachfüllpackung (12)
Artikelnr.: 5960040
Herstellernr.: 6912

51,50 €
zzgl. MwSt.
zzgl. Versand
Unica anterior Matrizen Nachfüllpackung (50)
Unica anterior Matrizen Nachfüllpackung (50)
Artikelnr.: 5960041
Herstellernr.: 6950

151,05 €
zzgl. MwSt.
zzgl. Versand
Unica minideep anterior (50)
Unica minideep anterior (50)
Artikelnr.: 5960042
Herstellernr.: 6951

151,05 €
zzgl. MwSt.
zzgl. Versand
Unica minideep anterior (12)
Unica minideep anterior (12)
Artikelnr.: 5960043
Herstellernr.: 6911

51,50 €
zzgl. MwSt.
zzgl. Versand

Aktuelle Fortbildungen

4D Dentistry - das Update: Workflow, Software, Hardware, Fun
25.
Feb.
4D Dentistry - das Update: Workflow, Software, Hardware, Fun
Mi., 25.02.26, 20:00 - 22:00 (Europe/Berlin)
online
Dr. Christian Leonhardt
Der lokalisierte Alveolarkammdefekt
15.
Apr.
Der lokalisierte Alveolarkammdefekt
Mi., 15.04.26, 19:00 - 21:00 (Europe/Berlin)
online
Prof. Dr. Arndt Happe
Ästh. Frontzahnrestaurationen -Theorie
17.
Apr.
Ästh. Frontzahnrestaurationen -Theorie
Fr., 17.04.26, 09:00 - 17:00 (Europe/Berlin)
München
PD Dr. Didier Dietschi
Ästh. Frontzahnrestaurationen - Workshop
17.
Apr.
Ästh. Frontzahnrestaurationen - Workshop
Fr., 17.04.26, 09:00 - 18.04.26, 17:00 (Europe/Berlin)
München
PD Dr. Didier Dietschi
Endo Friday Meeting - Modul I
17.
Apr.
Endo Friday Meeting - Modul I
Fr., 17.04.26, 13:00 - 18:00 (Europe/Berlin)
Innsbruck
ZA Eduardo Belandria
Modernes Knochenmanagement
18.
Apr.
Modernes Knochenmanagement
Sa., 18.04.26, 09:00 - 17:00 (Europe/Berlin)
Köln
Dr. Kai Zwanzig
Regenerative Parodontitis-Therapie
18.
Apr.
Regenerative Parodontitis-Therapie
Sa., 18.04.26, 09:00 - 17:00 (Europe/Berlin)
München
PD Dr. Amelie Bäumer-König, M.Sc.
Osseodensification - GBR & sinuslift adé?
22.
Apr.
Osseodensification - GBR & sinuslift adé?
Mi., 22.04.26, 19:00 - 21:00 (Europe/Berlin)
online
PD Dr. Kai Fischer
Moderne Endodontie: Einfach, effizient zu guten Ergebnissen
24.
Apr.
Moderne Endodontie: Einfach, effizient zu guten Ergebnissen
Fr., 24.04.26, 14:00 - 25.04.26, 17:00 (Europe/Berlin)
München
Prof. Dr. Sebastian Bürklein
Parodontitis und ihre Wechselwirkungen
25.
Apr.
Parodontitis und ihre Wechselwirkungen
Sa., 25.04.26, 09:00 - 16:00 (Europe/Berlin)
München
Keine freien Plätze
Sonja Steinert, DH
Yvonne Gebhardt, DH
Ein strukturierter Ablauf für die Endo-Revision
08.
Mai
Ein strukturierter Ablauf für die Endo-Revision
Fr., 08.05.26, 14:00 - 09.05.26, 17:00 (Europe/Berlin)
München
Dr. Gilberto Debelian
Modernes Knochenmanagement
09.
Mai
Modernes Knochenmanagement
Sa., 09.05.26, 09:00 - 17:00 (Europe/Berlin)
Berlin
Dr. Kai Zwanzig
Modjaw - Anwendung Jaw Tracking Systeme
09.
Mai
Modjaw - Anwendung Jaw Tracking Systeme
Sa., 09.05.26, 09:00 - 17:00 (Europe/Berlin)
Köln
Priv.-Doz. Dr. med. dent. Sachin Chhatwani
Periimplantäre Gesundheit professionell gestalten
09.
Mai
Periimplantäre Gesundheit professionell gestalten
Sa., 09.05.26, 09:00 - 17:00 (Europe/Berlin)
München
Carmen Lanoway
Endo Friday Meeting - Modul II
15.
Mai
Endo Friday Meeting - Modul II
Fr., 15.05.26, 13:00 - 18:00 (Europe/Berlin)
Innsbruck
ZA Eduardo Belandria
Hochästhetisches, nichtinvasives Veneering
15.
Mai
Hochästhetisches, nichtinvasives Veneering
Fr., 15.05.26, 14:00 - 16.05.26, 17:00 (Europe/Berlin)
München
Dr. Hanni Lohmar
Nähen Verstehen - das Nahttechnik-Training
20.
Mai
Nähen Verstehen - das Nahttechnik-Training
Mi., 20.05.26, 19:00 - 21:00 (Europe/Berlin)
online
Prof. Dr. Henrik Dommisch
Osseodensification und Augmentation aus einer Hand
29.
Mai
Osseodensification und Augmentation aus einer Hand
Fr., 29.05.26, 09:00 - 17:00 (Europe/Berlin)
Wien
Priv. Doz. Dr. Michael Weinländer
Endo Friday Meeting - Modul III
05.
Juni
Endo Friday Meeting - Modul III
Fr., 05.06.26, 13:00 - 18:00 (Europe/Berlin)
Innsbruck
ZA Eduardo Belandria
Next Level Frontzahnaufbau
10.
Juni
Next Level Frontzahnaufbau
Mi., 10.06.26, 19:00 - 21:00 (Europe/Berlin)
online
Prof. Dr. Diana Wolff
The Perfect Bone
12.
Juni
The Perfect Bone
Fr., 12.06.26, 14:00 - 13.06.26, 17:00 (Europe/Berlin)
München
Dr. Alexander Müller-Busch M.Sc.
Versah Digital: Präzision, Sicherheit, Vorhersagbarkeit
13.
Juni
Versah Digital: Präzision, Sicherheit, Vorhersagbarkeit
Sa., 13.06.26, 09:00 - 17:00 (Europe/Berlin)
Frankfurt
Dr. Benjamin Bahlmann
Das Mikroskop in der Endodontie - ein Update
13.
Juni
Das Mikroskop in der Endodontie - ein Update
Sa., 13.06.26, 09:00 - 17:00 (Europe/Berlin)
Nürnberg
Dr. Jürgen Wollner
Vom kleinen Eckenaufbau bis zur Composite-Krone
19.
Juni
Vom kleinen Eckenaufbau bis zur Composite-Krone
Fr., 19.06.26, 14:00 - 20.06.26, 17:00 (Europe/Berlin)
Hamburg
Dr. Martin von Sontagh
KFO: Von der Zahnbewegung zur integgrativen Therapie
19.
Juni
KFO: Von der Zahnbewegung zur integgrativen Therapie
Fr., 19.06.26, 14:00 - 20.06.26, 17:00 (Europe/Berlin)
München
Dr. Christian Leonhardt
Modernes Knochenmanagement
20.
Juni
Modernes Knochenmanagement
Sa., 20.06.26, 09:00 - 17:00 (Europe/Berlin)
Hamburg
Dr. Kai Zwanzig
Basiskurs zum Arbeiten unter dem Mikroskop -Workshop-
20.
Juni
Basiskurs zum Arbeiten unter dem Mikroskop -Workshop-
Sa., 20.06.26, 09:00 - 17:00 (Europe/Berlin)
Köln
Dr. Günther Stöckl
Großvolumige Knochenaugmentation - sicher, einfach, anders!
26.
Juni
Großvolumige Knochenaugmentation - sicher, einfach, anders!
Fr., 26.06.26, 14:00 - 27.06.26, 17:00 (Europe/Berlin)
München
Dr. Marcel A. Wainwright
Simplify your Augmentation
10.
Juli
Simplify your Augmentation
Fr., 10.07.26, 14:00 - 11.07.26, 17:00 (Europe/Berlin)
München
Prof. Dr. Dr. Florian Stelzle
Osseodensification - Implantat-Präp. optimieren
11.
Juli
Osseodensification - Implantat-Präp. optimieren
Sa., 11.07.26, 09:00 - 17:00 (Europe/Berlin)
München
PD Dr. Kai Fischer
Regenerative Parodontitis-Therapie
12.
Sept.
Regenerative Parodontitis-Therapie
Sa., 12.09.26, 09:00 - 17:00 (Europe/Berlin)
Köln
PD Dr. Amelie Bäumer-König, M.Sc.
Boost Retreatment® -  Rise to Success with High Speed
23.
Sept.
Boost Retreatment® -  Rise to Success with High Speed
Mi., 23.09.26, 19:00 - 21:00 (Europe/Berlin)
online
ZA Klaus Lauterbach
Airway: Zahnmedizin ist mehr als Zähne gerade stellen
25.
Sept.
Airway: Zahnmedizin ist mehr als Zähne gerade stellen
Fr., 25.09.26, 14:00 - 26.09.26, 17:00 (Europe/Berlin)
Köln
Dr. Christian Leonhardt
Vom kleinen Eckenaufbau bis zur Composite-Krone
02.
Okt.
Vom kleinen Eckenaufbau bis zur Composite-Krone
Fr., 02.10.26, 14:00 - 03.10.26, 17:00 (Europe/Berlin)
Wien
Dr. Martin von Sontagh
The Perfect Bone
09.
Okt.
The Perfect Bone
Fr., 09.10.26, 14:00 - 10.10.26, 17:00 (Europe/Berlin)
Köln
Dr. Alexander Müller-Busch M.Sc.
Das Mainzer Augmentationskonzept
09.
Okt.
Das Mainzer Augmentationskonzept
Fr., 09.10.26, 14:00 - 10.10.26, 17:00 (Europe/Berlin)
München
Prof. Dr. Dr. Bilal Al-Nawas
Prof. Dr. Dr. Keyvan Sagheb, M.Sc.
Parodontitis und ihre Wechselwirkungen
10.
Okt.
Parodontitis und ihre Wechselwirkungen
Sa., 10.10.26, 09:00 - 16:00 (Europe/Berlin)
Köln
Sonja Steinert, DH
Yvonne Gebhardt, DH
Osseodensification - Implantat-Präp. optimieren
10.
Okt.
Osseodensification - Implantat-Präp. optimieren
Sa., 10.10.26, 09:00 - 17:00 (Europe/Berlin)
Köln
PD Dr. Kai Fischer
Das Mikroskop in der Endodontie - ein Update
17.
Okt.
Das Mikroskop in der Endodontie - ein Update
Sa., 17.10.26, 09:00 - 17:00 (Europe/Berlin)
Nürnberg
Dr. Jürgen Wollner
Der moderne Weg zur indirekten Restauration
23.
Okt.
Der moderne Weg zur indirekten Restauration
Fr., 23.10.26, 14:00 - 24.10.26, 16:00 (Europe/Berlin)
München
Prof. Dr. Markus Blatz
Basiskurs zum Arbeiten unter dem Mikroskop -Workshop-
24.
Okt.
Basiskurs zum Arbeiten unter dem Mikroskop -Workshop-
Sa., 24.10.26, 09:00 - 17:00 (Europe/Berlin)
München
Dr. Günther Stöckl
Osseodensification - Implantat-Präp. optimieren
31.
Okt.
Osseodensification - Implantat-Präp. optimieren
Sa., 31.10.26, 09:00 - 17:00 (Europe/Berlin)
Hamburg
PD Dr. Kai Fischer
Hochästhetisches, nichtinvasives Veneering
06.
Nov.
Hochästhetisches, nichtinvasives Veneering
Fr., 06.11.26, 14:00 - 07.11.26, 17:00 (Europe/Berlin)
Köln
Dr. Hanni Lohmar
Optimierte Implantologie
07.
Nov.
Optimierte Implantologie
Sa., 07.11.26, 09:00 - 17:00 (Europe/Berlin)
Hannover
Dr. Benjamin Bahlmann
Die Trickkiste der Zahnerhaltung
13.
Nov.
Die Trickkiste der Zahnerhaltung
Fr., 13.11.26, 13:00 - 14.11.26, 17:00 (Europe/Berlin)
München
Prof. Dr. Diana Wolff
Großvolumige Knochenaugmentation - sicher, einfach, anders!
13.
Nov.
Großvolumige Knochenaugmentation - sicher, einfach, anders!
Fr., 13.11.26, 14:00 - 14.11.26, 17:00 (Europe/Berlin)
Köln
Dr. Marcel A. Wainwright
Mission Wurzelfüllung - Präzision bis ins Detail
14.
Nov.
Mission Wurzelfüllung - Präzision bis ins Detail
Sa., 14.11.26, 09:00 - 17:00 (Europe/Berlin)
Hamburg
Dr. Chinh Tran Khanh, M.Sc.
Osseodensification und Augmentation aus einer Hand
20.
Nov.
Osseodensification und Augmentation aus einer Hand
Fr., 20.11.26, 09:00 - 17:00 (Europe/Berlin)
Wien
Priv. Doz. Dr. Michael Weinländer
Kieferorthopädie heute: State of the Art - 4D
26.
Nov.
Kieferorthopädie heute: State of the Art - 4D
Do., 26.11.26, 09:00 - 28.11.26, 17:00 (Europe/Berlin)
München
Dr. Domingo Martin Salvador
Dr. Alberto Canábez Berthet
Ästh. Frontzahnrestaurationen -Theorie
27.
Nov.
Ästh. Frontzahnrestaurationen -Theorie
Fr., 27.11.26, 09:00 - 17:00 (Europe/Berlin)
Frankfurt
PD Dr. Didier Dietschi
Ästh. Frontzahnrestaurationen - Workshop
27.
Nov.
Ästh. Frontzahnrestaurationen - Workshop
Fr., 27.11.26, 09:00 - 28.11.26, 17:00 (Europe/Berlin)
Frankfurt
PD Dr. Didier Dietschi
Adhäsive Restaurationen - an einem Wochenende
27.
Nov.
Adhäsive Restaurationen - an einem Wochenende
Fr., 27.11.26, 14:00 - 28.11.26, 17:00 (Europe/Berlin)
München
Prof. Dr. Roland Frankenberger
4D Dentistry - Workflow für Zahnarzt und Techniker
29.
Nov.
4D Dentistry - Workflow für Zahnarzt und Techniker
So., 29.11.26, 09:00 - 17:00 (Europe/Berlin)
München
Dr. Christian Leonhardt
ZT Michaela Heubeck
Osseodensification-Sofortimplantation
02.
Dez.
Osseodensification-Sofortimplantation
Mi., 02.12.26, 19:00 - 21:00 (Europe/Berlin)
online
Prof. Dr. Dr. Florian Stelzle
Der moderne Weg zur indirekten Restauration
04.
Dez.
Der moderne Weg zur indirekten Restauration
Fr., 04.12.26, 14:00 - 05.12.26, 16:00 (Europe/Berlin)
Frankfurt
Prof. Dr. Markus Blatz
Moderne Endodontologie für den Allgemeinpraktiker
04.
Dez.
Moderne Endodontologie für den Allgemeinpraktiker
Fr., 04.12.26, 14:00 - 05.12.26, 17:00 (Europe/Berlin)
Köln
Dr. Oliver Pontius
Endodontie Kongress 2026 - Workshops + Kongress
10.
Dez.
Endodontie Kongress 2026 - Workshops + Kongress
Do., 10.12.26, 08:45 - 12.12.26, 17:00 (Europe/Berlin)
Köln
Dr. Frank Setzer (wissenschaftlicher Leiter)
Endodontie Kongress 2026 - Kongress (Theorie)
10.
Dez.
Endodontie Kongress 2026 - Kongress (Theorie)
Do., 10.12.26, 08:45 - 12.12.26, 17:00 (Europe/Berlin)
Köln
Dr. Frank Setzer (wissenschaftlicher Leiter)
Endodontie Kongress 2026 - Get Together
10.
Dez.
Endodontie Kongress 2026 - Get Together
Do., 10.12.26, 19:00 - 21:00 (Europe/Berlin)
Köln
Dr. Frank Setzer (wissenschaftlicher Leiter)
3. Curriculum "The Art of Digital Dentistry"
14.
Jan.
3. Curriculum "The Art of Digital Dentistry"
Do., 14.01.27, 13:30 - 26.06.27, 18:00 (Europe/Berlin)
München
Dr. Christian Leonhardt (klinische Leitung)
Prof. Dr. Markus Blatz (wissenschaftliche Leitung)
TEAM | 3. Curriculum "The Art of Digital Dentistry"
14.
Jan.
TEAM | 3. Curriculum "The Art of Digital Dentistry"
Do., 14.01.27, 13:30 - 26.06.27, 18:00 (Europe/Berlin)
München
Dr. Christian Leonhardt (klinische Leitung)
Prof. Dr. Markus Blatz (wissenschaftliche Leitung)