Zum Hauptinhalt springen Zur Suche springen Zur Hauptnavigation springen

Hinweis: Unser Sortiment richtet sich ausschließlich an Zahnarztpraxen, Zahnlabore und Unternehmen der Dentalbranche. Ein Verkauf an Privatpersonen ist ausgeschlossen.

Willkommen bei ADS. American Dental Systems. Gemeinsam verbessern wir die Zahnmedizin.

Aufbau eines Milcheckzahns mit Komposit

Eine 43-jähirge Patientin mit Nichtanlage der Zähne 13 und 23 stellte sich mit dem Wunsch einer ästhetischen Optimierung ihrer noch vorhandenen Milcheckzähne 53 und 63 in der Praxis vor. Die Anamnese ergab einen mesialen Lückenschluss, einen guten parodontalen Zustand und die vorhandenen Röntgenbilder zeigten keinen pathologischen Befund. Da eine Extraktion und Implantation für die Patientin aus Kostengründen nicht in Frage kam, entschied man sich für einen Aufbau mit Komposit.
Porträt Dr. Franziska Mamak
Dr. Franziska Mamak

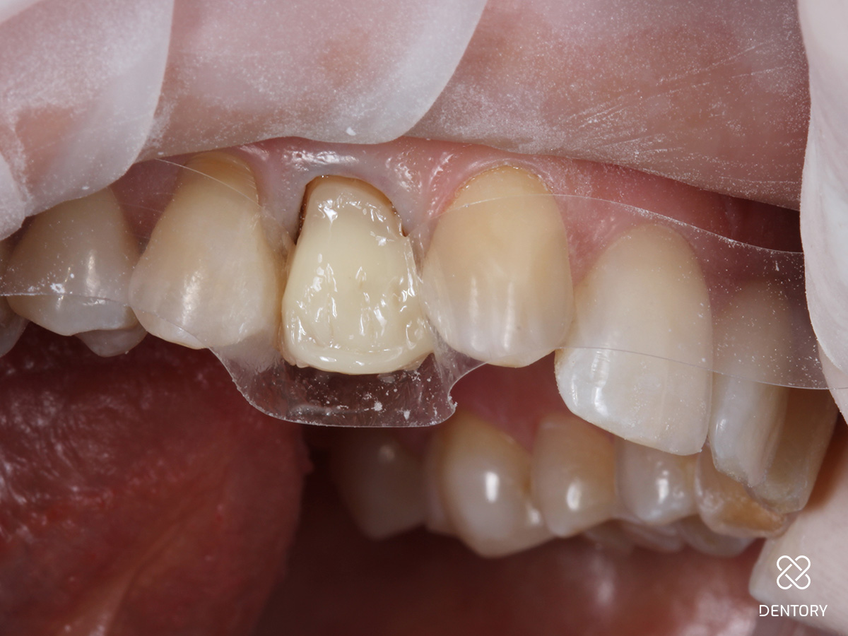
Abbildung 1

Prä-OP: Verfärbte Aufbauten der Zähne 13 und 23

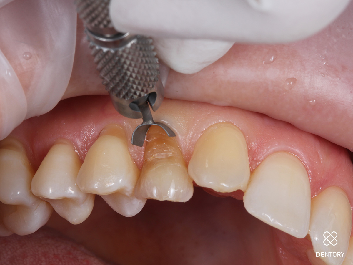
Abbildung 2

Entfernung von Belägen und Biofilm mithilfe eines Air-Abrasion-Gerätes.

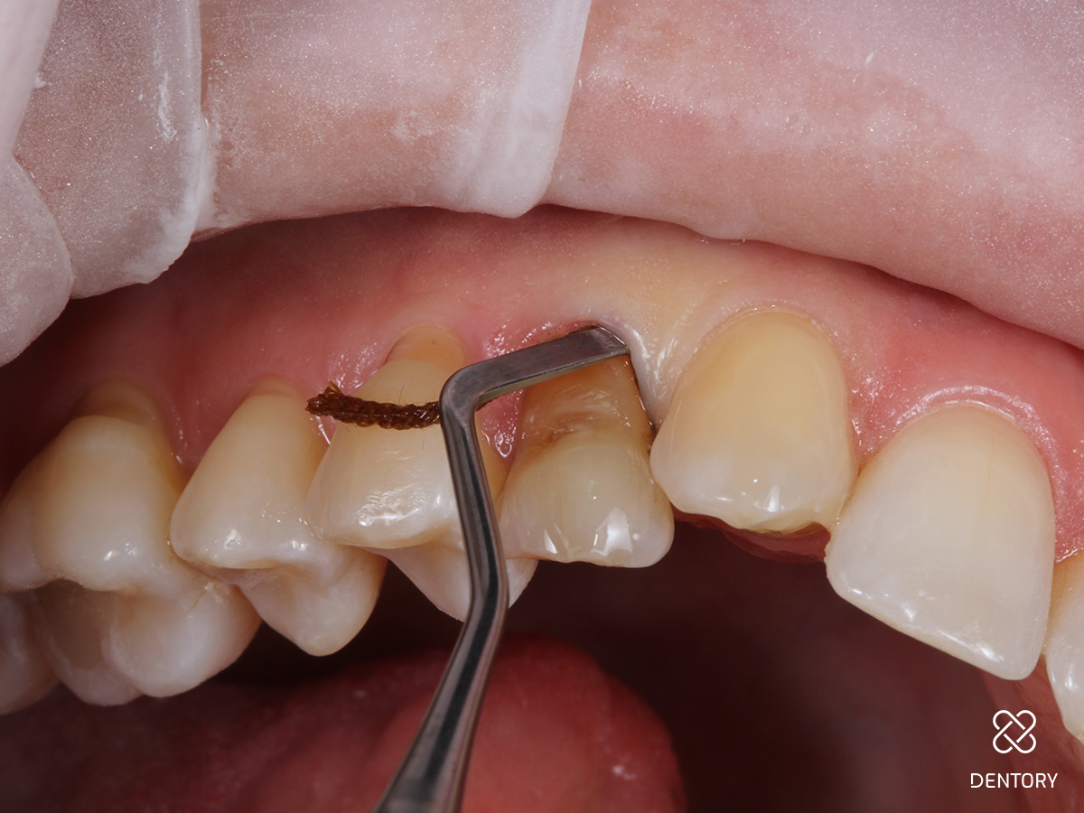
Abbildung 3

Da es im vorliegenden Fall zu einer Blutung kam, wurde nachträglich ein Faden in den Sulkus gelegt. Wenn eine Blutung nicht auszuschließen ist oder die Grenze der Restauration klar supragingival liegt, sollte ein Sulkusfaden gelegt werden.

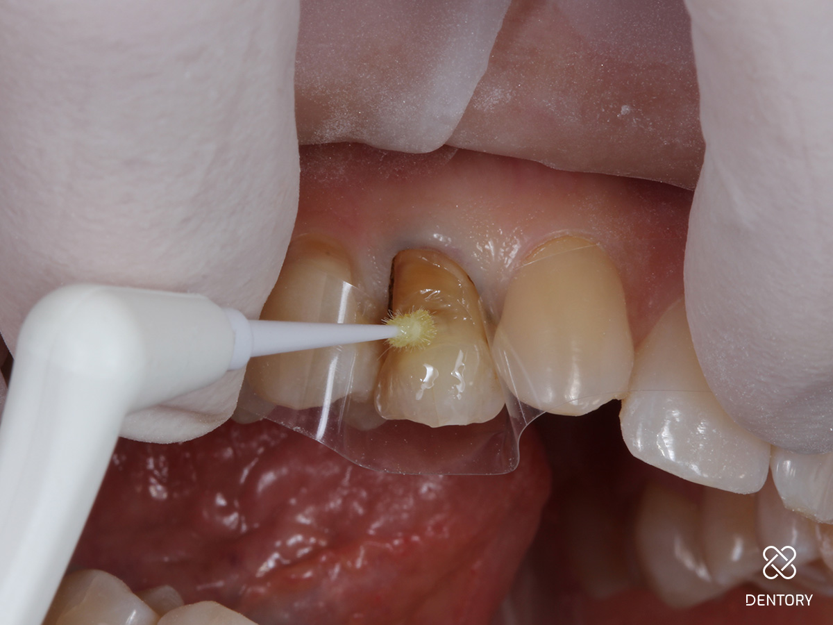
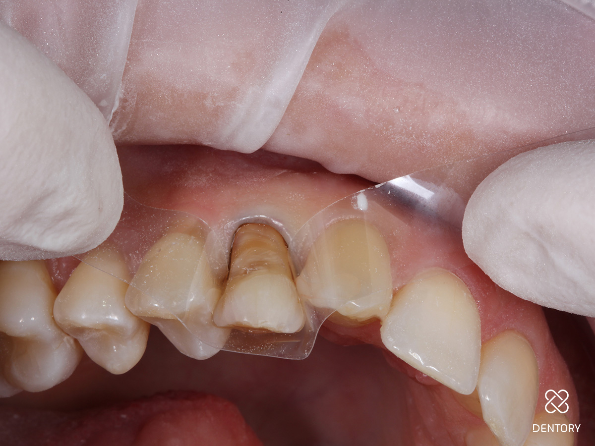
Abbildung 4

Die Nachbarzähne werden mit einer durchsichtigen Matritze (oder einem Teflonband) geschützt.

Abbildung 5

Schmelz-Dentin-Ätzung für 30 Sekunden.

Abbildung 6

Ätzgel gründlich abspülen.

Abbildung 7

Bonding: Primer für 10-15 Sekunden einmassieren und einwirken lassen.

Abbildung 8

Präparationsoberfläche verblasen.

Abbildung 9

Bonding für 10-15 Sekunden einmassieren und einwirken lassen.

Abbildung 10

Präparationsoberfläche verblasen.

Abbildung 11

Lichthärten des Bondings für 10 Sekunden.

Abbildung 12

Zunächst den zervikalen Rand des Komposit-Veneers mit einem Flowable gestalten. Da der Milchzahndefekt sehr dunkel erscheint, ist ein stark opaques Material von Vorteil (hier Farbe Bi3 Flow).

Abbildung 13

Komposit verteilen: Flow mit einer Sonde an den Rand anlagern und härten.

Abbildung 14

Komposit auftragen: Zur Vermeidung von Blasenbildung wird ein großes Stück Komposit aus der Spritze gereicht (besser zu groß als zu klein, um ein Antragen zu vermeiden). Komposit mit Dentinfarbe Bi3 über den gesamten Defekt schichten. Hierfür erweist sich ein Pinsel als hilfreich, um die Masse mit dem Zahn und dem vorhanden Randwall zu verbinden.

Abbildung 15

Komposit verteilen: Den Hauptteil des Komposit zervikal, mesial, distal sowie an der Inzisalkante verteilen (an allen Bereichen, die nicht transluzent erscheinen sollen). Zum Formen der Dentinlamellen wird das wenigste Material im oberen Drittel unterhalb der Inzisalkante geschichtet. Die Inzisalkante wird wie ein kleiner Wall auf gebaut.

Abbildung 16

Nach der Lichthärtung können zur Verbesserung der Natürlichkeit entsprechend der Nachbarzähne Effektfarben appliziert werden. Auf die Inzisalkante wird die Farbe "Ice" appliziert, darunter in die geschichten Dentinlamellen eine minimale Schicht "Azur". Diese Effektfarbe bringt oft eine gewisse Natürlichkeit in die Restauration und lässt sie transluzent erscheinen. Vor dem nächsten Schritt lichthärten.

Abbildung 17

Schmelzmasse überschichten (hier mit Farbe "Skin Neutral"). "Skin Natural" wird bei älteren Patienten ohne gebleichte Zähne verwendet und ist die gängigste Farbe. Die Masse mit einem Spatel sowie einem Pinsel applizieren und mit der Dentinmasse verbinden.

Abbildung 18

Nach sorgfältiger Lichthärtung (mind. 60 Sek. bukkal; 40 Sek. lingual) werden zunächst die Randbereiche ausgearbeitet. Zervikal eignet sich die EVA-Feile. Approximal eignen sich Metallpolierstreifen, um den Übergang zwischen Restauration und Zahn zu glätten und den Line-Angle zu formen.

Abbildung 19

Mit Keramik-Laborpolierer die Oberfläche in Form bringen. 

Optimal: nach Schichtung ist nur noch die reine Politur nötig.

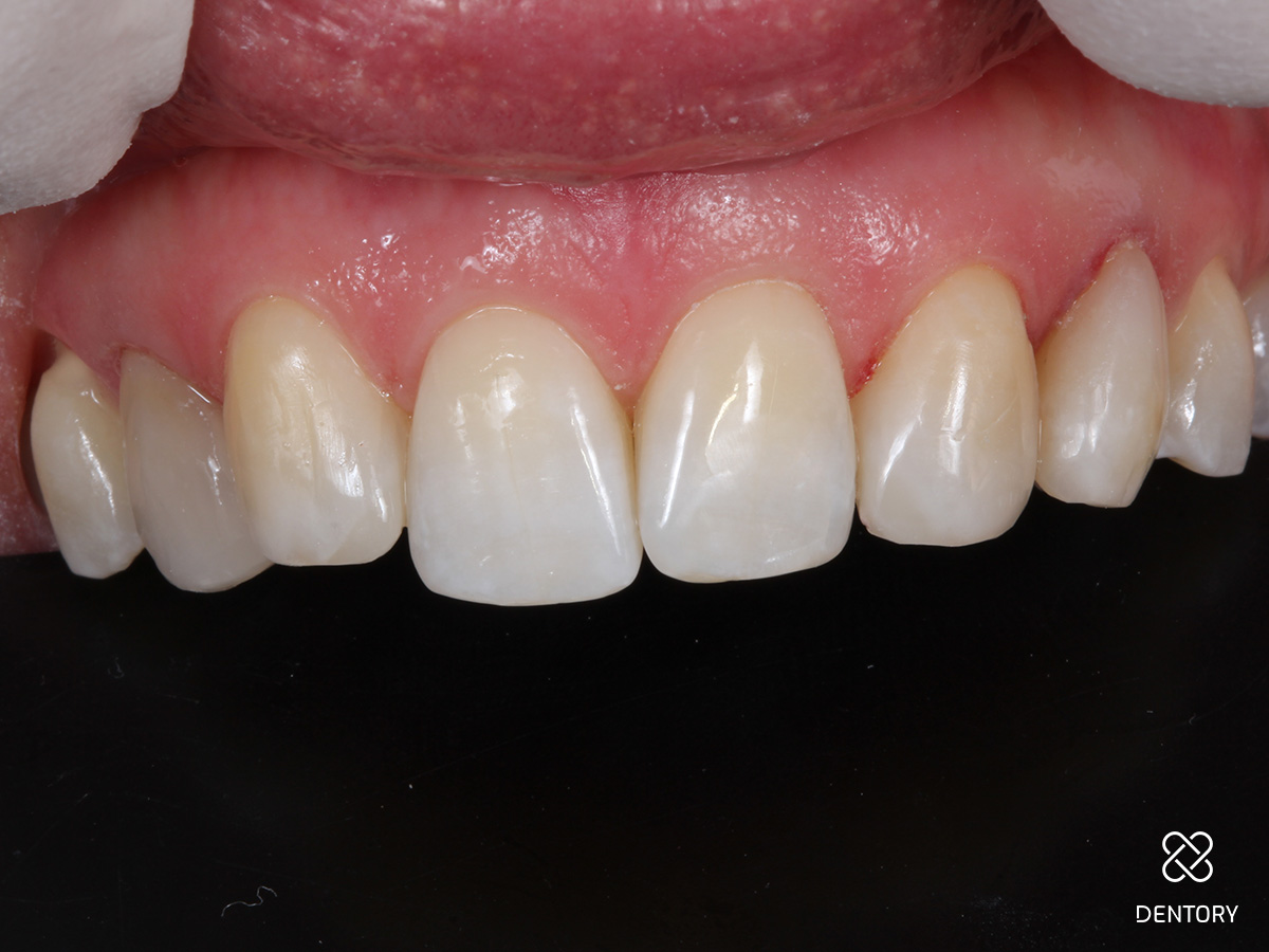
Abbildung 20

Abschlussaufnahme.

Verwendete Produkte

Produktgalerie überspringen

Zugehörige Produkte

FUSION 5 Polymerisationslampe
FUSION 5 Polymerisationslampe
Artikelnr.: 2350000
Herstellernr.: 7800080

1.765,60 €
inspiro Flowable Body i1 Spritze (1x1,5 g)
inspiro Flowable Body i1 Spritze (1x1,5 g)
Artikelnr.: 7271601
Herstellernr.: 3610

44,10 €
inspiro Flowable Body i2 Spritze (1x1,5 g)
inspiro Flowable Body i2 Spritze (1x1,5 g)
Artikelnr.: 7271602
Herstellernr.: 3620

44,10 €
inspiro Flowable Body i3 Spritze (1x1,5 g)
inspiro Flowable Body i3 Spritze (1x1,5 g)
Artikelnr.: 7271603
Herstellernr.: 3630

44,10 €
inspiro Flowable Body i4 Spritze (1x1,5 g)
inspiro Flowable Body i4 Spritze (1x1,5 g)
Artikelnr.: 7271604
Herstellernr.: 3640

44,10 €
inspiro Flowable Body i5 Spritze (1x1,5 g)
inspiro Flowable Body i5 Spritze (1x1,5 g)
Artikelnr.: 7271605
Herstellernr.: 3650

44,10 €
inspiro Flowable Body i6 Spritze (1x1,5 g)
inspiro Flowable Body i6 Spritze (1x1,5 g)
Artikelnr.: 7271606
Herstellernr.: 3660

44,10 €
inspiro Flowable Body i7 Spritze (1x1,5 g)
inspiro Flowable Body i7 Spritze (1x1,5 g)
Artikelnr.: 7271607
Herstellernr.: 3670

44,10 €
inspiro Effektfarbton Azur, Spritze (1x1,5 g)
inspiro Effektfarbton Azur, Spritze (1x1,5 g)
Artikelnr.: 7271800
Herstellernr.: 3800

44,10 €
inspiro Effektfarbton Ice, Spritze (1x1,5 g)
inspiro Effektfarbton Ice, Spritze (1x1,5 g)
Artikelnr.: 7271801
Herstellernr.: 3810

44,10 €
inspiro Effektfarbton Opaque, Spritze (1x1,5 g)
inspiro Effektfarbton Opaque, Spritze (1x1,5 g)
Artikelnr.: 7271802
Herstellernr.: 3820

44,10 €
inspiro Effektfarbton Chroma, Spritze (1x1,5 g)
inspiro Effektfarbton Chroma, Spritze (1x1,5 g)
Artikelnr.: 7271803
Herstellernr.: 3830

44,10 €
inspiro Effektfarbton Fissure, Spritze (1x1,5 g)
inspiro Effektfarbton Fissure, Spritze (1x1,5 g)
Artikelnr.: 7271804
Herstellernr.: 3840

44,10 €

Aktuelle Fortbildungen

Der lokalisierte Alveolarkammdefekt
15.
Apr.
Der lokalisierte Alveolarkammdefekt
Mi., 15.04.26, 19:00 - 21:00 (Europe/Berlin)
online
Prof. Dr. Arndt Happe
Endo Friday Meeting - Modul I
17.
Apr.
Endo Friday Meeting - Modul I
Fr., 17.04.26, 13:00 - 18:00 (Europe/Berlin)
Innsbruck
ZA Eduardo Belandria
Regenerative Parodontitis-Therapie
18.
Apr.
Regenerative Parodontitis-Therapie
Sa., 18.04.26, 09:00 - 17:00 (Europe/Berlin)
München
PD Dr. Amelie Bäumer-König, M.Sc.
Osseodensification - GBR & sinuslift adé?
22.
Apr.
Osseodensification - GBR & sinuslift adé?
Mi., 22.04.26, 19:00 - 21:00 (Europe/Berlin)
online
PD Dr. Kai Fischer
Moderne Endodontie: Einfach, effizient zu guten Ergebnissen
24.
Apr.
Moderne Endodontie: Einfach, effizient zu guten Ergebnissen
Fr., 24.04.26, 14:00 - 25.04.26, 17:00 (Europe/Berlin)
München
Prof. Dr. Sebastian Bürklein
Parodontitis und ihre Wechselwirkungen
25.
Apr.
Parodontitis und ihre Wechselwirkungen
Sa., 25.04.26, 09:00 - 16:00 (Europe/Berlin)
München
Keine freien Plätze
Sonja Steinert, DH
Yvonne Gebhardt, DH
Ein strukturierter Ablauf für die Endo-Revision
08.
Mai
Ein strukturierter Ablauf für die Endo-Revision
Fr., 08.05.26, 14:00 - 09.05.26, 17:00 (Europe/Berlin)
München
Keine freien Plätze
Dr. Gilberto Debelian
Modernes Knochenmanagement
09.
Mai
Modernes Knochenmanagement
Sa., 09.05.26, 09:00 - 17:00 (Europe/Berlin)
Berlin
Dr. Kai Zwanzig
Modjaw - Anwendung Jaw Tracking Systeme
09.
Mai
Modjaw - Anwendung Jaw Tracking Systeme
Sa., 09.05.26, 09:00 - 17:00 (Europe/Berlin)
Köln
Priv.-Doz. Dr. med. dent. Sachin Chhatwani
Periimplantäre Gesundheit professionell gestalten
09.
Mai
Periimplantäre Gesundheit professionell gestalten
Sa., 09.05.26, 09:00 - 17:00 (Europe/Berlin)
München
Carmen Lanoway
Endo Friday Meeting - Modul II
15.
Mai
Endo Friday Meeting - Modul II
Fr., 15.05.26, 13:00 - 18:00 (Europe/Berlin)
Innsbruck
ZA Eduardo Belandria
Hochästhetisches, nichtinvasives Veneering
15.
Mai
Hochästhetisches, nichtinvasives Veneering
Fr., 15.05.26, 14:00 - 16.05.26, 17:00 (Europe/Berlin)
München
Dr. Hanni Lohmar
Nähen Verstehen - das Nahttechnik-Training
20.
Mai
Nähen Verstehen - das Nahttechnik-Training
Mi., 20.05.26, 19:00 - 21:00 (Europe/Berlin)
online
Prof. Dr. Henrik Dommisch
Osseodensification und Augmentation aus einer Hand
29.
Mai
Osseodensification und Augmentation aus einer Hand
Fr., 29.05.26, 09:00 - 17:00 (Europe/Berlin)
Wien
Priv. Doz. Dr. Michael Weinländer
Endo Friday Meeting - Modul III
05.
Juni
Endo Friday Meeting - Modul III
Fr., 05.06.26, 13:00 - 18:00 (Europe/Berlin)
Innsbruck
ZA Eduardo Belandria
Next Level Frontzahnaufbau
10.
Juni
Next Level Frontzahnaufbau
Mi., 10.06.26, 19:00 - 21:00 (Europe/Berlin)
online
Prof. Dr. Diana Wolff
The Perfect Bone
12.
Juni
The Perfect Bone
Fr., 12.06.26, 14:00 - 13.06.26, 17:00 (Europe/Berlin)
München
Dr. Alexander Müller-Busch M.Sc.
Versah Digital: Präzision, Sicherheit, Vorhersagbarkeit
13.
Juni
Versah Digital: Präzision, Sicherheit, Vorhersagbarkeit
Sa., 13.06.26, 09:00 - 17:00 (Europe/Berlin)
Frankfurt
Dr. Benjamin Bahlmann
Das Mikroskop in der Endodontie - ein Update
13.
Juni
Das Mikroskop in der Endodontie - ein Update
Sa., 13.06.26, 09:00 - 17:00 (Europe/Berlin)
Nürnberg
Dr. Jürgen Wollner
Vom kleinen Eckenaufbau bis zur Composite-Krone
19.
Juni
Vom kleinen Eckenaufbau bis zur Composite-Krone
Fr., 19.06.26, 14:00 - 20.06.26, 17:00 (Europe/Berlin)
Hamburg
Dr. Martin von Sontagh
KFO: Von der Zahnbewegung zur integgrativen Therapie
19.
Juni
KFO: Von der Zahnbewegung zur integgrativen Therapie
Fr., 19.06.26, 14:00 - 20.06.26, 17:00 (Europe/Berlin)
München
Dr. Christian Leonhardt
Modernes Knochenmanagement
20.
Juni
Modernes Knochenmanagement
Sa., 20.06.26, 09:00 - 17:00 (Europe/Berlin)
Hamburg
Dr. Kai Zwanzig
Basiskurs zum Arbeiten unter dem Mikroskop -Workshop-
20.
Juni
Basiskurs zum Arbeiten unter dem Mikroskop -Workshop-
Sa., 20.06.26, 09:00 - 17:00 (Europe/Berlin)
Köln
Dr. Günther Stöckl
Großvolumige Knochenaugmentation - sicher, einfach, anders!
26.
Juni
Großvolumige Knochenaugmentation - sicher, einfach, anders!
Fr., 26.06.26, 14:00 - 27.06.26, 17:00 (Europe/Berlin)
München
Dr. Marcel A. Wainwright
Simplify your Augmentation
10.
Juli
Simplify your Augmentation
Fr., 10.07.26, 14:00 - 11.07.26, 17:00 (Europe/Berlin)
München
Prof. Dr. Dr. Florian Stelzle
Osseodensification - Implantat-Präp. optimieren
11.
Juli
Osseodensification - Implantat-Präp. optimieren
Sa., 11.07.26, 09:00 - 17:00 (Europe/Berlin)
München
PD Dr. Kai Fischer
Regenerative Parodontitis-Therapie
12.
Sept.
Regenerative Parodontitis-Therapie
Sa., 12.09.26, 09:00 - 17:00 (Europe/Berlin)
Köln
PD Dr. Amelie Bäumer-König, M.Sc.
Boost Retreatment® -  Rise to Success with High Speed
23.
Sept.
Boost Retreatment® -  Rise to Success with High Speed
Mi., 23.09.26, 19:00 - 21:00 (Europe/Berlin)
online
ZA Klaus Lauterbach
Airway: Zahnmedizin ist mehr als Zähne gerade stellen
25.
Sept.
Airway: Zahnmedizin ist mehr als Zähne gerade stellen
Fr., 25.09.26, 14:00 - 26.09.26, 17:00 (Europe/Berlin)
Köln
Dr. Christian Leonhardt
Vom kleinen Eckenaufbau bis zur Composite-Krone
02.
Okt.
Vom kleinen Eckenaufbau bis zur Composite-Krone
Fr., 02.10.26, 14:00 - 03.10.26, 17:00 (Europe/Berlin)
Wien
Dr. Martin von Sontagh
The Perfect Bone
09.
Okt.
The Perfect Bone
Fr., 09.10.26, 14:00 - 10.10.26, 17:00 (Europe/Berlin)
Köln
Dr. Alexander Müller-Busch M.Sc.
Das Mainzer Augmentationskonzept
09.
Okt.
Das Mainzer Augmentationskonzept
Fr., 09.10.26, 14:00 - 10.10.26, 17:00 (Europe/Berlin)
München
Prof. Dr. Dr. Bilal Al-Nawas
Prof. Dr. Dr. Keyvan Sagheb, M.Sc.
Osseodensification - Implantat-Präp. optimieren
10.
Okt.
Osseodensification - Implantat-Präp. optimieren
Sa., 10.10.26, 09:00 - 17:00 (Europe/Berlin)
Köln
PD Dr. Kai Fischer
Parodontitis und ihre Wechselwirkungen
10.
Okt.
Parodontitis und ihre Wechselwirkungen
Sa., 10.10.26, 09:00 - 16:00 (Europe/Berlin)
Köln
Sonja Steinert, DH
Yvonne Gebhardt, DH
Das Mikroskop in der Endodontie - ein Update
17.
Okt.
Das Mikroskop in der Endodontie - ein Update
Sa., 17.10.26, 09:00 - 17:00 (Europe/Berlin)
Nürnberg
Dr. Jürgen Wollner
Der moderne Weg zur indirekten Restauration
23.
Okt.
Der moderne Weg zur indirekten Restauration
Fr., 23.10.26, 14:00 - 24.10.26, 16:00 (Europe/Berlin)
München
Prof. Dr. Markus Blatz
Basiskurs zum Arbeiten unter dem Mikroskop -Workshop-
24.
Okt.
Basiskurs zum Arbeiten unter dem Mikroskop -Workshop-
Sa., 24.10.26, 09:00 - 17:00 (Europe/Berlin)
München
Dr. Günther Stöckl
Osseodensification - Implantat-Präp. optimieren
31.
Okt.
Osseodensification - Implantat-Präp. optimieren
Sa., 31.10.26, 09:00 - 17:00 (Europe/Berlin)
Hamburg
PD Dr. Kai Fischer
Hochästhetisches, nichtinvasives Veneering
06.
Nov.
Hochästhetisches, nichtinvasives Veneering
Fr., 06.11.26, 14:00 - 07.11.26, 17:00 (Europe/Berlin)
Köln
Dr. Hanni Lohmar
Optimierte Implantologie
07.
Nov.
Optimierte Implantologie
Sa., 07.11.26, 09:00 - 17:00 (Europe/Berlin)
Hannover
Dr. Benjamin Bahlmann
Die Trickkiste der Zahnerhaltung
13.
Nov.
Die Trickkiste der Zahnerhaltung
Fr., 13.11.26, 13:00 - 14.11.26, 17:00 (Europe/Berlin)
München
Prof. Dr. Diana Wolff
Großvolumige Knochenaugmentation - sicher, einfach, anders!
13.
Nov.
Großvolumige Knochenaugmentation - sicher, einfach, anders!
Fr., 13.11.26, 14:00 - 14.11.26, 17:00 (Europe/Berlin)
Köln
Dr. Marcel A. Wainwright
Osseodensification und Augmentation aus einer Hand
20.
Nov.
Osseodensification und Augmentation aus einer Hand
Fr., 20.11.26, 09:00 - 17:00 (Europe/Berlin)
Wien
Priv. Doz. Dr. Michael Weinländer
Kieferorthopädie heute: State of the Art - 4D
26.
Nov.
Kieferorthopädie heute: State of the Art - 4D
Do., 26.11.26, 09:00 - 28.11.26, 17:00 (Europe/Berlin)
München
Dr. Domingo Martin Salvador
Dr. Alberto Canábez Berthet
Ästh. Frontzahnrestaurationen -Theorie
27.
Nov.
Ästh. Frontzahnrestaurationen -Theorie
Fr., 27.11.26, 09:00 - 17:00 (Europe/Berlin)
Frankfurt
PD Dr. Didier Dietschi
Ästh. Frontzahnrestaurationen - Workshop
27.
Nov.
Ästh. Frontzahnrestaurationen - Workshop
Fr., 27.11.26, 09:00 - 28.11.26, 17:00 (Europe/Berlin)
Frankfurt
PD Dr. Didier Dietschi
Adhäsive Restaurationen - an einem Wochenende
27.
Nov.
Adhäsive Restaurationen - an einem Wochenende
Fr., 27.11.26, 14:00 - 28.11.26, 17:00 (Europe/Berlin)
München
Prof. Dr. Roland Frankenberger
4D Dentistry - Workflow für Zahnarzt und Techniker
29.
Nov.
4D Dentistry - Workflow für Zahnarzt und Techniker
So., 29.11.26, 09:00 - 17:00 (Europe/Berlin)
München
Dr. Christian Leonhardt
ZT Michaela Heubeck
Osseodensification-Sofortimplantation
02.
Dez.
Osseodensification-Sofortimplantation
Mi., 02.12.26, 19:00 - 21:00 (Europe/Berlin)
online
Prof. Dr. Dr. Florian Stelzle
Der moderne Weg zur indirekten Restauration
04.
Dez.
Der moderne Weg zur indirekten Restauration
Fr., 04.12.26, 14:00 - 05.12.26, 16:00 (Europe/Berlin)
Frankfurt
Prof. Dr. Markus Blatz
Moderne Endodontologie für den Allgemeinpraktiker
04.
Dez.
Moderne Endodontologie für den Allgemeinpraktiker
Fr., 04.12.26, 14:00 - 05.12.26, 17:00 (Europe/Berlin)
Köln
Dr. Oliver Pontius
Endodontie Kongress 2026 - Workshops + Kongress
10.
Dez.
Endodontie Kongress 2026 - Workshops + Kongress
Do., 10.12.26, 08:45 - 12.12.26, 17:00 (Europe/Berlin)
Köln
Dr. Frank Setzer (wissenschaftlicher Leiter)
Endodontie Kongress 2026 - Kongress (Theorie)
10.
Dez.
Endodontie Kongress 2026 - Kongress (Theorie)
Do., 10.12.26, 08:45 - 12.12.26, 17:00 (Europe/Berlin)
Köln
Dr. Frank Setzer (wissenschaftlicher Leiter)
Endodontie Kongress 2026 - Get Together
10.
Dez.
Endodontie Kongress 2026 - Get Together
Do., 10.12.26, 19:00 - 21:00 (Europe/Berlin)
Köln
Dr. Frank Setzer (wissenschaftlicher Leiter)
3. Curriculum "The Art of Digital Dentistry"
14.
Jan.
3. Curriculum "The Art of Digital Dentistry"
Do., 14.01.27, 13:30 - 26.06.27, 18:00 (Europe/Berlin)
München
Dr. Christian Leonhardt (klinische Leitung)
Prof. Dr. Markus Blatz (wissenschaftliche Leitung)
TEAM | 3. Curriculum "The Art of Digital Dentistry"
14.
Jan.
TEAM | 3. Curriculum "The Art of Digital Dentistry"
Do., 14.01.27, 13:30 - 26.06.27, 18:00 (Europe/Berlin)
München
Dr. Christian Leonhardt (klinische Leitung)
Prof. Dr. Markus Blatz (wissenschaftliche Leitung)